Skip to Content
MilliporeSigma

ABN73

Sigma-Aldrich

Anti-Neutral amino acid transporter (ASCT2) Antibody

from rabbit, purified by affinity chromatography

Synonym(s):

Neutral amino acid transporter B(0), Baboon M7 virus receptor, RD114/simian type D retrovirus receptor, Sodium-dependent neutral amino acid transporter type 2, Solute carrier family 1 member 5

Sign Into View Organizational & Contract Pricing

Select a Size


About This Item

UNSPSC Code:
12352203
eCl@ss:
32160702
NACRES:
NA.41
Technical Service
Need help? Our team of experienced scientists is here for you.
Let Us Assist
Technical Service
Need help? Our team of experienced scientists is here for you.
Let Us Assist

biological source

rabbit

Quality Level

conjugate

unconjugated

antibody form

affinity isolated antibody

antibody product type

primary antibodies

clone

polyclonal

purified by

affinity chromatography

species reactivity

human

technique(s)

immunohistochemistry: suitable (paraffin)
western blot: suitable

NCBI accession no.

UniProt accession no.

shipped in

wet ice

target post-translational modification

unmodified

Gene Information

human ... SLC1A5(6510)

General description

Neutral amino acid transporter, also known as ASCT2, is an alternate of the ASC (alanine-, serine-, cysteine-) transport system and is highly expressed in rat astroglia-rich cultures while not highly expressed in rat neuron-rich cultures. ASCT2 is also thought to be important in the glutamine release from cells. ASCT2 has been implicated in the growth and survival of cancer cells, therefore making it a possible target for cancer therapy. ASCT2 is thought to be a crucial neuronal neutral amino acid transporter.
~ 57 kDa observed

Immunogen

Epitope: N-terminus
KLH-conjugated linear peptide corresponding to the N-terminus of Neutral amino acid transporter.

Application

Anti-Neutral amino acid transporter (ASCT2) Antibody detects level of Neutral amino acid transporter (ASCT2) & has been published & validated for use in WB, IH(P).
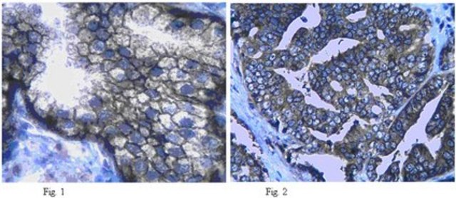
Immunohistochemistry Analysis: 1:1000 dilution from a previous lot detected Neutral amino acid transporter in human prostate tissue.
Research Category
Neuroscience
Research Sub Category
Ion Channels & Transporters

Biochem/physiol Actions

No homology found to mouse or rat. Other homologies: rhesus monkey (93% sequence homology).
This antibody recognizes Neutral amino acid transporter at the N-terminus.

Physical form

Affinity purified
Purified rabbit polyclonal in buffer containing 0.1 M Tris-Glycine (pH 7.4), 150 mM NaCl with 0.05% sodium azide.

Preparation Note

Stable for 1 year at 2-8°C from date of receipt.

Analysis Note

Control
Human placenta tissue lysate
Evaluated by Western Blot in human placenta tissue lysate.

Western Blot Analysis: 0.5 µg/mL of this antibody detected Neutral amino acid transporter on 10 µg of human placenta tissue lysate.

Other Notes

Concentration: Please refer to the Certificate of Analysis for the lot-specific concentration.

Disclaimer

Unless otherwise stated in our catalog or other company documentation accompanying the product(s), our products are intended for research use only and are not to be used for any other purpose, which includes but is not limited to, unauthorized commercial uses, in vitro diagnostic uses, ex vivo or in vivo therapeutic uses or any type of consumption or application to humans or animals.

Not finding the right product?  

Try our Product Selector Tool.

Storage Class

12 - Non Combustible Liquids

wgk_germany

WGK 1

flash_point_f

Not applicable

flash_point_c

Not applicable


Certificates of Analysis (COA)

Search for Certificates of Analysis (COA) by entering the products Lot/Batch Number. Lot and Batch Numbers can be found on a product’s label following the words ‘Lot’ or ‘Batch’.

Already Own This Product?

Find documentation for the products that you have recently purchased in the Document Library.

Visit the Document Library

Da Hee Jung et al.
Life (Basel, Switzerland), 10(10) (2020-10-18)
Electroacupuncture (EA) therapy via alternating current stimulation on the scalp over the motor cortex is used for the treatment of brain disorders. Perinatal hypoxia-ischemia (HI), a brain injury in newborns, leads to long-term neurologic complications. Here, we investigated whether EA

Our team of scientists has experience in all areas of research including Life Science, Material Science, Chemical Synthesis, Chromatography, Analytical and many others.

Contact Technical Service