Skip to Content
MilliporeSigma

ABN66

Sigma-Aldrich

Anti-Cholesterol acyltransferase 1 Antibody

from rabbit, purified by affinity chromatography

Synonym(s):

Sterol O-acyltransferase 1, Acyl-coenzyme A:cholesterol acyltransferase 1, ACAT-1, Cholesterol acyltransferase 1

Sign Into View Organizational & Contract Pricing

Select a Size


About This Item

UNSPSC Code:
12352203
eCl@ss:
32160702
NACRES:
NA.41
Technical Service
Need help? Our team of experienced scientists is here for you.
Let Us Assist
Technical Service
Need help? Our team of experienced scientists is here for you.
Let Us Assist

biological source

rabbit

Quality Level

conjugate

unconjugated

antibody form

affinity isolated antibody

antibody product type

primary antibodies

clone

polyclonal

purified by

affinity chromatography

species reactivity

rhesus macaque, human

species reactivity (predicted by homology)

rhesus monkey (based on 100% sequence homology), chimpanzee (based on 100% sequence homology), rat (based on 100% sequence homology)

technique(s)

immunohistochemistry: suitable (paraffin)
western blot: suitable

NCBI accession no.

UniProt accession no.

shipped in

wet ice

target post-translational modification

unmodified

Gene Information

human ... SOAT1(6646)

General description

Cholesterol acyltransferase 1 (ACAT1) is mitochondrially localized enzyme that catalyzes the reversible formation of acetoacetyl-CoA from two molecules of acetyl-CoA and plays a significant role in ketone body metabolism. Defects in the gene encoding ACAT1 are associated with the alpha-methylacetoaceticaciduria disorder,an inborn error of isoleucine catabolism characterized by urinary excretion of 2-methyl-3-hydroxybutyric acid, 2-methylacetoacetic acid, tiglylglycine, and butanone. Recent studies suggests that ACAT1 may be a therapeutic target for treating certain forms of Alzeheimer′s disease.
~58 kDa observed which may be the result of dimerization/aggregation of the native protein during sample preparation for SDS-PAGE. The calculated molecular weight is 65 kDa

Immunogen

KLH-conjugated linear peptide corresponding to human Cholesterol acyltransferase 1.

Application

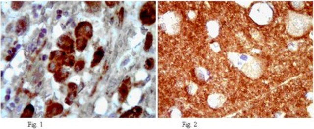
Immunohistochemistry Analysis: A 1:1,000 dilution from a representative lot detected Cholesterol acyltransferase 1 in human adrenal gland and normal human brain tissues.
Research Category
Neuroscience
Research Sub Category
Neurodegenerative Diseases
This Anti-Cholesterol acyltransferase 1 Antibody is validated for use in WB, IH(P) for the detection of Cholesterol acyltransferase 1.

Biochem/physiol Actions

Other homologies: Mouse (93% sequence homology).

Physical form

Affinity purified
Purified rabbit polyclonal in buffer containing 0.1 M Tris-Glycine (pH 7.4), 150 mM NaCl with 0.05% sodium azide.

Preparation Note

Stable for 1 year at 2-8°C from date of receipt.

Analysis Note

Control
Caco-2 cell lysate
Evaluated by Western Blot in Caco-2 cell lysate.

Western Blot Analysis: 0.05 µg/mL of this antibody detected Cholesterol acyltransferase 1 on 10 µg of Caco-2 cell lysate.

Other Notes

Concentration: Please refer to the Certificate of Analysis for the lot-specific concentration.

Disclaimer

Unless otherwise stated in our catalog or other company documentation accompanying the product(s), our products are intended for research use only and are not to be used for any other purpose, which includes but is not limited to, unauthorized commercial uses, in vitro diagnostic uses, ex vivo or in vivo therapeutic uses or any type of consumption or application to humans or animals.

Not finding the right product?  

Try our Product Selector Tool.

Storage Class

12 - Non Combustible Liquids

wgk_germany

WGK 1

flash_point_f

Not applicable

flash_point_c

Not applicable


Certificates of Analysis (COA)

Search for Certificates of Analysis (COA) by entering the products Lot/Batch Number. Lot and Batch Numbers can be found on a product’s label following the words ‘Lot’ or ‘Batch’.

Already Own This Product?

Find documentation for the products that you have recently purchased in the Document Library.

Visit the Document Library

Yulong Chen et al.
BMC cancer, 21(1), 615-615 (2021-05-28)
Hepatitis B virus (HBV)-related hepatocellular carcinoma (HCC) remains a major public health problem and its pathogenesis remains unresolved. A recent proteomics study discovered a lipid enzyme Sterol O-acyltransferase (SOAT1) involvement in the progression of HCC. We aimed to explore the

Our team of scientists has experience in all areas of research including Life Science, Material Science, Chemical Synthesis, Chromatography, Analytical and many others.

Contact Technical Service