Skip to Content
MilliporeSigma

ABN59

Sigma-Aldrich

Anti-S100B Antibody

from rabbit, purified by affinity chromatography

Synonym(s):

Protein S100-B, S-100 protein beta chain, S-100 protein subunit beta, S100 calcium-binding protein B

Sign Into View Organizational & Contract Pricing

Select a Size


About This Item

UNSPSC Code:
12352203
eCl@ss:
32160702
NACRES:
NA.41
Technical Service
Need help? Our team of experienced scientists is here for you.
Let Us Assist
Technical Service
Need help? Our team of experienced scientists is here for you.
Let Us Assist

biological source

rabbit

Quality Level

conjugate

unconjugated

antibody form

affinity isolated antibody

antibody product type

primary antibodies

clone

polyclonal

purified by

affinity chromatography

species reactivity

human

species reactivity (predicted by homology)

mouse (based on 100% sequence homology), rat (based on 100% sequence homology), rhesus macaque (based on 100% sequence homology), bovine (based on 100% sequence homology)

technique(s)

immunohistochemistry: suitable (paraffin)
western blot: suitable

NCBI accession no.

UniProt accession no.

shipped in

wet ice

target post-translational modification

unmodified

Gene Information

rat ... S100B(25742)

General description

S-100 protein is a member of the EF-hand calcium-binding protein superfamily that is widely distributed and conserved in the central nervous system of vertebrates. The protein exists in both heterodimeric and homodimeric forms. The two subunits of S-100 protein are the products of separate genes that are differentially expressed by various cells. The beta subunit is present in all S-100 positive cells and tumors. In contrast, the alpha subunit is detectable only in heart, skeletal muscle and brain. In addition to its calcium binding properties, S-100 protein has a high-affinity binding site for zinc and is involved in the regulation of protein phosphorylation in the brain. The protein apparently plays a role in cell differentiation and growth, cytoskeletal structure and function, and has been implicated in neuropathological diseases.
~10 kDa observed

Immunogen

Epitope: Near N-Terminus
KLH-conjugated linear peptide corresponding to human S100B near the N-Terminus.

Application

Detect S100 using this rabbit polyclonal antibody, Anti-S100B Antibody validated for use in western blotting & IHC (Paraffin).
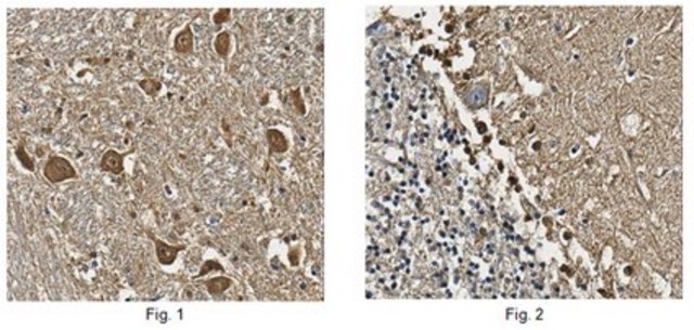
Immunohistochemistry Analysis: A 1:2,000 dilution from a representative lot detected S100B in human thalamus and human cerebellum sections.
Research Category
Neuroscience
Research Sub Category
Developmental Signaling

Physical form

Affinity purified
Purified rabbit polyclonal in buffer containing 0.1 M Tris-Glycine (pH 7.4), 150 mM NaCl with 0.05% sodium azide.

Preparation Note

Stable for 1 year at 2-8°C from date of receipt.

Analysis Note

Evaluated by Western Blotting in A375 cell lysate.

Western Blotting Analysis: 0.1 µg/mL of this antibody detected S100B in 10 µg of A375 cell lysate.

Other Notes

Concentration: Please refer to the Certificate of Analysis for the lot-specific concentration.
Replaces: 04-1054

Disclaimer

Unless otherwise stated in our catalog or other company documentation accompanying the product(s), our products are intended for research use only and are not to be used for any other purpose, which includes but is not limited to, unauthorized commercial uses, in vitro diagnostic uses, ex vivo or in vivo therapeutic uses or any type of consumption or application to humans or animals.

Not finding the right product?  

Try our Product Selector Tool.

Storage Class

13 - Non Combustible Solids

wgk_germany

WGK 1

flash_point_f

Not applicable

flash_point_c

Not applicable


Certificates of Analysis (COA)

Search for Certificates of Analysis (COA) by entering the products Lot/Batch Number. Lot and Batch Numbers can be found on a product’s label following the words ‘Lot’ or ‘Batch’.

Already Own This Product?

Find documentation for the products that you have recently purchased in the Document Library.

Visit the Document Library

Our team of scientists has experience in all areas of research including Life Science, Material Science, Chemical Synthesis, Chromatography, Analytical and many others.

Contact Technical Service