Skip to Content
MilliporeSigma

ABN293

Sigma-Aldrich

Anti-Prohibitin Antibody

from rabbit, purified by affinity chromatography

Synonym(s):

Prohibitin

Sign Into View Organizational & Contract Pricing

Select a Size


About This Item

UNSPSC Code:
12352203
eCl@ss:
32160702
NACRES:
NA.41
Technical Service
Need help? Our team of experienced scientists is here for you.
Let Us Assist
Technical Service
Need help? Our team of experienced scientists is here for you.
Let Us Assist

biological source

rabbit

Quality Level

conjugate

unconjugated

antibody form

affinity isolated antibody

antibody product type

primary antibodies

clone

polyclonal

purified by

affinity chromatography

species reactivity

human

species reactivity (predicted by homology)

rat (based on 100% sequence homology), canine (based on 100% sequence homology), bovine (based on 100% sequence homology)

technique(s)

immunohistochemistry: suitable (paraffin)
western blot: suitable

NCBI accession no.

UniProt accession no.

shipped in

wet ice

target post-translational modification

unmodified

Gene Information

human ... PHB(5245)

General description

Prohibitin is an inhibitor of DNA synthesis that is widely expressed across various tissues. Prohibitin influences proliferation, and may also have a role in regulating mitochondrial respiration activity and in aging. Expression levels of prohibitin in fibroblasts have been found to decrease heterogeneously as cellular aging occurs.
~32 kDa observed

Immunogen

KLH-conjugated linear peptide corresponding to human Prohibitin near the N-Terminus.

Application

Detect Prohibitin using this rabbit polyclonal antibody, Anti-Prohibitin Antibody validated for use in western blotting & IHC (Paraffin).
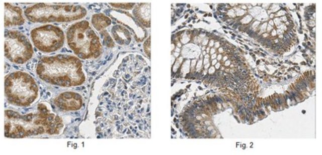
Immunohistochemistry Analysis: A 1:100-500 dilution from a representative lot detected Prohibitin in human kidney and human ileum tissue.

Biochem/physiol Actions

Other homologies: Mouse (86% sequence homology).
This antibody recognizes Prohibitin near the N-Terminus.

Analysis Note

Evaluated by Western Blotting in human liver tissue lysate.

Western Blotting Analysis: 2.0 µg/mL of this antibody detected Prohibitin in 10 µg of human liver tissue lysate.

Other Notes

Concentration: Please refer to the Certificate of Analysis for the lot-specific concentration.

Not finding the right product?  

Try our Product Selector Tool.

Storage Class

12 - Non Combustible Liquids

wgk_germany

WGK 1

flash_point_f

Not applicable

flash_point_c

Not applicable


Certificates of Analysis (COA)

Search for Certificates of Analysis (COA) by entering the products Lot/Batch Number. Lot and Batch Numbers can be found on a product’s label following the words ‘Lot’ or ‘Batch’.

Already Own This Product?

Find documentation for the products that you have recently purchased in the Document Library.

Visit the Document Library

Sunkyu Choi et al.
Scientific reports, 8(1), 5858-5858 (2018-04-13)
Cancer metastasis causes approximately 90% of all cancer-related death and independent of the advancement of cancer therapy, a majority of late stage patients suffers from metastatic cancer. Metastasis implies cancer cell migration and invasion throughout the body. Migration requires the

Our team of scientists has experience in all areas of research including Life Science, Material Science, Chemical Synthesis, Chromatography, Analytical and many others.

Contact Technical Service