Skip to Content
MilliporeSigma

ABN241

Sigma-Aldrich

Anti-GluR1 Antibody

from rabbit, purified by affinity chromatography

Synonym(s):

Glutamate receptor 1, GluR-1, AMPA-selective glutamate receptor 1, GluR-A, GluR-K1, Glutamate receptor ionotropic, AMPA 1, GluA1

Sign Into View Organizational & Contract Pricing

Select a Size


About This Item

UNSPSC Code:
12352203
eCl@ss:
32160702
NACRES:
NA.41
Technical Service
Need help? Our team of experienced scientists is here for you.
Let Us Assist
Technical Service
Need help? Our team of experienced scientists is here for you.
Let Us Assist

biological source

rabbit

Quality Level

conjugate

unconjugated

antibody form

affinity isolated antibody

antibody product type

primary antibodies

clone

polyclonal

purified by

affinity chromatography

species reactivity

human, mouse, rat

technique(s)

immunohistochemistry: suitable (paraffin)
western blot: suitable

NCBI accession no.

UniProt accession no.

shipped in

wet ice

target post-translational modification

unmodified

Gene Information

human ... GRIA1(2890)
mouse ... Gria1(14799)
rat ... Gria1(50592)

General description

Glutamate receptors (GluRs) are a diverse group responsible for mediating most of the excitatory synaptic transmission in the CNS of vertebrates. They can be categorized as ionotropic or metabotropic and subcategorized by their agonist preferences (NMDA, AMPA or Kainic acid). There are four types of AMPA selective GluR subunits (GluR1, GluR2, GluR3 and GluR4). Tetrameric or pentameric combinations of different subunits contributes to the functional diversity of AMPA receptors. AMPA receptors mediate fast synaptic current at most excitatory synapses, with stoichiometry characterized by subtype composition. The critical residue controlling calcium permeability is in the pore loop region. In GluR1, GluR3, and GluR4, this position is occupied by a Gln residue. The insertion or removal of GluR1/GluR4 oligomeric channels from postsynaptic membranes appears to be LTP/LTD activity dependent while GluR2/GluR3 oligomers are continuously cycling.
~110 kDa observed

Immunogen

KLH-conjugated linear peptide corresponding to the extracellular domain of rat GluR1.

Application

Anti-GluR1 Antibody is a highly specific rabbit polyclonal antibody, that targets GluR1 & has been tested in western blotting & IHC (Paraffin).
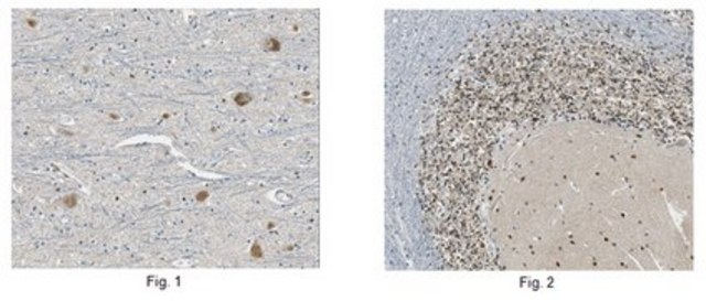
Immunohistochemistry Analysis: A 1:1,000 dilution from a representative lot detected GluR1 in human brain and human cerebellum tissue.

Biochem/physiol Actions

This antibody recognizes the extracellular domain of GluR1.

Analysis Note

Evaluated by Western Blotting in rat brain tissue lysate.

Western Blotting Analysis: 2.0 µg/mL of this antibody detected GluR1 in 10 µg of rat brain tissue lysate.

Not finding the right product?  

Try our Product Selector Tool.

Storage Class

12 - Non Combustible Liquids

wgk_germany

WGK 1

flash_point_f

Not applicable

flash_point_c

Not applicable


Certificates of Analysis (COA)

Search for Certificates of Analysis (COA) by entering the products Lot/Batch Number. Lot and Batch Numbers can be found on a product’s label following the words ‘Lot’ or ‘Batch’.

Already Own This Product?

Find documentation for the products that you have recently purchased in the Document Library.

Visit the Document Library

Megan L Rudolph et al.
The European journal of neuroscience (2020-07-01)
Evidence from both human and animal studies demonstrates the importance of social stress in the development of addiction-related behaviour. In rats, intermittent social defeat stress causes long-lasting psychostimulant cross-sensitization. Our recent data reveal heightened expression of AMPA receptor (AMPAR) GluA1
Ayush Singh et al.
Journal of Alzheimer's disease : JAD, 78(4), 1661-1678 (2020-11-14)
Certain individuals, here referred to as Non-Demented with Alzheimer Neuropathology (NDAN), do not show overt neurodegeneration (N-) and remain cognitively intact despite the presence of plaques (A+) and tangles (T+) that would normally be consistent with fully symptomatic Alzheimer's disease
Juhwan Kim et al.
Molecules and cells, 41(5), 454-464 (2018-05-15)
Crosstalk between G-protein signaling and glutamatergic transmission within the brain reward circuits is critical for long-term emotional effects (depression and anxiety), cravings, and negative withdrawal symptoms associated with opioid addiction. A previous study showed that Regulator of G-protein signaling 4
Dipen Rajgor et al.
Cell reports, 31(12), 107785-107785 (2020-06-25)
Molecular mechanisms underlying plasticity at brain inhibitory synapses remain poorly characterized. Increased postsynaptic clustering of GABAA receptors (GABAARs) rapidly strengthens inhibition during inhibitory long-term potentiation (iLTP). However, it is unclear how synaptic GABAAR clustering is maintained to sustain iLTP. Here
Balaji Krishnan et al.
International journal of molecular sciences, 22(7) (2021-05-01)
The proposed deep space exploration to the moon and later to Mars will result in astronauts receiving significant chronic exposures to space radiation (SR). SR exposure results in multiple neurocognitive impairments. Recently, our cross-species (mouse/rat) studies reported impaired associative memory

Related Content

Glutamate is an excitatory neurotransmitter found in the synaptic vesicles of glutamatergic synapses. The post-synaptic neurons in these synapses contain ionotropic and metabotropic glutamate receptors. Glutamate binds to AMPA (α-amino-3-hydroxy-5- methylisoxazole-4-propionic acid) subtype glutamate receptors, leading to sodium influx into the post-synaptic cell and resulting in neuronal excitability and synaptic transmission. The NMDA (N-methyl-d-aspartate) subtype glutamate receptors, on the other hand, regulate synaptic plasticity, and can influence learning and memory. The metabotropic g-protein coupled mGluRs modulate downstream calcium signaling pathways and indirectly influence the synapse’s excitability. The synaptic architecture includes intracellular scaffolding proteins (PSD-95, GRIP), intercellular cell adhesion molecules (NCAMs, N-Cadherins), and a variety of signaling proteins (CaMKII/PKA, PP1/PP2B). Processes critical for synaptic transmission and plasticity are influenced by these molecules and their interactions. When the function of these molecules is disrupted, it leads to synaptic dysfunction and degeneration, and can contribute to dementia as seen in Alzheimer’s disease.

Our team of scientists has experience in all areas of research including Life Science, Material Science, Chemical Synthesis, Chromatography, Analytical and many others.

Contact Technical Service