Skip to Content
MilliporeSigma

ABN240

Sigma-Aldrich

Anti-Beta (β)-Amyloid antibody

rabbit polyclonal

Synonym(s):

Amyloid beta A4 protein, ABPP, APPI, APP, Alzheimer disease amyloid protein, Cerebral vascular amyloid peptide, CVAP, PreA4, Protease nexin-II, PN-II, 1.N-APP2.Soluble APP-alpha, S-APP-alpha3.Soluble APP-beta, S-APP-beta4.C995.Beta-amyloid protein 42, Be

Sign Into View Organizational & Contract Pricing

Select a Size


About This Item

UNSPSC Code:
12352203
eCl@ss:
32160702
NACRES:
NA.41
Technical Service
Need help? Our team of experienced scientists is here for you.
Let Us Assist
Technical Service
Need help? Our team of experienced scientists is here for you.
Let Us Assist

Product Name

Anti-Amyloid, β 1-40, aβ Antibody, from rabbit, purified by affinity chromatography

biological source

rabbit

Quality Level

antibody form

affinity isolated antibody

antibody product type

primary antibodies

clone

polyclonal

purified by

affinity chromatography

species reactivity

human

species reactivity (predicted by homology)

bovine (based on 100% sequence homology), rat (based on 100% sequence homology), mouse (based on 100% sequence homology)

technique(s)

ELISA: suitable
immunohistochemistry: suitable (paraffin)
western blot: suitable

NCBI accession no.

UniProt accession no.

shipped in

wet ice

target post-translational modification

unmodified

Gene Information

human ... APP(351)

General description

Amyloid β 1-40 is one of several functional peptides (39 to 43 amino acids in length) formed from proteolytic cleavage of the amyloid-beta precursor protein (APP) by the family of secretase enzymes. Although the APP protein is required for a number of biological functions including axonal transport, cell adhesion, and transcription, the amyloid β 1-40 peptide has been studied mostly for its role in neurotoxicity, particularly in the context of Alzheimer’s disease. Previous studies have reported that expression of amyloid β 1-40 increases in Alzheimer’s disease and correlate with the occurrence of aberrant synaptic structure and cognitive dysfunction. These detrimental effects on neural function may be related to aggregation of this peptide (formation of neurite plaques), as neurite plaques been shown to disrupt multiple neurotransmitter systems, and synaptic events such as long-term potentiation.
~4 kDa observed. An uncharacterized band appears at ~19 kDa in some lysates.

Immunogen

Epitope: P3(40) peptide
KLH-conjugated linear peptide corresponding to the P3(40) peptide of human Amyloid, B 1-40.

Application

Anti-Amyloid, β 1-40, aβ Antibody is an antibody against Amyloid, β 1-40, aβ for use in Western Blotting, IHC(P), ELISA.
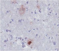
Immunohistochemistry Analysis: A 1:1,000 dilution from a representative lot detected Amyloid, B 1-40 in human Alzheimer′s diseased brain tissue.

ELISA: A representative lot detected Amyloid, B 1-40 in ELISA (Direct).
Research Category
Neuroscience
Research Sub Category
Neurodegenerative Diseases

Biochem/physiol Actions

This antibody recognizes the P3(40) peptide of Amyloid, β 1-40.

Physical form

Affinity purified
Purified rabbit polyclonal serum in buffer containing 0.1 M Tris-Glycine (pH 7.4), 150 mM NaCl with 0.05% sodium azide.

Preparation Note

Stable for 1 year at 2-8°C from date of receipt.

Analysis Note

Control
Human Alzhiemer brain tissue lysate
Evaluated by Western Blot in human Alzheimer brain tissue lysate.

Western Blot Analysis: 0.5 µg/mL of this antibody detected Amyloid, B 1-40 on 10 µg of human Alzheimer brain tissue lysate.

Other Notes

Replaces: AB5737

Disclaimer

Unless otherwise stated in our catalog or other company documentation accompanying the product(s), our products are intended for research use only and are not to be used for any other purpose, which includes but is not limited to, unauthorized commercial uses, in vitro diagnostic uses, ex vivo or in vivo therapeutic uses or any type of consumption or application to humans or animals.

Not finding the right product?  

Try our Product Selector Tool.

Storage Class

12 - Non Combustible Liquids

wgk_germany

WGK 1

flash_point_f

Not applicable

flash_point_c

Not applicable


Certificates of Analysis (COA)

Search for Certificates of Analysis (COA) by entering the products Lot/Batch Number. Lot and Batch Numbers can be found on a product’s label following the words ‘Lot’ or ‘Batch’.

Already Own This Product?

Find documentation for the products that you have recently purchased in the Document Library.

Visit the Document Library

Amanda B Chai et al.
International journal of molecular sciences, 22(1) (2021-01-02)
Defective clearance mechanisms lead to the accumulation of amyloid-beta (Aβ) peptides in the Alzheimer's brain. Though predominantly generated in neurons, little is known about how these hydrophobic, aggregation-prone, and tightly membrane-associated peptides exit into the extracellular space where they deposit

Our team of scientists has experience in all areas of research including Life Science, Material Science, Chemical Synthesis, Chromatography, Analytical and many others.

Contact Technical Service