Skip to Content
MilliporeSigma

ABN1720

Sigma-Aldrich

Anti-Ninein

serum, from rabbit

Synonym(s):

Ninein, Glycogen synthase kinase 3 beta-interacting protein, GSK3B-interacting protein

Sign Into View Organizational & Contract Pricing

Select a Size


About This Item

UNSPSC Code:
12352203
eCl@ss:
32160702
NACRES:
NA.41
Technical Service
Need help? Our team of experienced scientists is here for you.
Let Us Assist
Technical Service
Need help? Our team of experienced scientists is here for you.
Let Us Assist

biological source

rabbit

Quality Level

conjugate

unconjugated

antibody form

serum

antibody product type

primary antibodies

clone

polyclonal

species reactivity

rat, human, mouse

technique(s)

immunocytochemistry: suitable
immunofluorescence: suitable
immunohistochemistry: suitable
western blot: suitable

NCBI accession no.

UniProt accession no.

shipped in

ambient

target post-translational modification

unmodified

Gene Information

mouse ... Nin(18080)

General description

234.7/233.6 (mouse isoform 1/2) and 243.2/241.2/246.1/236.1/243.9/147.8/248.2/238.9/160.1 kDa (human isoform 1/2/3/4/5/6/7/8/9) calculated.
Ninein (UniProt Q61043; also known as Glycogen synthase kinase 3 beta-interacting protein, GSK3B-interacting protein) is encoded by the Nin (also known as Kiaa1565) gene (Gene ID 18080) in murine species. Ninein is a microtubule (MT) minus-end-binding protein that helps anchor the MTs to the centrosome. Ninein is also found in noncentrosomal locations in association with the minus-end of noncentrosomal MTs present in polarized cells. Ninein is essential for the self-renewal and maintenance of apical progenitors (APs) in developing mouse neocortex by anchoring of MTs to the centrosome, while only noncentrosomal ninein is seen in cortical neurons where it is localized to the axons and the somatodendritic compartment. Centrosome-associated ninein plays an important role in stabilizing the radial MT asters, while noncentrosomal ninein plays an MT-stabilizing role in the axons of neurons. Ninein is a downstream target of the transcription factor Sip1 involved in CNS development. Re-expression of ninein in Sip1-deficient neurons or overexpressing ninein in wild-type neurons significantly increases their resistance to MT depolymerization.

Immunogen

His-tagged recombinant mouse ninein fragment corresponding to the region between EF-hands 2&5.

Application

Anti-Ninein, Cat. No. ABN1720 is a highly specific rabbit polyclonal antiserum that targets Ninein and has been tested in Immunocytochemistry, Immunofluorescence, Immunohistochemistry, and Western Blotting.
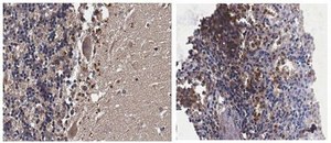
Immunohistochemistry Analysis: A 1:250 dilution from a representative lot detected cytoplasmic ninein immunoreactivity in human brain and spleen tissue sections.

Immunocytochemistry Analysis: A 1:500 dilution from a representative lot detected cytoplasmic and centrosome ninein immunoreactivity in 0.1 Triton X-100 extracted and 4% paraformaldehyde-fixed HEK293T cells (Courtesy of Professor Kensuke Hayashi, Sophia Univesity, Japan).

Immunofluorescence Analysis: A representative lot detected ninein immunoreactivity in the centrosome of proliferative apical progenitor cells (APs) by fluorescent immunohistochemisty staining of 4% paraformaldehyde-fixed cerebral cortex cryosections from E17.5 rat embryos. Ninein immunoreactivity was found downregulated in embryo sections from small eye rats with homozygous rSey2/rSey2 Pax6 mutation (Shinohara, H., et al. (2013). Biol Open. 2(7):739-749).

Immunofluorescence Analysis: A representative lot detected intense ninein immunoreactivity at the ventricular surface by fluorescent immunohistochemisty staining of 4% paraformaldehyde-fixed cerebral cortex cryosections from E13 and E18 mouse embryos. Lower immunoreactivity was also observed in the E18 cortical plate (CP), but was of much weaker intensity in the E13 cortex (Ohama, Y., and Hayashi, K. (2009). Histochem. Cell Biol. 132(5):515-524).

Immunocytochemistry Analysis: A representative lot detected granular ninein immunoreactivity in somatodendritic compartment, but not in the axon by fluorescent immunocytochemistry staining of 4% paraformaldehyde-fixed cultured cortical neurons from E18 mouse embryos. About 60% of ninein granules are associated with microtubules and showed resistance to 0.5% Triton X-100 (Ohama, Y., and Hayashi, K. (2009). Histochem. Cell Biol. 132(5):515-524).

Immunohistochemistry Analysis: A representative lot detected ninein immunoreactivity in the cortical plate (CP), white matter (WM), and the ventricular zone (VZ) of paraffin-embedded embryonic E16.5 mouse brain sections. Ninein immunoreactivity was found downregulated in the CP and WM, but not VZ, of Sip1fl/flNexCre embryos with hippocampal granule cell-targeted Sip1 knockout (Srivatsa, S., et al. (2015). Neuron 85(5):998-1012).

Western Blotting Analysis: A representative lot detected ninein in cortical lysate from postnatal P0, P3, P4 and P7 mouse brain tissue homogenates (Srivatsa, S., et al. (2015). Neuron 85(5):998-1012).

Note: Extracting soluble ninein under microtubule-stabilizing conditions with 0.5% Triton X-100 in the presence of 10 M paclitaxel (Cat. Nos. 580555 & 580556) prior to fixation can be employed to better visualize microtubule- and centrosome-associated ninein immunoreactivity (Ohama, Y., and Hayashi, K. (2009). Histochem. Cell Biol. 132(5):515-524).

Biochem/physiol Actions

This polyclonal antiserum targets region between EF-hands 2&5 present in all murine and human ninein spliced isoforms reported by UniProt (Q61043 & Q8N4C6).

Analysis Note

Evaluated by Immunocytochemistry in NIH/3T3 cells.

Immunocytochemistry Analysis (ICC): A 1:500 dilution of this antiserum detected ninein in NIH/3T3 cells..

Other Notes

Concentration: Please refer to lot specific datasheet.

Not finding the right product?  

Try our Product Selector Tool.

Storage Class

12 - Non Combustible Liquids

wgk_germany

WGK 1

flash_point_f

Not applicable

flash_point_c

Not applicable


Certificates of Analysis (COA)

Search for Certificates of Analysis (COA) by entering the products Lot/Batch Number. Lot and Batch Numbers can be found on a product’s label following the words ‘Lot’ or ‘Batch’.

Already Own This Product?

Find documentation for the products that you have recently purchased in the Document Library.

Visit the Document Library

Niaz Oliazadeh et al.
Scientific reports, 7, 44260-44260 (2017-03-16)
The primary cilium is an outward projecting antenna-like organelle with an important role in bone mechanotransduction. The capacity to sense mechanical stimuli can affect important cellular and molecular aspects of bone tissue. Idiopathic scoliosis (IS) is a complex pediatric disease

Our team of scientists has experience in all areas of research including Life Science, Material Science, Chemical Synthesis, Chromatography, Analytical and many others.

Contact Technical Service