Skip to Content
MilliporeSigma

ABN1481

Sigma-Aldrich

Anti-Alpha 2b Adrenergic Receptor

from rabbit, purified by affinity chromatography

Synonym(s):

Alpha-2B adrenergic receptor, Alpha-2 adrenergic receptor subtype C2, Alpha-2B adrenoreceptor, Alpha-2B adrenoceptor, Alpha-2BAR Alpha-2 adrenergic receptor subtype C2, Alpha-2B adrenoreceptor, Alpha-2B adrenoceptor, Alpha-2BAR

Sign Into View Organizational & Contract Pricing

Select a Size


About This Item

UNSPSC Code:
12352203
eCl@ss:
32160702
NACRES:
NA.41
Technical Service
Need help? Our team of experienced scientists is here for you.
Let Us Assist
Technical Service
Need help? Our team of experienced scientists is here for you.
Let Us Assist

biological source

rabbit

Quality Level

conjugate

unconjugated

antibody form

affinity isolated antibody

antibody product type

primary antibodies

clone

polyclonal

purified by

affinity chromatography

species reactivity

human

technique(s)

immunohistochemistry: suitable (paraffin)
western blot: suitable

NCBI accession no.

UniProt accession no.

shipped in

ambient

target post-translational modification

unmodified

Gene Information

human ... ADRA2B(151)

General description

Alpha-2B adrenergic receptor (UniProt: P18089; also known as Alpha-2 adrenergic receptor subtype C2, Alpha-2B adrenoreceptor, Alpha-2B adrenoceptor, Alpha-2BAR) is encoded by the ADRA2B (also known as ADRA2L1, ADRA2RL1) gene (Gene ID: 151) in human. Alpha-2-adrenergic receptors mediate part of the diverse biological effects of the endogenous catecholamines epinephrine and norepinephrine. Three subtypes of alpha-2-adrenergic receptors, 2A, 2B, and 2C, have been identified in multiple species. Alpha-2B adrenoreceptor is a heptahelical membrane protein of the G-protein coupled receptor 1 family. The extracellular regions of transmembrane (TM) segments 3, 5, and 6 are believed to be involved in ligand binding and intracellular ends of TM3 and TM6 participate in G-protein coupling. A deletion variant of the ADRA2B gene has been linked to the emotional enhancement of memory. This deletion variant is associated with greater extracellular nor-epinephrine availability and it predicts greater capacity for emotionally enhanced memory and increased tendency for intrusive traumatic memory. Mutations in ADRA2B gene have been linked to familial adult myoclonic epilepsy that is characterized by cortical myoclonus and variable occurrence of epileptic seizures.
~52 kDa observed; 49.57 kDa calculated. Uncharacterized bands may be observed in some lysate(s).

Immunogen

KLH-conjugated linear peptide corresponding to 14 amino acids from the internal region of human alpha-2B adrenergic receptor.

Application

Anti-Alpha 2b Adrenergic Receptor, Cat. No. ABN1481, is a highly specific rabbit polyclonal antibody that targets Alpha-2B adrenergic receptor and has been tested in Immunohistochemistry (Paraffin) and Western Blotting.
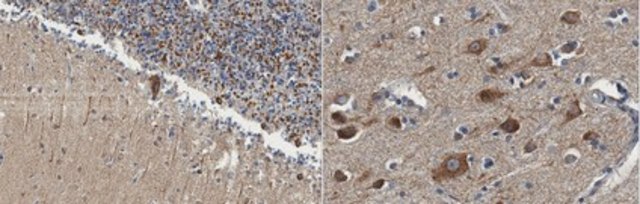
Immunohistochemistry Analysis: A 1:250-1:1,000 dilution from a representative lot detected Alpha 2b Adrenergic Receptor in human cerebellum, human cerebral cortex, rat cerebellum, and rat hippocampus tissues.
Research Category
Neuroscience

Biochem/physiol Actions

This polyclonal antibody detects alpha-2B adrenergic receptor in MCF-10A cells. It targets an epitope within 14 amino acids from the internal region.

Physical form

Affinity Purified
Purified rabbit polyclonal antibody in buffer containing 0.1 M Tris-Glycine (pH 7.4), 150 mM NaCl with 0.05% sodium azide.

Preparation Note

Stable for 1 year at 2-8°C from date of receipt.

Analysis Note

Evaluated by Western Blotting in MCF-10A cell lysate.

Western Blotting Analysis: 2 µg/mL of this antibody detected Alpha 2b Adrenergic Receptor in 10 µg of MCF-10A cell lysate.

Other Notes

Concentration: Please refer to lot specific datasheet.

Disclaimer

Unless otherwise stated in our catalog or other company documentation accompanying the product(s), our products are intended for research use only and are not to be used for any other purpose, which includes but is not limited to, unauthorized commercial uses, in vitro diagnostic uses, ex vivo or in vivo therapeutic uses or any type of consumption or application to humans or animals.

Not finding the right product?  

Try our Product Selector Tool.

Storage Class

12 - Non Combustible Liquids

wgk_germany

WGK 1


Certificates of Analysis (COA)

Search for Certificates of Analysis (COA) by entering the products Lot/Batch Number. Lot and Batch Numbers can be found on a product’s label following the words ‘Lot’ or ‘Batch’.

Already Own This Product?

Find documentation for the products that you have recently purchased in the Document Library.

Visit the Document Library

Our team of scientists has experience in all areas of research including Life Science, Material Science, Chemical Synthesis, Chromatography, Analytical and many others.

Contact Technical Service