Skip to Content
MilliporeSigma

ABF218

Sigma-Aldrich

Anti-STIM2 Antibody

from rabbit, purified by affinity chromatography

Synonym(s):

Stromal interaction molecule 2, STIM2

Sign Into View Organizational & Contract Pricing

Select a Size


About This Item

UNSPSC Code:
12352203
eCl@ss:
32160702
NACRES:
NA.41
Technical Service
Need help? Our team of experienced scientists is here for you.
Let Us Assist
Technical Service
Need help? Our team of experienced scientists is here for you.
Let Us Assist

biological source

rabbit

Quality Level

conjugate

unconjugated

antibody form

affinity isolated antibody

antibody product type

primary antibodies

clone

polyclonal

purified by

affinity chromatography

species reactivity

human, mouse

technique(s)

immunofluorescence: suitable
immunohistochemistry: suitable (paraffin)
western blot: suitable

UniProt accession no.

shipped in

wet ice

target post-translational modification

unmodified

Gene Information

human ... STIM2(57620)

General description

Stromal interaction molecule 2 (STIM2) plays an important role in mediating store-operated Ca2+ entry (SOCE), a Ca2+ influx following depletion of intracellular Ca2+ stores. It inhibits STIM1-mediated store-operated Ca++ entry; however, STIM2 can form complexes with STIM1. This suggests that STIM1 and STIM2 may play a coordinated role in controlling Ca++ entry. STIM2 is expressed in all tissues and tumor cell lines examined.
~98 kDa observed

Immunogen

Epitope: Intermediate domain
KLH-conjugated linear peptide corresponding to the intermediate domain of human STIM2.

Application

Detect Stromal interaction molecule 2 using this rabbit polyclonal antibody, Anti-STIM2 Antibody validated for use in western blotting, IHC (Paraffin) & Immunofluorescence.
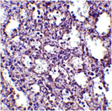
Immunohistochemistry Analysis: 2.5 µg/mL from a representative lot detected STIM2 in human spleen tissue.

Immunofluorescence Analysis: 20 μg/mL from a representative lot detected STIM2 in human spleen cells.
Research Category
Inflammation & Immunology
Research Sub Category
Immunoglobulins & Immunology

Biochem/physiol Actions

This antibody recognizes the intermediate domain of STIM2.

Physical form

Antigen Affinity Purified
Purified rabbit polyclonal in buffer containing PBS with up to 0.1% sodium azide.

Preparation Note

Stable for 1 year at 2-8°C from date of receipt.

Analysis Note

Control
A-20 cell lysate
Evaluated by Western Blotting in A-20 cell lysate.

Western Blotting Analysis: 2 µg/mL of this antibody detected STIM2 in 15 µg of A-20 cell lysate.

Other Notes

Concentration: Please refer to the Certificate of Analysis for the lot-specific concentration.

Disclaimer

Unless otherwise stated in our catalog or other company documentation accompanying the product(s), our products are intended for research use only and are not to be used for any other purpose, which includes but is not limited to, unauthorized commercial uses, in vitro diagnostic uses, ex vivo or in vivo therapeutic uses or any type of consumption or application to humans or animals.

Not finding the right product?  

Try our Product Selector Tool.

Storage Class

12 - Non Combustible Liquids

wgk_germany

WGK 2

flash_point_f

Not applicable

flash_point_c

Not applicable


Certificates of Analysis (COA)

Search for Certificates of Analysis (COA) by entering the products Lot/Batch Number. Lot and Batch Numbers can be found on a product’s label following the words ‘Lot’ or ‘Batch’.

Already Own This Product?

Find documentation for the products that you have recently purchased in the Document Library.

Visit the Document Library

Our team of scientists has experience in all areas of research including Life Science, Material Science, Chemical Synthesis, Chromatography, Analytical and many others.

Contact Technical Service