Skip to Content
MilliporeSigma

ABE600

Sigma-Aldrich

Anti-SATB2 Antibody

from rabbit, purified by affinity chromatography

Synonym(s):

DNA-binding protein SATB2, Special AT-rich sequence-binding protein 2

Sign Into View Organizational & Contract Pricing

Select a Size


About This Item

UNSPSC Code:
12352203
eCl@ss:
32160702
NACRES:
NA.41
Technical Service
Need help? Our team of experienced scientists is here for you.
Let Us Assist
Technical Service
Need help? Our team of experienced scientists is here for you.
Let Us Assist

biological source

rabbit

Quality Level

conjugate

unconjugated

antibody form

affinity isolated antibody

antibody product type

primary antibodies

clone

polyclonal

purified by

affinity chromatography

species reactivity

human, mouse

technique(s)

immunofluorescence: suitable
immunohistochemistry: suitable (paraffin)
western blot: suitable

UniProt accession no.

shipped in

wet ice

target post-translational modification

unmodified

Gene Information

human ... SATB2(23314)

General description

Special AT-rich sequence-binding protein 2 (SATB2) contains 2 CUT DNA-binding domains and one homeobox DNA binding domain belonging to the CUT homeobox family. SATB2 binds to DNA at the nuclear matri or scaffold-associated regions. SATB2 is highly expressed in adult brain, moderately expressed in fetal brain, and weakly expressed in adult liver, kidney, and spinal cord. Mutations in SATB2 have been associated with cleft palate.
~90 kDa observed

Immunogen

Epitope: N-terminus
KLH-conjugated linear peptide corresponding to the N-terminus of human SATB2.

Application

Detect Special AT-rich sequence-binding protein 2 using this rabbit polyclonal antibody, Anti-SATB2 Antibody validated for use in western blotting, IHC (Paraffin) & Immunofluorescence.
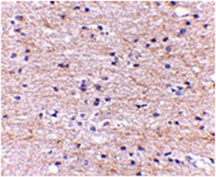
Immunohistochemistry Analysis: 5 µg/mL from a representative lot detected SATB2 in human brain tissue.

Immunofluorescence Analysis: 20 μg/mL from a representative lot detected SATB2 in human brain cells.
Research Category
Epigenetics & Nuclear Function
Research Sub Category
Transcription Factors

Biochem/physiol Actions

This antibody recognizes the N-terminus of SATB2.

Physical form

Antigen Affinity Purified
Purified rabbit polyclonal in buffer containing PBS with up to 0.1% sodium azide.

Preparation Note

Stable for 1 year at 2-8°C from date of receipt.

Analysis Note

Control
Mouse brain tissue lysate
Evaluated by Western Blotting in mouse brain tissue lysate.

Western Blotting Analysis: 4 µg/mL of this antibody detected SATB2 in 15 µg of mouse brain tissue lysate.

Other Notes

Concentration: Please refer to the Certificate of Analysis for the lot-specific concentration.

Disclaimer

Unless otherwise stated in our catalog or other company documentation accompanying the product(s), our products are intended for research use only and are not to be used for any other purpose, which includes but is not limited to, unauthorized commercial uses, in vitro diagnostic uses, ex vivo or in vivo therapeutic uses or any type of consumption or application to humans or animals.

Not finding the right product?  

Try our Product Selector Tool.

Storage Class

12 - Non Combustible Liquids

wgk_germany

WGK 2

flash_point_f

Not applicable

flash_point_c

Not applicable


Certificates of Analysis (COA)

Search for Certificates of Analysis (COA) by entering the products Lot/Batch Number. Lot and Batch Numbers can be found on a product’s label following the words ‘Lot’ or ‘Batch’.

Already Own This Product?

Find documentation for the products that you have recently purchased in the Document Library.

Visit the Document Library

Lei Wang et al.
Nature neuroscience, 19(7), 888-896 (2016-05-24)
The unique mental abilities of humans are rooted in the immensely expanded and folded neocortex, which reflects the expansion of neural progenitors, especially basal progenitors including basal radial glia (bRGs) and intermediate progenitor cells (IPCs). We found that constitutively active

Our team of scientists has experience in all areas of research including Life Science, Material Science, Chemical Synthesis, Chromatography, Analytical and many others.

Contact Technical Service