Skip to Content
MilliporeSigma

ABE2696

Sigma-Aldrich

Anti-GADD45 alpha Antibody

from rabbit, purified by affinity chromatography

Synonym(s):

Growth arrest and DNA damage-inducible protein GADD45 alpha, DDIT-1, DNA damage-inducible transcript 1 protein

Sign Into View Organizational & Contract Pricing

Select a Size


About This Item

UNSPSC Code:
12352203
eCl@ss:
32160702
NACRES:
NA.41
Technical Service
Need help? Our team of experienced scientists is here for you.
Let Us Assist
Technical Service
Need help? Our team of experienced scientists is here for you.
Let Us Assist

biological source

rabbit

Quality Level

conjugate

unconjugated

antibody form

affinity isolated antibody

antibody product type

primary antibodies

clone

polyclonal

purified by

affinity chromatography

species reactivity

mouse, human

species reactivity (predicted by homology)

porcine (based on 100% sequence homology), bovine (based on 100% sequence homology)

technique(s)

immunohistochemistry: suitable
western blot: suitable

NCBI accession no.

UniProt accession no.

target post-translational modification

unmodified

Gene Information

human ... GADD45A(1647)

General description

Growth arrest and DNA damage-inducible protein GADD45 alpha (UniProt P24522; also known as DDIT-1, DNA damage-inducible transcript 1 protein) is encoded by the GADD45A (also known as DDIT1, GADD45) gene (Gene ID 1647) in human. GADD45A, GADD45B, and GADD45G constitute a family of sensors that can mediate rapid responses to a variety of stressors in mammals. GADD45 proteins are involved in cellular DNA repair, cell cycle, cell survival, apoptosis, senescence, and DNA demethylation under various stress conditions. The interaction of GADD45 with PCNA regulates DNA replication and repair by stimulating nucleotide excision repair. GADD45 can induce cell cycle arrest through direct interaction with cell cycle-related protein CDK1 and p21. Direct phosphorylation of MEKK4 by GADD45 leads to activation of JNK and p38 kinase, resulting in cellular apoptosis and senescence, respectively. All GADD45 proteins are able to interact with each other and form homo- or hetero-dimers, which are crucial for GADD45 functions. GADD45 proteins are ubiquitously expressed, but can vary in their tissue expression patterns among the three members. Gadd45a deletion in mice causes genomic instability, resulting in defective mitosis and cytokinesis, as wll as increased radiation carcinogenesis. In addition to the reported antitumor activity via the induction of cellular apoptosis or senescence in cancer cells, GADD45A has also been shown to play a role in facilitating tumorigenesis in certain cancers.
~18/36 kDa (monomer/dimer) observed. 18.34 kDa (monomer) calculated. Uncharacterized band(s) may appear in some lysates.

Immunogen

Epitope: N-terminus.
KLH-conjugated linear peptide corresponding to the N-terminal sequence of human GADD45 alpha.

Application

Research Category
Epigenetics & Nuclear Function
Research Sub Category
Cell Cycle, DNA Replication & Repair
This Anti-GADD45 alpha Antibody is validated for use in Western Blotting, Immunohistochemistry for the detection of GADD45 alpha.
Western Blotting Analysis: A 1:500 dilution from a representative lot detected GADD45 alpha dimer in 10 µg of HEK293 cell lysate.
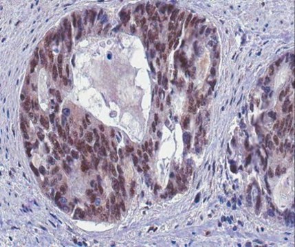
Immunohistochemistry Analysis: A 1:250 dilution from a representative lot detected GADD45 alpha in human colon cancer tissue section.

Biochem/physiol Actions

This polyclonal antibody detects GADD45 alpha. Immunogen sequence is not conserved in GADD45 beta.

Physical form

Affinity purified.
Purified rabbit polyclonal antibody in buffer containing 0.1 M Tris-Glycine (pH 7.4), 150 mM NaCl with 0.05% sodium azide.

Preparation Note

Stable for 1 year at 2-8°C from date of receipt.

Analysis Note

Evaluated by Western Blotting in mouse kidney tissue lysate.

Western Blotting Analysis: A 1:500 dilution of this antibody detected GADD45 alpha in 10 µg of mouse kidney tissue lysate.

Other Notes

Concentration: Please refer to lot specific datasheet.
Replaces: 07-1230

Disclaimer

Unless otherwise stated in our catalog or other company documentation accompanying the product(s), our products are intended for research use only and are not to be used for any other purpose, which includes but is not limited to, unauthorized commercial uses, in vitro diagnostic uses, ex vivo or in vivo therapeutic uses or any type of consumption or application to humans or animals.

Not finding the right product?  

Try our Product Selector Tool.

Storage Class

12 - Non Combustible Liquids

wgk_germany

WGK 1

flash_point_f

Not applicable

flash_point_c

Not applicable


Certificates of Analysis (COA)

Search for Certificates of Analysis (COA) by entering the products Lot/Batch Number. Lot and Batch Numbers can be found on a product’s label following the words ‘Lot’ or ‘Batch’.

Already Own This Product?

Find documentation for the products that you have recently purchased in the Document Library.

Visit the Document Library

Our team of scientists has experience in all areas of research including Life Science, Material Science, Chemical Synthesis, Chromatography, Analytical and many others.

Contact Technical Service