Skip to Content
MilliporeSigma

ABE1379

Sigma-Aldrich

Anti-F-box/WD repeat-containing protein 7 Antibody

from rabbit, purified by affinity chromatography

Synonym(s):

Archipelago homolog, F-box/WD repeat-containing protein 7, hAgo, F-box and WD-40 domain-containing protein 7, F-box protein FBX30, SEL-10, hCdc4

Sign Into View Organizational & Contract Pricing

Select a Size


About This Item

UNSPSC Code:
12352203
eCl@ss:
32160702
NACRES:
NA.41
Technical Service
Need help? Our team of experienced scientists is here for you.
Let Us Assist
Technical Service
Need help? Our team of experienced scientists is here for you.
Let Us Assist

biological source

rabbit

Quality Level

conjugate

unconjugated

antibody form

affinity isolated antibody

antibody product type

primary antibodies

clone

polyclonal

purified by

affinity chromatography

species reactivity

human

species reactivity (predicted by homology)

feline (based on 100% sequence homology), bovine (based on 100% sequence homology), rhesus macaque (based on 100% sequence homology), horse (based on 100% sequence homology), canine (based on 100% sequence homology), gorilla (based on 100% sequence homology), porcine (based on 100% sequence homology)

technique(s)

immunohistochemistry: suitable
western blot: suitable

NCBI accession no.

UniProt accession no.

shipped in

wet ice

target post-translational modification

unmodified

Gene Information

human ... FBXW7(55294)

General description

F-box/WD repeat-containing protein 7 (UniProt Q969H0; also known as Archipelago, F-box and WD-40 domain protein 7, F-box protein FBW7, F-box protein FBX30, F-box protein SEL-10, hAgo, hCdc4, Homolog of C elegans sel-10) is encoded by the FBXW7 (also known as AGO, CDC4, FBW7, FBX30, SEL10) gene (Gene ID 55294) in human. Polyubiquitination of proteins is mediated by ubiquitin-activating enzymes (E1s), ubiquitin-conjugating enzymes (E2s), and ubiquitin ligases (E3s). There exist RING finger-type, HECT-type, and U-box type of E3 ligases. The F-box/WD repeat-containing protein 7 functions as an adaptor component of the Skp1, Cullin, F-box (SCF) and mediates substrates recruitment to the Cullin-RING E3 ubiquitin ligase (CRL) complex. Cyclin E, c-Myc, c-Jun, Notch1, SREBP, mTOR, c-Myb, MCL1, NFκB2, and GATA3 are all known substrates targeted by Fbxw7 for ubiquitin-proteasome system- (UPS-) mediated degradation.
~70 kDa observed. 79.7 kDa (isoform 1; Archipelago alpha, FBW7alpha, 110K, common), 70.3 kDa (isoform 2; Archipelago beta, FBW7beta, 69K), and 66.1 kDa (isoform 3; Archipelago gamma, FBW7gamma, Hippocampal) calculated.

Immunogen

Epitope: Internal
KLH-conjugated linear peptide corresponding to human F-box/WD repeat-containing protein 7.

Application

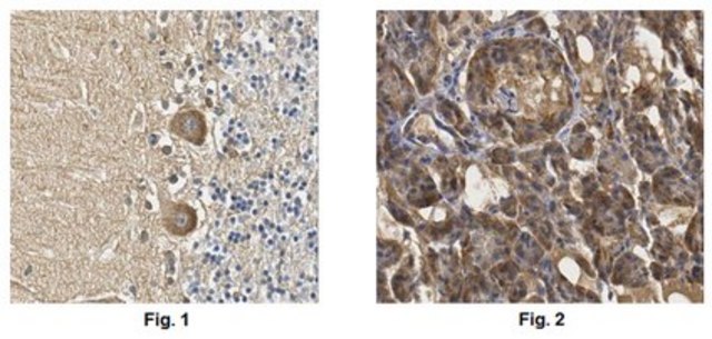
Immunohistochemistry Analysis: A 1:250-1,000 dilution from a representative lot detected F-box/WD repeat-containing protein 7 in human cerebellum and human pancreas tissue.
Research Category
Epigenetics & Nuclear Function
Research Sub Category
Nuclear Receptors
This Anti-F-box/WD repeat-containing protein 7 Antibody is validated for use in Western Blotting, Immunohistochemistry for the detection of F-box/WD repeat-containing protein 7.

Biochem/physiol Actions

Although immunogen sequence is present in all three spliced isoforms, both target band size by Western blotting and cytoplasmic staining pattern by immunohistochemistry are consistent with the detection of isoform 2 (Archipelago beta, FBW7beta, 69K) by this polyclonal antibody.

Physical form

Affinity purified
Purified rabbit polyclonal antibody in buffer containing 0.1 M Tris-Glycine (pH 7.4), 150 mM NaCl with 0.05% sodium azide.

Preparation Note

Stable for 1 year at 2-8°C from date of receipt.

Analysis Note

Evaluated by Western Blotting in MCF-10A human breast epithelial cell lysate.

Western Blotting Analysis: 0.5 µg/mL of this antibody detected F-box/WD repeat-containing protein 7 in 10 µg of human breast cancer MDA-MB-231 and non-tumorigenic MCF-10A breast epithelial cell lysates.

Other Notes

Concentration: Please refer to lot specific datasheet.

Disclaimer

Unless otherwise stated in our catalog or other company documentation accompanying the product(s), our products are intended for research use only and are not to be used for any other purpose, which includes but is not limited to, unauthorized commercial uses, in vitro diagnostic uses, ex vivo or in vivo therapeutic uses or any type of consumption or application to humans or animals.

Not finding the right product?  

Try our Product Selector Tool.

Storage Class

12 - Non Combustible Liquids

wgk_germany

WGK 1

flash_point_f

Not applicable

flash_point_c

Not applicable


Certificates of Analysis (COA)

Search for Certificates of Analysis (COA) by entering the products Lot/Batch Number. Lot and Batch Numbers can be found on a product’s label following the words ‘Lot’ or ‘Batch’.

Already Own This Product?

Find documentation for the products that you have recently purchased in the Document Library.

Visit the Document Library

Related Content

A major focus of breast cancer research is to understand the mechanisms responsible for disease progression and drug resistance. Toward that end, it has been found that approximately two thirds of all human breast carcinomas overexpress the Estrogen Receptor α (ERα) protein and it remains the primary pharmacological target for endocrine therapy1,2. The normal cellular function of ERα is as a transcription factor that mediates a wide variety of physiological processes, many of which are dependent upon phosphorylation of the receptor at specific amino acid residues3,4. Indeed, ERα is known to be phosphorylated at a multitude of different sites, yet how these all correlate to disease remains unclear5. Here, we interrogated multiple sites of ERα for phosphorylation status by screening an extensive panel of different breast cancer patient samples and other non-breast cancer tissue microarray (TMA) slide samples to determine their relevance to disease.

Our team of scientists has experience in all areas of research including Life Science, Material Science, Chemical Synthesis, Chromatography, Analytical and many others.

Contact Technical Service