Skip to Content
MilliporeSigma

ABD69

Sigma-Aldrich

Anti-Nestin, Human Antibody

serum, from rabbit

Synonym(s):

Nestin

Sign Into View Organizational & Contract Pricing

Select a Size


About This Item

UNSPSC Code:
12352203
eCl@ss:
32160702
NACRES:
NA.41
Technical Service
Need help? Our team of experienced scientists is here for you.
Let Us Assist
Technical Service
Need help? Our team of experienced scientists is here for you.
Let Us Assist

biological source

rabbit

Quality Level

conjugate

unconjugated

antibody form

serum

antibody product type

primary antibodies

clone

polyclonal

species reactivity

human

should not react with

rat, mouse

technique(s)

immunocytochemistry: suitable
immunohistochemistry: suitable
western blot: suitable

NCBI accession no.

UniProt accession no.

shipped in

wet ice

target post-translational modification

unmodified

Gene Information

human ... NES(10763)

General description

Nestin, a large intermediate filament protein (class Type VI) expressed during development and in myotendinous and neuromuscular junctions. Nestin expression is restricted, typically disappearing by E18. Nestin is thought to be a reasonable neuronal marker; however, recent studies have found nestin expression in other cell types such as endothelial cells {Folia Biologica, 44(5):155, 1998}. Nestin identifies the most primitive neuroepithelium but also identifies many other embryonic tissues, so it is not specific for CNS. Nestin expression is seen in almost all GBMs (Glioblastoma mulitformes) and many melanomas (both primary and metastatic) but not in any metastatic carcinoma.
The anti-Nestin antibody has an observed MW at 220kDa Antibody may see 260kDa band in some cells and/or treatments

Immunogen

GST-tagged recombinant protein corresponding to human Nestin.

Application

Detect Nestin, Human using this Anti-Nestin, Human Antibody validated for use in Western Blotting, ICC & IHC.
Evaluated by Immunocytochemistry in human WI38 cells.
Immunocytochemsitry Analysis: A 1:500 dilution of this antibody detected Nestin in human WI38 cells.
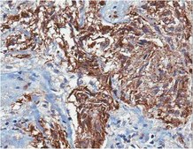
Evaluated by Immunohistochemistry in human glioblastoma tissue.
Immunocytochemsitry Analysis: A 1:2,000 dilution of this antibody detected Nestin in human glioblastoma tissue.
Evaluated by Western Blot in human U251 glioblastoma cells. Western Blot Analysis: A 1:25,000 dilution of this antibody has been shown to detected Nestin in human U251 glioblastoma cells.

Biochem/physiol Actions

This antibody recognizes human Nestin. Antibody is not reactive with rat and mouse Nestin protein.

Analysis Note

Control
U251 glioblastoma cells.
Evaluated by Immunocytochemistry in human U251 glioblastoma cells. Immunocytochemsitry Analysis: A 1:500 dilution of this antibody detected Nestin in human U251 glioblastoma cells.

Disclaimer

RESEARCH USE ONLY. This product is regulated in France when intended to be used for scientific purposes, including for import and export activities (Article L 1211-1 paragraph 2 of the Public Health Code). The purchaser (i.e. enduser) is required to obtain an import authorization from the France Ministry of Research referred in the Article L1245-5-1 II. of Public Health Code. By ordering this product, you are confirming that you have obtained the proper import authorization.

Not finding the right product?  

Try our Product Selector Tool.

Storage Class

10 - Combustible liquids

wgk_germany

WGK 1


Certificates of Analysis (COA)

Search for Certificates of Analysis (COA) by entering the products Lot/Batch Number. Lot and Batch Numbers can be found on a product’s label following the words ‘Lot’ or ‘Batch’.

Already Own This Product?

Find documentation for the products that you have recently purchased in the Document Library.

Visit the Document Library

Matteo Setti et al.
Journal of the National Cancer Institute, 105(21), 1644-1655 (2013-10-12)
Chloride channels are physiologically involved in cell division and motility. Chloride intracellular channel 1 (CLIC1) is overexpressed in a variety of human solid tumors compared with normal tissues, suggesting a potential involvement of CLIC1 in the regulation of tumorigenesis. This
Intraspinal transplantation of mouse and human neural precursor cells.
Weinger, JG; Chen, L; Coleman, R; Leang, R; Plaisted, WC; Loring, JF; Lane, TE
Current Protocols in Stem Cell Biology null
Smita Jagtap et al.
Human molecular genetics, 28(21), 3625-3636 (2019-09-14)
The X-linked neurodevelopmental diseases CDKL5 deficiency disorder (CDD) and Rett syndrome (RTT) are associated with intellectual disability, infantile spasms and seizures. Although mitochondrial dysfunction has been suggested in RTT, less is understood about mitochondrial function in CDD. A comparison of
Sutapa Ray et al.
Molecular carcinogenesis, 57(4), 536-548 (2017-12-28)
Medulloblastoma (MB) is a malignant pediatric brain tumor with poor prognosis. Signal transducers and activators of transcription-3 (STAT3) is constitutively activated in MB where it functions as an oncoprotein, mediating cancer progression and metastasis. Here, we have delineated the functional
A CDC20-APC/SOX2 Signaling Axis Regulates Human Glioblastoma Stem-like Cells.
Mao, DD; Gujar, AD; Mahlokozera, T; Chen, I; Pan, Y; Luo, J; Brost, T; Thompson et al.
Cell Reports null

Protocols

Step-by-step culture protocols for neural stem cell culture including NSC isolation, expansion, differentiation and characterization.

Our team of scientists has experience in all areas of research including Life Science, Material Science, Chemical Synthesis, Chromatography, Analytical and many others.

Contact Technical Service