Skip to Content
MilliporeSigma

ABC331

Sigma-Aldrich

Anti-PALB2 Antibody

from rabbit, purified by affinity chromatography

Synonym(s):

Partner and localizer of BRCA2, FANCN

Sign Into View Organizational & Contract Pricing

Select a Size


About This Item

UNSPSC Code:
12352203
eCl@ss:
32160702
NACRES:
NA.41
Technical Service
Need help? Our team of experienced scientists is here for you.
Let Us Assist
Technical Service
Need help? Our team of experienced scientists is here for you.
Let Us Assist

biological source

rabbit

Quality Level

conjugate

unconjugated

antibody form

affinity isolated antibody

antibody product type

primary antibodies

clone

polyclonal

purified by

affinity chromatography

species reactivity

human

technique(s)

immunohistochemistry: suitable
western blot: suitable

UniProt accession no.

shipped in

wet ice

target post-translational modification

unmodified

Gene Information

human ... PALB2(79728)

General description

Partner and localizer of BRCA2 (PALB2) is the critical protein required for the homologous recombination repair at DNA breaks. It serves as a scaffold protein in the formation of the BRAC1-PALB2-BRAC2 complex which is essential for homologous recombination. Essentially a partner of BRAC2, PALB2 localizes BRAC2 and stabilizes it. PALB2 enables BRAC2 to perform its recombinational repair and checkpoint functions in addition to its DNA repair functions. Also by binding BRAC2, PALB2 is thought to help BRCA2 avoid degradation. PALB2 localizes to the nucleus and has at least four known isoforms. Defects in PALB2 are linked with many forms of breast cancers, pancreatic cancer type 3 (PNCA3), as well as disorders of the bone marrow (Fanconi anemia complementation group, FANCN). These patients suffer numerous cardiac, limb, and skin malformations as well as malignancies. EMD Millipore’s Anti-PALB2 rabbit polyclonal antibody has been tested in western blotting in human SK-N-SH cell lysate samples.
~180 kDa observed. Uncharacterized bands may appear in some lysate(s).

Immunogen

KLH-conjugated linear peptide corresponding to human PALB2.

Application

Anti-PALB2 Antibody is a rabbit polyclonal antibody, validated for use in western blotting & IHC.
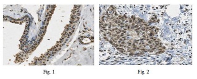
Immunohistochemistry Analysis: A 1:250-1,000 dilution from a representative lot detected SPALB2 in human breast cancer tissue.

Optimal working dilutions must be determined by end user.

Analysis Note

Evaluated by Western Blotting in SK-N-SH cell lysate.

Western Blotting Analysis: 2 µg/mL of this antibody detected PALB2 in 15 µg of SK-N-SH cell lysate.

Other Notes

Concentration: Please refer to the Certificate of Analysis for the lot-specific concentration.

Not finding the right product?  

Try our Product Selector Tool.

Storage Class

12 - Non Combustible Liquids

wgk_germany

WGK 2

flash_point_f

Not applicable

flash_point_c

Not applicable


Certificates of Analysis (COA)

Search for Certificates of Analysis (COA) by entering the products Lot/Batch Number. Lot and Batch Numbers can be found on a product’s label following the words ‘Lot’ or ‘Batch’.

Already Own This Product?

Find documentation for the products that you have recently purchased in the Document Library.

Visit the Document Library

Our team of scientists has experience in all areas of research including Life Science, Material Science, Chemical Synthesis, Chromatography, Analytical and many others.

Contact Technical Service