Skip to Content
MilliporeSigma

AB9433-I

Sigma-Aldrich

Anti-GLP1R Antibody

from rabbit, purified by affinity chromatography

Synonym(s):

GLP-1R, GLP-1 Receptor, GLP1-R, GLP1R,GLP-1-R

Sign Into View Organizational & Contract Pricing

Select a Size


About This Item

UNSPSC Code:
12352203
eCl@ss:
32160702
NACRES:
NA.41
Technical Service
Need help? Our team of experienced scientists is here for you.
Let Us Assist
Technical Service
Need help? Our team of experienced scientists is here for you.
Let Us Assist

biological source

rabbit

Quality Level

conjugate

unconjugated

antibody form

affinity isolated antibody

antibody product type

primary antibodies

clone

polyclonal

purified by

affinity chromatography

species reactivity

human, mouse

technique(s)

immunohistochemistry: suitable (paraffin)

NCBI accession no.

UniProt accession no.

shipped in

wet ice

target post-translational modification

unmodified

Gene Information

human ... GLP1R(2740)

General description

53 kDa calculated
Glucagon-Like Peptide 1 Receptor (GLP-1R) is the receptor for glucagon-like peptide 1 and is expressed in the pancreatic beta cells. Ligand binding activates adenyl-cyclase activity which results in increased insulin synthesis and release. GLP-1R is also expressed in the brain where it functions in the control of appetite, memory and learning. GLP-1R also has neuroprotective functions which may be beneficial in diseases such as Huntington′s disease, and drugs that are GLP-1R agonists (acts like natural ligand to activate the receptor) such as Exendin-4 are being examined as potential therapies for the disease as well as diabetes and other memory and metabolic disorders.

Immunogen

Epitope: extracellular domain, near N-Terminus
KLH-conjugated linear peptide corresponding to the extracellular domain of Human Glucagon-Like Peptide 1 Receptor.

Application

Research Category
Metabolism

Signaling
Research Sub Category
Lipid Metabolism & Weight Regulation

Lipid Signaling
This Anti-GLP1R Antibody is validated for use in Immunohistochemistry (Paraffin) for the detection of GLP1R.

Physical form

Antigen Affinity Purified
Purified rabbit Polyclonal serum in buffer containing 0.1 M Tris-Glycine (pH 7.4), 150 mM NaCl with 0.05% sodium azide.

Preparation Note

Stable for 1 year at 2-8°C from date of receipt.

Analysis Note

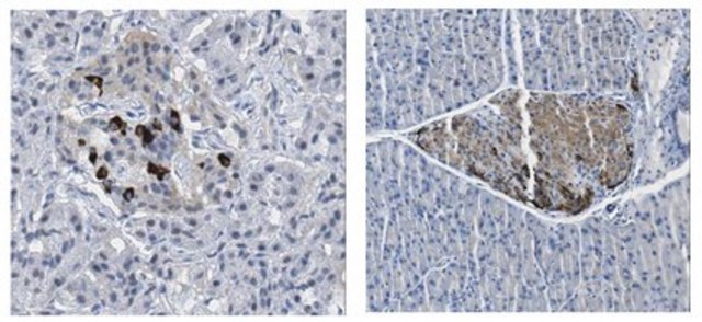
Evaluated by Immunohistochemistry (Paraffin) on endocrine cells in human pancreas.

Immunohistochemistry Analysis: 2 ug/ml this antibody showed cytoplasmic staining of subsets of endocrine cells in islets of Langerhans in human pancreas.

Other Notes

Concentration: Please refer to lot specific datasheet.
Replaces: AB9433

Disclaimer

Unless otherwise stated in our catalog or other company documentation accompanying the product(s), our products are intended for research use only and are not to be used for any other purpose, which includes but is not limited to, unauthorized commercial uses, in vitro diagnostic uses, ex vivo or in vivo therapeutic uses or any type of consumption or application to humans or animals.

Not finding the right product?  

Try our Product Selector Tool.

Storage Class

12 - Non Combustible Liquids

wgk_germany

WGK 1

flash_point_f

Not applicable

flash_point_c

Not applicable


Certificates of Analysis (COA)

Search for Certificates of Analysis (COA) by entering the products Lot/Batch Number. Lot and Batch Numbers can be found on a product’s label following the words ‘Lot’ or ‘Batch’.

Already Own This Product?

Find documentation for the products that you have recently purchased in the Document Library.

Visit the Document Library

Our team of scientists has experience in all areas of research including Life Science, Material Science, Chemical Synthesis, Chromatography, Analytical and many others.

Contact Technical Service