Skip to Content
MilliporeSigma

AB939-I

Sigma-Aldrich

Anti-Pancreatic Polypeptide

from rabbit

Synonym(s):

Pancreatic hormone, PP, Obinepitide

Sign Into View Organizational & Contract Pricing

Select a Size


About This Item

UNSPSC Code:
12352203
eCl@ss:
32160702
NACRES:
NA.41
Technical Service
Need help? Our team of experienced scientists is here for you.
Let Us Assist
Technical Service
Need help? Our team of experienced scientists is here for you.
Let Us Assist

biological source

rabbit

Quality Level

conjugate

unconjugated

antibody form

affinity isolated antibody

antibody product type

primary antibodies

clone

polyclonal

species reactivity

human

species reactivity (predicted by homology)

rhesus macaque (based on 100% sequence homology)

packaging

antibody small pack of 25 μL

technique(s)

immunohistochemistry: suitable (paraffin)
western blot: suitable

NCBI accession no.

UniProt accession no.

shipped in

ambient

target post-translational modification

unmodified

Gene Information

human ... PPY(5539)

Related Categories

General description

Pancreatic polypeptide (UniProt: P01298; also known as PP, Obinepitide, Pancreatic prohormone) is encoded by the PPY (also known as PNP) gene (Gene ID: 5539) in human. Pancreatic polypeptide is a member of the neuropeptide Y family and is secreted protein that is produced by PP cells in the pancreatic islets of Langerhans. It is synthesized with a signal peptide (aa 1-29), which is subsequently cleaved off. It acts as a regulator of pancreatic and gastrointestinal functions. Two isoforms of pancreatic polypeptide have been described that are generated by alternative splicing. Pancreatic polypeptide release is functionally associated with increased satiety, delayed gastric emptying, inhibition of gallbladder motility, and regulation of energy expenditure. Its deficiency is observed in cases of pancreatic resection and chronic pancreatitis and is associated with significant reduction in PP cell mass and abnormally high hepatic glucose production even in the presence of endogenous insulin. (Ref.: Maxwell, J et al. (2014). Pancreas 43(4); 651-656).
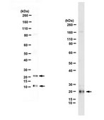
~11 and ~20 kDa observed for isoforms 1 and 2; 10.45 and 18.79 kDa calculated for isoforms 1 and 2. Uncharacterized bands may be observed in some lysate(s).

Immunogen

Epitope: cytoplasmic domain
KLH-conjugated linear peptide corresponding to 36 amino acids the internal region of human pancreatic polypeptide.

Application

Anti-Pancreatic Polypeptide Antibody, Cat. No. AB939-I, is a highly specific rabbit polyclonal antibody that targets Pancreatic polypeptide and has been tested in Immunohistochemistry (Paraffin) and Western Blotting.
Research Category
Neuroscience
Western Blotting Analysis: 1:2,000 dilution from a representative lot detected Pancreatic Polypeptide in 10 µg of human pancreas tissue lysate.

Immunohistochemistry Analysis: A 1:1,000 dilution from a representative lot detected Pancreatic Polypeptide in human pancreas tissue sections.

Immunocytochemistry Analysis (ICC): A 1:500 dilution from a representative lot detected Pancreatic Polypeptide in TGP52 cell line.

Biochem/physiol Actions

This rabbit polyclonal antibody detects both isoforms of human pancreatic polypeptide. It targets an epitope within 36 amino acids from the internal region.

Physical form

Affinity Purified
Format: Purified
Purified rabbit polyclonal antibody in buffer containing 0.1 M Tris-Glycine (pH 7.4), 150 mM NaCl with 0.05% sodium azide.

Preparation Note

Stable for 1 year at 2-8°C from date of receipt.

Analysis Note

Evaluated by Western Blotting in PANC-1 cell lysate.

Western Blotting Analysis: 1:2,000 dilution of this antibody detected Pancreatic Polypeptide in 10 µg of PANC-1 cell lysate.

Other Notes

Concentration: Please refer to lot specific datasheet.

Disclaimer

Unless otherwise stated in our catalog or other company documentation accompanying the product(s), our products are intended for research use only and are not to be used for any other purpose, which includes but is not limited to, unauthorized commercial uses, in vitro diagnostic uses, ex vivo or in vivo therapeutic uses or any type of consumption or application to humans or animals.

Not finding the right product?  

Try our Product Selector Tool.


Certificates of Analysis (COA)

Search for Certificates of Analysis (COA) by entering the products Lot/Batch Number. Lot and Batch Numbers can be found on a product’s label following the words ‘Lot’ or ‘Batch’.

Already Own This Product?

Find documentation for the products that you have recently purchased in the Document Library.

Visit the Document Library

Our team of scientists has experience in all areas of research including Life Science, Material Science, Chemical Synthesis, Chromatography, Analytical and many others.

Contact Technical Service