Skip to Content
MilliporeSigma

AB5032

Sigma-Aldrich

Anti-Neural Cell Adhesion Molecule Antibody

Chemicon®, from rabbit

Synonym(s):

CD56 antigen, antigen recognized by monoclonal antibody 5.1H11

Sign Into View Organizational & Contract Pricing

Select a Size


About This Item

UNSPSC Code:
12352203
eCl@ss:
32160702
NACRES:
NA.41
Technical Service
Need help? Our team of experienced scientists is here for you.
Let Us Assist
Technical Service
Need help? Our team of experienced scientists is here for you.
Let Us Assist

biological source

rabbit

Quality Level

conjugate

unconjugated

antibody form

affinity purified immunoglobulin

antibody product type

primary antibodies

clone

polyclonal

purified by

affinity chromatography

species reactivity

mouse, rat, chicken, human

manufacturer/tradename

Chemicon®

technique(s)

ELISA: suitable
immunofluorescence: suitable
immunohistochemistry: suitable
western blot: suitable

UniProt accession no.

shipped in

dry ice

target post-translational modification

unmodified

Gene Information

human ... NCAM1(4684)

General description

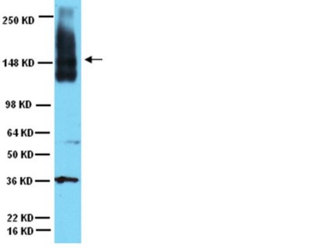
MW is 200-250 kDa; when treated with Neuraminidase, 140-180 kDa A breakdown product of 160 kDa may also be visible.
The Immunoglobulin superfamily of cell adhesion molecules is related to the immunoglobulins proteins by structure. The family contains over a 100 members, which include ICAM (intercellular adhesion molecule), NCAM (neural cell adhesion molecule) and NgCAM (neural-glial cell adhesion molecule). Both NCAM and NgCAM are calcium independent adhesion molecules. NCAM, the first CAM to be characterized, is expressed on all neurons from very early in development. It binds homophilically to NCAM on adjacent cells and has a variety of functions during neural development. One of these important functions is to hold developing neurites together during neuron outgrowth and formation of neural connections. The adhesive properties of NCAM are modulated during development and plasticity by the presence of the regulated carbohydrate, polysialic acid (PSA). The post-translational addition of alpha-2,8-linked PSA (NCAM-PSA) appears to contribute to synaptic plasticity during learning and memory formation and to the mechanisms of nerve regeneration.
The previously assigned protein identifier P13592 has been merged into P13591. Full details can be found on the UniProt database.

Immunogen

Highly purified chicken NCAM

Application

Detect Neural Cell Adhesion Molecule using this Anti-Neural Cell Adhesion Molecule Antibody validated for use in ELISA, IF, IH, FUNC & WB.
Immunohistochemistry:
A previous lot was shown to work with a wide range of fixatives. Will detect chicken NCAM using a concentration of 1 μg/mL and mouse NCAM using a concentration of 2 μg/mL.

Immunofluorescence:
A previous lot of this antibody was used in Immunofluorescence.

Function blocking:
A previous lot of this antibody was used in Function blocking.

ELISA:
0.3 μg/mL of a previous lot was used.

Optimal working dilutions must be determined by end user.
Research Category
Neuroscience
Research Sub Category
Growth Cones & Axon Guidance

Biochem/physiol Actions

Expected to cross-react with Chicken, Human, and rat.
Neural Cell Adhesion Molecule (NCAM). MW is 200-250 kDa; when treated with Neuraminidase, 140-180 kDa. A breakdown product of 160 kDa may also be visible.

Physical form

ImmunoAffinity Purified
Purified rabbit polyclonal in buffer containing PBS containing no preservatives.

Preparation Note

Stable for 1 year at -20°C from date of receipt.

Handling Recommendations:
Upon first thaw, and prior to removing the cap, centrifuge the vial and gently mix the solution. Aliquot into microcentrifuge tubes and store at -20°C. Avoid repeated freeze/thaw cycles, which may damage IgG and affect product performance.

Analysis Note

Control
Neuraminidase-treated mouse brain membrane.
Routinely evaluated by Western Blot on mouse brain lysates.

Western Blot Analysis: 1:1000 dilution of this lot detected NCAM on 10 μg of mouse brain lysate.

Other Notes

Concentration: Please refer to the Certificate of Analysis for the lot-specific concentration.

Legal Information

CHEMICON is a registered trademark of Merck KGaA, Darmstadt, Germany

Disclaimer

Unless otherwise stated in our catalog or other company documentation accompanying the product(s), our products are intended for research use only and are not to be used for any other purpose, which includes but is not limited to, unauthorized commercial uses, in vitro diagnostic uses, ex vivo or in vivo therapeutic uses or any type of consumption or application to humans or animals.

Not finding the right product?  

Try our Product Selector Tool.

Storage Class

12 - Non Combustible Liquids

wgk_germany

WGK 2

flash_point_f

Not applicable

flash_point_c

Not applicable


Certificates of Analysis (COA)

Search for Certificates of Analysis (COA) by entering the products Lot/Batch Number. Lot and Batch Numbers can be found on a product’s label following the words ‘Lot’ or ‘Batch’.

Already Own This Product?

Find documentation for the products that you have recently purchased in the Document Library.

Visit the Document Library

Differential expression of chemokines in inflammatory myopathies
De Bleecker, JL et al.
Neurology, 58, 1779-1785 (2002)
Yutaka Maruyama et al.
PloS one, 7(4), e34489-e34489 (2012-04-19)
Recently, we reported that calcium-sensing receptor (CaSR) is a receptor for kokumi substances, which enhance the intensities of salty, sweet and umami tastes. Furthermore, we found that several γ-glutamyl peptides, which are CaSR agonists, are kokumi substances. In this study
Muscle regeneration, inflammation, and connective tissue expansion in canine inflammatory myopathy
Salvadori, C. et al.
Muscle and Nerve, 31, 192-198 (2005)
Protein kinase A activation promotes plasma membrane insertion of DCC from an intracellular pool: A novel mechanism regulating commissural axon extension.
Bouchard, JF; Moore, SW; Tritsch, NX; Roux, PP; Shekarabi, M; Barker, PA; Kennedy, TE
The Journal of Neuroscience null
Afshin Mosahebi et al.
Experimental neurology, 173(2), 213-223 (2002-02-02)
Transplantation of allogeneic Schwann cells (SC) would make it feasible to reconstruct immediately peripheral nerve defects, compared to using autologous SC; however, this treatment modality has not been adequately evaluated. The aim of this study was to characterize and compare

Our team of scientists has experience in all areas of research including Life Science, Material Science, Chemical Synthesis, Chromatography, Analytical and many others.

Contact Technical Service