Skip to Content
MilliporeSigma

AB2290

Sigma-Aldrich

Anti-MAP-2 Antibody

from rabbit, purified by affinity chromatography

Synonym(s):

microtubule-associated protein 2, MAP2, MAP 2

Sign Into View Organizational & Contract Pricing

Select a Size


About This Item

UNSPSC Code:
12352203
eCl@ss:
32160702
NACRES:
NA.41
Technical Service
Need help? Our team of experienced scientists is here for you.
Let Us Assist
Technical Service
Need help? Our team of experienced scientists is here for you.
Let Us Assist

biological source

rabbit

Quality Level

conjugate

unconjugated

antibody form

affinity isolated antibody

antibody product type

primary antibodies

clone

polyclonal

purified by

affinity chromatography

species reactivity

rat

technique(s)

immunocytochemistry: suitable
immunohistochemistry: suitable (paraffin)
western blot: suitable

NCBI accession no.

UniProt accession no.

shipped in

wet ice

target post-translational modification

unmodified

General description

Microtubule-associated protein 2 (UniProt: P15146; also known as MAP-2) is encoded by the Map2 (also known as Mtap2) gene (Gene ID: 25595) in rat. MAP-2 belong to the family of thermostable proteins associated with microtubules. It is an abundant neuronal cytoskeletal protein that binds to tubulin and stabilizes microtubules against depolymerization. It also has a stiffening effect on microtubules. MAP-2 is shown to be essential for the development and maintenance of neuronal morphology. Three primary isoforms of MAP-2, the high molecular weight MAP2a and MAP2b, and the low molecular weight MAP2c (resulting from alternate splicing of the MAP2 gene) have been identified in neurons. The low molecular weight isoform, MAP2c, is expressed in developing brain and is down-regulated during brain maturation, whereas the high molecular weight MAP2b is expressed in both developing and adult brain. The MAP2a appears only after brain maturation. All these forms bind to microtubules through a domain near the carboxyl terminus that contains either three or four similar repeats of a 31-amino-acid motif. MAP-2 can be phosphorylated at serine residues in K-X-G-S motifs by MAP/microtubule affinity-regulating kinase (MARK1 or MARK2) that causes its detachment from microtubules and results in their disassembly.
~270 kDa observed; 202.41 kDa calculated. Uncharacterized bands may be observed in some lysate(s).

Immunogen

Three KLH-conjugated linear peptides corresponding to the N-terminal and central regions of rat MAP-2 .

Application

Anti-MAP-2 Antibody, Cat. No. AB2290, is a highly specific rabbit polyclonal antibody that targets rat MAP-2 and has been tested in Immunocytochemistry, Immunohistochemistry (Paraffin), and Western Blotting.
Immunocytochemistry Analysis: A 1:1,000 dilution from a representative lot detected MAP-2 in E18 rat hippocampus neurons.

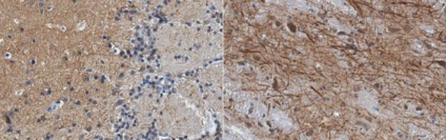
Immunohistochemistry Analysis: A 1:1,000 dilution from a representative lot detected MAP-2 in mouse cerebellum, rat cerebral cortex, and rat kidney tissues.
Research Category
Neuroscience
Research Sub Category
Neuronal & Glial Markers

Biochem/physiol Actions

Other homologies: Mouse (94% sequence homology). Human (72% sequence homology).
This antibody recognizes MAP-2.

Physical form

Affinity purified
Purified rabbit polyclonal antibody in buffer containing 0.1 M Tris-Glycine (pH 7.4), 150 mM NaCl with 0.05% sodium azide.

Preparation Note

Stable for 1 year at 2-8°C from date of receipt.

Analysis Note

Control
Rat brain microsomal tissue lysate
Evaluated by Western Blotting in rat brain microsomal preparation.

Western Blotting Analysis: 1 µg/mL of this antibody detected MAP-2 in 10 µg of rat brain microsomal preparation.

Other Notes

Concentration: Please refer to the Certificate of Analysis for the lot-specific concentration.

Disclaimer

Unless otherwise stated in our catalog or other company documentation accompanying the product(s), our products are intended for research use only and are not to be used for any other purpose, which includes but is not limited to, unauthorized commercial uses, in vitro diagnostic uses, ex vivo or in vivo therapeutic uses or any type of consumption or application to humans or animals.

Not finding the right product?  

Try our Product Selector Tool.

Storage Class

12 - Non Combustible Liquids

wgk_germany

WGK 1

flash_point_f

Not applicable

flash_point_c

Not applicable


Certificates of Analysis (COA)

Search for Certificates of Analysis (COA) by entering the products Lot/Batch Number. Lot and Batch Numbers can be found on a product’s label following the words ‘Lot’ or ‘Batch’.

Already Own This Product?

Find documentation for the products that you have recently purchased in the Document Library.

Visit the Document Library

Sang Ah Yi et al.
Viruses, 12(9) (2020-09-12)
Since the global outbreak of SARS-CoV-2 (COVID-19), infections of diverse human organs along with multiple symptoms continue to be reported. However, the susceptibility of the brain to SARS-CoV-2, and the mechanisms underlying neurological infection are still elusive. Here, we utilized
Jian-Ying Tian et al.
Experimental and therapeutic medicine, 12(2), 683-689 (2016-07-23)
The aim of the present study was to observe the effects of a general extract of Lycium bararum polysaccharides (LBPs) on methylmercury (MeHg)-induced damage in hippocampus neural stem cells (hNSCs). The hippocampal tissues of embryonic day 16 Sprague-Dawley rats were

Our team of scientists has experience in all areas of research including Life Science, Material Science, Chemical Synthesis, Chromatography, Analytical and many others.

Contact Technical Service