Skip to Content
MilliporeSigma

AB2283

Sigma-Aldrich

Anti-Tbr2 Antibody

from rabbit, purified by affinity chromatography

Synonym(s):

eomesodermin (Xenopus laevis) homolog, eomesodermin homolog (Xenopus laevis), t box, brain, 2

Sign Into View Organizational & Contract Pricing

Select a Size


About This Item

UNSPSC Code:
12352203
eCl@ss:
32160702
NACRES:
NA.41
Technical Service
Need help? Our team of experienced scientists is here for you.
Let Us Assist
Technical Service
Need help? Our team of experienced scientists is here for you.
Let Us Assist

biological source

rabbit

Quality Level

conjugate

unconjugated

antibody form

affinity isolated antibody

antibody product type

primary antibodies

clone

polyclonal

purified by

affinity chromatography

species reactivity

human, mouse

technique(s)

immunohistochemistry: suitable

NCBI accession no.

UniProt accession no.

shipped in

wet ice

target post-translational modification

unmodified

Gene Information

human ... EOMES(8320)
mouse ... Eomes(13813)

General description

Tbr2 (a T-domain transcription factor) is a member of a conserved protein family that shares a common DNA-binding domain, the T-box. T-box genes encode transcription factors involved in the regulation of developmental processes. Trb2 has been shown to play a role in the development of the neocortex and functions in the differentiation pathway of radial glia to postmitotic projection neuron.

Immunogen

Epitope: Internal Domain
KLH-conjugated linear peptide corresponding to mouse Tbr2.

Application

Research Category
Neuroscience
Research Sub Category
Developmental Neuroscience
This Anti-Tbr2 Antibody is validated for use in IH for the detection of Tbr2.

Biochem/physiol Actions

This antibody recognizes Tbr2.

Physical form

Affinity purified
Purified rabbit polyclonal in buffer containing 0.1 M Tris-Glycine (pH 7.4, 150 mM NaCl) with 0.05% sodium azide.

Preparation Note

Stable for 1 year at 2-8°C from date of receipt.

Analysis Note

Control
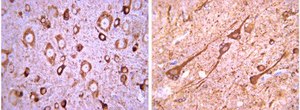
Human Brain Tissue
Evaluated by Immunohistochemistry of human brain tissue.

Immunohistochemistry Analysis: A 1:300 dilution of Anti-Tbr2 antibody from a previous lot detected Tbr2 in mouse and human brain tissue.

Other Notes

Concentration: Please refer to the Certificate of Analysis for the lot-specific concentration.

Disclaimer

Unless otherwise stated in our catalog or other company documentation accompanying the product(s), our products are intended for research use only and are not to be used for any other purpose, which includes but is not limited to, unauthorized commercial uses, in vitro diagnostic uses, ex vivo or in vivo therapeutic uses or any type of consumption or application to humans or animals.

Not finding the right product?  

Try our Product Selector Tool.

Storage Class

12 - Non Combustible Liquids

wgk_germany

WGK 1

flash_point_f

Not applicable

flash_point_c

Not applicable


Certificates of Analysis (COA)

Search for Certificates of Analysis (COA) by entering the products Lot/Batch Number. Lot and Batch Numbers can be found on a product’s label following the words ‘Lot’ or ‘Batch’.

Already Own This Product?

Find documentation for the products that you have recently purchased in the Document Library.

Visit the Document Library

Dan Xu et al.
PLoS biology, 16(12), e2006613-e2006613 (2018-12-20)
Mutations of WD repeat domain 62 (WDR62) lead to autosomal recessive primary microcephaly (MCPH), and down-regulation of WDR62 expression causes the loss of neural progenitor cells (NPCs). However, how WDR62 is regulated and hence controls neurogenesis and brain size remains
A human stem cell model of early Alzheimer's disease pathology in Down syndrome.
Shi, Yichen, et al.
Science Translational Medicine, 4, 124ra29-124ra29 (2012)
Aiwu Cheng et al.
The Journal of neuroscience : the official journal of the Society for Neuroscience, 30(32), 10752-10762 (2010-08-13)
Monoamine neurotransmitters play major roles in regulating a range of brain functions in adults and increasing evidence suggests roles for monoamines in brain development. Here we show that mice lacking the monoamine metabolic enzymes MAO A and MAO B (MAO
Raffit Hassan et al.
Clinical cancer research : an official journal of the American Association for Cancer Research, 25(19), 5787-5798 (2019-07-03)
Malignant pleural mesothelioma (MPM) is an aggressive cancer associated with poor prognosis. CRS-207 is a live-attenuated Listeria monocytogenes engineered to express mesothelin, a tumor-associated antigen highly expressed in MPM. CRS-207 induces antitumor immune responses and increases susceptibility of neoplastic cells
Joanna Yeung et al.
The Journal of neuroscience : the official journal of the Society for Neuroscience, 36(35), 9057-9069 (2016-09-02)
Pax6 is a prominent gene in brain development. The deletion of Pax6 results in devastated development of eye, olfactory bulb, and cortex. However, it has been reported that the Pax6-null Sey cerebellum only has minor defects involving granule cells despite

Our team of scientists has experience in all areas of research including Life Science, Material Science, Chemical Synthesis, Chromatography, Analytical and many others.

Contact Technical Service