Skip to Content
MilliporeSigma

AB2261

Sigma-Aldrich

Anti-Tbr1 Antibody

from chicken, purified by affinity chromatography

Synonym(s):

T-box, brain, 1

Sign Into View Organizational & Contract Pricing

Select a Size


About This Item

UNSPSC Code:
12352203
eCl@ss:
32160702
NACRES:
NA.41
Technical Service
Need help? Our team of experienced scientists is here for you.
Let Us Assist
Technical Service
Need help? Our team of experienced scientists is here for you.
Let Us Assist

biological source

chicken

Quality Level

conjugate

unconjugated

antibody form

affinity isolated antibody

antibody product type

primary antibodies

clone

polyclonal

purified by

affinity chromatography

species reactivity

human, mouse, rat

species reactivity (predicted by homology)

opossum (based on 100% sequence homology), horse (based on 100% sequence homology), canine (based on 100% sequence homology), bovine (based on 100% sequence homology), pig (based on 100% sequence homology)

technique(s)

immunohistochemistry: suitable
western blot: suitable

NCBI accession no.

UniProt accession no.

shipped in

wet ice

target post-translational modification

unmodified

Gene Information

mouse ... Tbr1(21375)

General description

Tbr1 gene is a member of a conserved family of genes that share a common DNA-binding domain, the T-box. T-box genes encode transcription factors involved in the regulation of developmental processes. Tbr1, a putative transcription factor known to be expressed in post-mitotic neurons, has been found highly expressed in glutamatergic early-born cortical neurons. A similar protein has been disrupted in mice and shown to be critical for early cortical development, and causes loss of projection neurons in the olfactory bulbs and olfactory cortex. The C-terminal region the Tbr1 derived protein was found to be necessary and sufficient for association with the guanylate kinase domain of calcium/calmodulin-dependent serine protein kinase.
~ 68 kDa is observed; however, UniProtKB/Swiss-Prot entry Q64336 (TBR1_MOUSE) lists a mass of 73.941 kDa

Immunogen

Epitope: Internal
KLH-conjugated linear peptide corresponding to mouse Tbr1.

Application

Anti-Tbr1 Antibody is an antibody against Tbr1 for use in WB, IH.
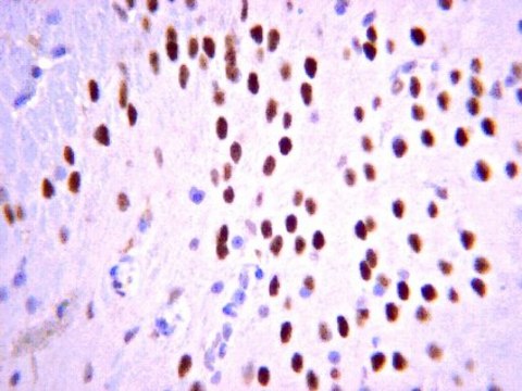
Immunohistochemistry Analysis: 1:100 dilution from a previous lot detected Tbr1 in mouse frontal cortex tissue.
Research Category
Neuroscience
Research Sub Category
Developmental Neuroscience

Biochem/physiol Actions

This antibody recognizes Tbr1.

Physical form

Affinity purified
Purified chicken polyclonal in buffer containing 0.1 M Tris-Glycine (pH 7.4, 150 mM NaCl) with 0.05% sodium azide.

Preparation Note

Stable for 1 year at 2-8°C from date of receipt.

Analysis Note

Control
Human fetal brain tissue lysate
Evaluated by Western Blot in human fetal brain tissue lysate.

Western Blot Analysis: 0.025 µg/ml of this antibody detected Tbr1 on 10 µg of human fetal brain tissue lysate.

Disclaimer

Unless otherwise stated in our catalog or other company documentation accompanying the product(s), our products are intended for research use only and are not to be used for any other purpose, which includes but is not limited to, unauthorized commercial uses, in vitro diagnostic uses, ex vivo or in vivo therapeutic uses or any type of consumption or application to humans or animals.

Not finding the right product?  

Try our Product Selector Tool.

Storage Class

12 - Non Combustible Liquids

wgk_germany

WGK 1

flash_point_f

Not applicable

flash_point_c

Not applicable


Certificates of Analysis (COA)

Search for Certificates of Analysis (COA) by entering the products Lot/Batch Number. Lot and Batch Numbers can be found on a product’s label following the words ‘Lot’ or ‘Batch’.

Already Own This Product?

Find documentation for the products that you have recently purchased in the Document Library.

Visit the Document Library

Tadashi Nomura et al.
Cell reports, 31(5), 107592-107592 (2020-05-07)
The six-layered neocortex is a shared characteristic of all mammals, but not of non-mammalian species, and its formation requires an inside-out pattern of neuronal migration. The extant reptilian dorsal cortex is thought to represent an ancestral form of the neocortex
Anna Gorelik et al.
Nature communications, 8, 15096-15096 (2017-05-04)
In recent years the notion that malfunctioning of the immune system may result in developmental brain diseases has emerged. However, the role of immune molecules in the developing brain has not been well explored. The complement pathway converges to cleave
Livio Oboti et al.
eNeuro, 5(3) (2018-06-19)
Interconnections between the olfactory bulb and the amygdala are a major pathway for triggering strong behavioral responses to a variety of odorants. However, while this broad mapping has been established, the patterns of amygdala feedback connectivity and the influence on
Naoki Nakagawa et al.
Genes & development, 31(16), 1679-1692 (2017-09-17)
Adenomatous polyposis coli (APC) regulates the activity of β-catenin, an integral component of Wnt signaling. However, the selective role of the APC-β-catenin pathway in cerebral cortical development is unknown. Here we genetically dissected the relative contributions of APC-regulated β-catenin signaling
Lei Wang et al.
Nature neuroscience, 19(7), 888-896 (2016-05-24)
The unique mental abilities of humans are rooted in the immensely expanded and folded neocortex, which reflects the expansion of neural progenitors, especially basal progenitors including basal radial glia (bRGs) and intermediate progenitor cells (IPCs). We found that constitutively active

Our team of scientists has experience in all areas of research including Life Science, Material Science, Chemical Synthesis, Chromatography, Analytical and many others.

Contact Technical Service