Skip to Content
MilliporeSigma

AB1987

Sigma-Aldrich

Anti-Neurofilament M (145 kDa) Antibody, CT

serum, Chemicon®

Synonym(s):

Anti-NEF3

Sign Into View Organizational & Contract Pricing

Select a Size


About This Item

UNSPSC Code:
12352203
eCl@ss:
32160702
NACRES:
NA.41
Technical Service
Need help? Our team of experienced scientists is here for you.
Let Us Assist
Technical Service
Need help? Our team of experienced scientists is here for you.
Let Us Assist

biological source

rabbit

Quality Level

conjugate

unconjugated

antibody form

serum

antibody product type

primary antibodies

clone

polyclonal

species reactivity

reptile, chicken, rat, quail, pig, human, mouse, bovine, rabbit

manufacturer/tradename

Chemicon®

technique(s)

immunocytochemistry: suitable
immunohistochemistry (formalin-fixed, paraffin-embedded sections): suitable
western blot: suitable

NCBI accession no.

UniProt accession no.

shipped in

dry ice

target post-translational modification

unmodified

Gene Information

bovine ... Nefm(281347)
chicken ... Nefm(396206)
human ... NEFM(4741)
mouse ... Nefm(18040)
rabbit ... Nefm(100009343)
rat ... Nefm(24588)

General description

145 kDa
Neurofilaments are a type of intermediate filament that serve as major elements of the cytoskeleton supporting the axon cytoplasm. They are the most abundant fibrillar components of the axon, being on average 3-10 times more frequent than axonal microtubules. Neurofilaments (10nm in dia.) are built from three intertwined protofibrils which are themselves composed of two tetrameric protofilament complexs of monomeric proteins. The neurofilament triplet proteins (68/70, 160, and 200 kDa) occur in both the central and peripheral nervous system and are usually neuron specific. The 68/70 kDa NF-L protein can self-assemble into a filamentous structure, however the 160 kDa NF-M and 200 kDa NF-H proteins require the presence of the 68/70 kDa NF-L protein to co-assemble. Neuromas, ganglioneuromas, gangliogliomas, ganglioneuroblastomas and neuroblastomas stain positively for neurofilaments. Although typically restricted to neurons, neurofilaments have been detected in paragangliomas and adrenal and extra-adrenal pheochromocytomas. Carcinoids, neuroendocrine carcinomas of the skin, and oat cell carcinomas of the lung also express neurofilaments.

Immunogen

Epitope: C-terminus
Recombinant fusion protein containing the C-terminal 168 amino acids of rat NF-M

Application

Anti-Neurofilament M (145 kDa) Antibody, C-terminus detects level of Neurofilament M (145 kDa) & has been published & validated for use in IC, IH, IH(P) & WB.
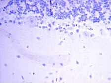
Immunohistochemistry:
A 1:200 dilution of a previous lot was used in Immunohistochemistry.
Staining is not affected by neurofilament phosphorylation. Optimal Staining With TE Buffer, pH 9.0, Epitope Retrieval: Human Cerebellum

Immunohistochemistry(paraffin):

Optimal working dilutions must be determined by end user.
Research Category
Neuroscience
Research Sub Category
Neurofilament & Neuron Metabolism

Neuronal & Glial Markers

Biochem/physiol Actions

Strong and specific staining for NF-M (145 kDa)

Physical form

Neat rabbit antiserum containing no preservative.
Unpurified

Preparation Note

Stable for 1 year at -20ºC in undiluted aliquots from date of receipt.

Handling Recommendations:
Upon receipt, and prior to removing the cap, centrifuge the vial and gently mix the solution. Aliquot into microcentrifuge tubes and store at -20°C. Avoid repeated freeze/thaw cycles, which may damage IgG and affect product performance.

Analysis Note

Control
Rat enteric neurons, rat spinal cord tissue Brain, Peripheral Nerve
Routinely evaluated by Western Blot on mouse brain lysates.

Western Blot: 1:1000 dilution of this lot detected Neurofilament M on 10 μg of mouse brain lysates..

Other Notes

Concentration: Please refer to the Certificate of Analysis for the lot-specific concentration.

Legal Information

CHEMICON is a registered trademark of Merck KGaA, Darmstadt, Germany

Disclaimer

Unless otherwise stated in our catalog or other company documentation accompanying the product(s), our products are intended for research use only and are not to be used for any other purpose, which includes but is not limited to, unauthorized commercial uses, in vitro diagnostic uses, ex vivo or in vivo therapeutic uses or any type of consumption or application to humans or animals.

Not finding the right product?  

Try our Product Selector Tool.

Storage Class

10 - Combustible liquids

wgk_germany

WGK 1

flash_point_f

Not applicable

flash_point_c

Not applicable


Certificates of Analysis (COA)

Search for Certificates of Analysis (COA) by entering the products Lot/Batch Number. Lot and Batch Numbers can be found on a product’s label following the words ‘Lot’ or ‘Batch’.

Already Own This Product?

Find documentation for the products that you have recently purchased in the Document Library.

Visit the Document Library

T G Bush et al.
Neuron, 23(2), 297-308 (1999-07-10)
Reactive astrocytes adjacent to a forebrain stab injury were selectively ablated in adult mice expressing HSV-TK from the Gfap promoter by treatment with ganciclovir. Injured tissue that was depleted of GFAP-positive astrocytes exhibited (1) a prolonged 25-fold increase in infiltration
A hereditary spastic paraplegia mutation in kinesin-1A/KIF5A disrupts neurofilament transport.
Wang, L; Brown, A
Mol. Neurodegener. null
Birth of ophthalmic trigeminal neurons initiates early in the placodal ectoderm.
Kathryn L McCabe,John W Sechrist,Marianne Bronner-Fraser
The Journal of Comparative Neurology null
Interactions between peripherin and neurofilaments in cultured cells: disruption of peripherin assembly by the NF-M and NF-H subunits.
J M Beaulieu, J Robertson, J P Julien
Biochemistry and Cell Biology = Biochimie Et Biologie Cellulaire null
Pool-specific regulation of motor neuron survival by neurotrophic support.
Lamballe, F; Genestine, M; Caruso, N; Arce, V; Richelme, S; Helmbacher, F; Maina, F
The Journal of Neuroscience null

Our team of scientists has experience in all areas of research including Life Science, Material Science, Chemical Synthesis, Chromatography, Analytical and many others.

Contact Technical Service