Skip to Content
MilliporeSigma

AB1566

Sigma-Aldrich

Anti-Substance P Antibody, pain

serum, Chemicon®

Synonym(s):

Anti-Hs.2563, Anti-NK2, Anti-NKNA, Anti-NPK, Anti-TAC2

Sign Into View Organizational & Contract Pricing

Select a Size


About This Item

UNSPSC Code:
12352203
eCl@ss:
32160702
NACRES:
NA.41
Technical Service
Need help? Our team of experienced scientists is here for you.
Let Us Assist
Technical Service
Need help? Our team of experienced scientists is here for you.
Let Us Assist

biological source

rabbit

Quality Level

conjugate

unconjugated

antibody form

serum

antibody product type

primary antibodies

clone

polyclonal

species reactivity

human, mouse, rat

manufacturer/tradename

Chemicon®

technique(s)

immunohistochemistry: suitable (paraffin)
radioimmunoassay: suitable

NCBI accession no.

UniProt accession no.

shipped in

dry ice

target post-translational modification

unmodified

Gene Information

human ... TAC1(6863)

General description

Substance P is a tachykinin family neuropeptide that functions as a neurotransmitter and neuromodulator. In the CNS, Substance P is involved in the regulation of mood, anxiety, sleep, saiety, reinforcement, respiratory rhythm and pain processing. In nociception, the neuropeptide is released at local spinal cord synapse. Recent research now shows substance P is potentially involved in endothelial cell differentiation as well as diverse roles in neuroinflammatory response. The endogenous receptor for Substance P is neurokinin 1 receptor (NK1 receptor), which belongs to the tachykinin receptor sub-family of GPCRs.

Application

RIA:
1:10,000 dilution from a previous lot was used in radioimmunioassay. 80% binding detects at least 5 pg/mL.

Optimal working dilutions must be determined by the end user.
Research Category
Neuroscience
Research Sub Category
Neuroinflammation & Pain
This Anti-Substance P Antibody, pain is validated for use in IH(P), RIA for the detection of Substance P.

Biochem/physiol Actions

Substance P

Physical form

Rabbit polyclonal serum containing 0.1% sodium azide.
Unpurified

Preparation Note

Stable for 1 year at -20ºC from date of receipt.

Analysis Note

Control
Spinal Cord.
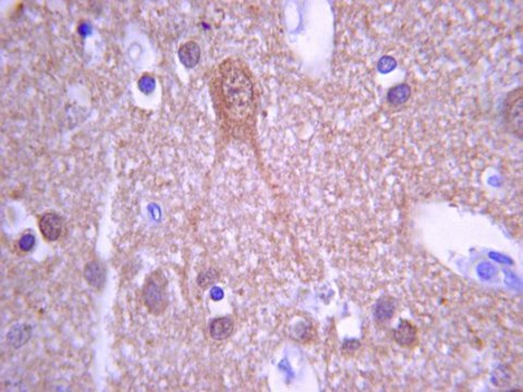
Immunohistochemistry(paraffin):
Substance P (AB1566) representative staining pattern/morphology in Alzheimer’s brain. Tissue pretreated with Citrate pH6.0, antigen retrieval. Antibody diluted to 1:100.
IHC-Paraffin Staining With Citrate pH 6.0 Epitope Retrieval: Alzheimer’s Brain.

Other Notes

Concentration: Please refer to the Certificate of Analysis for the lot-specific concentration.

Legal Information

CHEMICON is a registered trademark of Merck KGaA, Darmstadt, Germany

Disclaimer

Unless otherwise stated in our catalog or other company documentation accompanying the product(s), our products are intended for research use only and are not to be used for any other purpose, which includes but is not limited to, unauthorized commercial uses, in vitro diagnostic uses, ex vivo or in vivo therapeutic uses or any type of consumption or application to humans or animals.

Not finding the right product?  

Try our Product Selector Tool.

Storage Class

10 - Combustible liquids

wgk_germany

WGK 1


Certificates of Analysis (COA)

Search for Certificates of Analysis (COA) by entering the products Lot/Batch Number. Lot and Batch Numbers can be found on a product’s label following the words ‘Lot’ or ‘Batch’.

Already Own This Product?

Find documentation for the products that you have recently purchased in the Document Library.

Visit the Document Library

Aristea Sideri et al.
Cellular and molecular gastroenterology and hepatology, 1(4), 420-432 (2015-11-07)
Substance P (SP), neurokinin-1 receptors (NK-1Rs) are expressed in mesenteric preadipocytes and SP binding activates proinflammatory signalling in these cells. We evaluated the expression levels of SP (Tac-1), NK-1R (Tacr-1), and NK-2R (Tacr-2) mRNA in preadipocytes isolated from patients with
Distribution of Neuropeptides in Endocrine and Exocrine Pancreas of Long-Legged Buzzard (Buteo rufinus): An Immunohistochemical Study.
Bayrakdar A, Yaman M, Atalar O, Tarakci BG, Ceribasi S
Regulatory Peptides null
Immunoneutralization of substance P attenuates the reflex pressor response to muscular contraction.
Kaufman, M P, et al.
Brain Research, 377, 199-203 (1986)
Nociceptive neuropeptide increases and periorbital allodynia in a model of traumatic brain injury.
Melanie B Elliott,Michael L Oshinsky,Peter S Amenta,Olatilewa O Awe,Jack I Jallo
Headache null
Andreas Hald et al.
European journal of pain (London, England), 13(2), 138-145 (2008-05-24)
Activation of spinal cord microglia and astrocytes is a common phenomenon in nerve injury pain models and is thought to exacerbate pain perception. Following a nerve injury, a transient increase in the presence of microglia takes place while the increased

Our team of scientists has experience in all areas of research including Life Science, Material Science, Chemical Synthesis, Chromatography, Analytical and many others.

Contact Technical Service