Skip to Content
MilliporeSigma

AB15552

Sigma-Aldrich

Anti-AT1 Receptor Antibody

Chemicon®, from rabbit

Synonym(s):

Angiotensin II receptory type 1, AGTR1

Sign Into View Organizational & Contract Pricing

Select a Size


About This Item

UNSPSC Code:
12352203
eCl@ss:
32160702
NACRES:
NA.41
Technical Service
Need help? Our team of experienced scientists is here for you.
Let Us Assist
Technical Service
Need help? Our team of experienced scientists is here for you.
Let Us Assist

biological source

rabbit

Quality Level

conjugate

unconjugated

antibody form

affinity isolated antibody

antibody product type

primary antibodies

clone

polyclonal

species reactivity

mouse, rat, human

manufacturer/tradename

Chemicon®

technique(s)

flow cytometry: suitable
immunocytochemistry: suitable
immunohistochemistry: suitable
western blot: suitable

UniProt accession no.

shipped in

wet ice

target post-translational modification

unmodified

Gene Information

human ... AGTR1(185)

Related Categories

Immunogen

Purified peptide from the N-terminus of human AT1 Receptor (Accession number P30556).

Application

Anti-AT1 Receptor Antibody detects level of AT1 Receptor & has been published & validated for use in FC, IC, IH & WB.
Research Category
Neuroscience
Research Sub Category
CNS Control of Metabolism

Hormones & Receptors
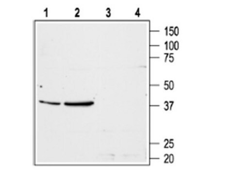
Western blot: 1:200-1:500 using ECL on rat liver, rat kidney, mouse heart and mouse kidney lysate.
Immunohistochemistry on rat brain sections.
Immunocytochemistry: 1:100
Flow cytometry, indirect: 5-10 µg of antibody /1 x 106 cells
Dilutions should be made using a carrier protein such as BSA (1-3%).
Optimal working dilutions must be determined by the end user.

Biochem/physiol Actions

Recognizes AT1 Receptor (Angiotensin II receptory type 1, AGTR1).
The immunogen sequence is identical in canine.

Physical form

Format: Purified
ImmunoAffinity Purified
Lyophilized from phosphate buffered saline, pH 7.4, containing 1% BSA, and 0.05% sodium azide as a preservative. Reconstitute with 50 μL of sterile deionized water. Centrifuge antibody preparation before use (10,000 xg for 5 min).

Preparation Note

Maintain lyophilized material at -20°C for up to 12 months after date of receipt. After reconstitution maintain at -20°C in undiluted aliquots for up to 6 months. Avoid repeated freeze/thaw cycles.

Analysis Note

Control
Included free of charge with the antibody is 40 µg of control antigen (lyophilized powder). The stock solution of the antigen can be made up using 100 µL of sterile deionized water. For negative control, preincubate 1 µg of peptide with 1 µg of antibody for one hour at room temperature. Optimal concentrations must be determined by the end user.

Legal Information

CHEMICON is a registered trademark of Merck KGaA, Darmstadt, Germany

Disclaimer

Unless otherwise stated in our catalog or other company documentation accompanying the product(s), our products are intended for research use only and are not to be used for any other purpose, which includes but is not limited to, unauthorized commercial uses, in vitro diagnostic uses, ex vivo or in vivo therapeutic uses or any type of consumption or application to humans or animals.

Not finding the right product?  

Try our Product Selector Tool.

hcodes

Hazard Classifications

Aquatic Chronic 3

Storage Class

11 - Combustible Solids

wgk_germany

WGK 3


Certificates of Analysis (COA)

Search for Certificates of Analysis (COA) by entering the products Lot/Batch Number. Lot and Batch Numbers can be found on a product’s label following the words ‘Lot’ or ‘Batch’.

Already Own This Product?

Find documentation for the products that you have recently purchased in the Document Library.

Visit the Document Library

Francielle Graus-Nunes et al.
World journal of hepatology, 11(4), 359-369 (2019-05-23)
Obesity has been associated with hepatic overexpression of the renin-angiotensin system (RAS). To evaluate the action of two angiotensin II (ANGII) receptor blockers (losartan or telmisartan) on the modulation of local hepatic RAS and the resulting metabolic effects in a
Julius Benicky et al.
Cellular and molecular neurobiology, 32(8), 1353-1365 (2012-07-31)
Commercially available Angiotensin II AT1 receptor antibodies are widely employed for receptor localization and quantification, but they have not been adequately validated. In this study, six commercially available AT1 receptor antibodies were characterized by established criteria: sc-1173 and sc-579 from
Francine Duchatsch et al.
Journal of the American Society of Hypertension : JASH, 12(8), 605-613 (2018-06-28)
Hypertension is one of the chronic side effects of dexamethasone (DEX) treatment; however, almost nothing is known about its acute effects. Therefore, the aim of this study was to investigate the possible mechanisms involved in blood pressure control after acute
Chien-Ning Hsu et al.
Nutrients, 11(12) (2019-12-08)
Hypertension can originate in early life caused by perinatal high-fat (HF) consumption. Gut microbiota and their metabolites short chain fatty acids (SCFAs), trimethylamine (TMA), and trimethylamine N-oxide (TMAO) are involved in the development of hypertension. Despite the beneficial effects of
Chien-Ning Hsu et al.
International journal of molecular sciences, 19(8) (2018-08-22)
Hypertension can originate from early-life adverse environmental in utero exposure to dexamethasone (DEX) or 2,3,7,8-tetrachlorodibenzo-p-dioxin (TCDD). Since DEX and TCDD are related to the aryl hydrocarbon receptor (AHR) signaling pathway, we examined whether resveratrol, an AHR modulator and antioxidant, could

Our team of scientists has experience in all areas of research including Life Science, Material Science, Chemical Synthesis, Chromatography, Analytical and many others.

Contact Technical Service