Skip to Content
MilliporeSigma

AB1543P

Sigma-Aldrich

Anti-Synapsin I Antibody

Chemicon®, from rabbit

Synonym(s):

Synapsin-1

Sign Into View Organizational & Contract Pricing

Select a Size


About This Item

UNSPSC Code:
12352203
eCl@ss:
32160702
NACRES:
NA.41
Technical Service
Need help? Our team of experienced scientists is here for you.
Let Us Assist
Technical Service
Need help? Our team of experienced scientists is here for you.
Let Us Assist

biological source

rabbit

Quality Level

conjugate

unconjugated

antibody form

affinity purified immunoglobulin

antibody product type

primary antibodies

clone

polyclonal

species reactivity

human, mouse, rat, bovine

manufacturer/tradename

Chemicon®

technique(s)

ELISA: suitable
immunocytochemistry: suitable
immunohistochemistry (formalin-fixed, paraffin-embedded sections): suitable
immunoprecipitation (IP): suitable
western blot: suitable

NCBI accession no.

UniProt accession no.

shipped in

dry ice

target post-translational modification

unmodified

Gene Information

human ... SYN1(6853)

General description

77 & 80 kDa
The synapsins are a family of proteins that have long been implicated in the regulation of neurotransmitter release at synapses. Specifically, they are thought to be involved in regulating the number of synaptic vesicles available for release via exocytosis at any one time. Synapsins are encoded by three different genes, synapsin I, II and III, and different neuron terminals will encode different amounts of these; synapsin will make up 1% of total brain protein at any one time.
Current studies suggest the following hypothesis for the role of synapsin: synapsins bind synaptic vesicles to components of the cytoskeleton which prevents them from migrating to the presynaptic membrane and releasing transmitter. During an action potential, synapsins are phosphorylated by Ca2+/calmodulin-dependent protein kinase II, releasing the synaptic vesicles and allowing them to move to the membrane and release their neurotransmitter.

Immunogen

Synapsin I (mixture of Ia & Ib) purified from bovine brain.

Application

Research Category
Neuroscience
Research Sub Category
Synapse & Synaptic Biology
This Anti-Synapsin I Antibody is validated for use in ELISA, IC, IH, IH(P), IP, WB for the detection of Synapsin I.
Western blotting:
1:200-1:1,000 dilution of a previous lot was used.

Immunocytochemistry:
1:500-1:2,000 dilution of a previous lot was used.

Immunoprecipitation:
1 μg of a previous lot immunoprecipitated all of the synapsin I from a SDS homogenate of 200 μg of rat brain protein.

Note: The above dilutions are with 35S-protein A; with ECL dilutions may need to be considerably higher to obtain specific immunolabeling.

Immunohistochemistry:
1:500-1:2,500

ELISA:
1:2,500-1:10,00

Optimal working dilutions must be determined by the end user.

Biochem/physiol Actions

Synapsin I (Mr of 80,000 and 77,000). Synapsin is located only in brain nerve terminal and is an excellent marker for synapes. Immunolabeling is blocked by preadsorption of the antibody with synapsin I.

Physical form

Format: Purified
ImmunoAffinity Purified
Purified rabbit polyclonal in buffer lyophilized from 5 mM ammonium bicarbonate. Reconstitute with 50 μL of PBS.

Preparation Note

Stable for 1 year at -20ºC from date of receipt.

Analysis Note

Control
Brain tissue.
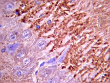
Immunohistochemistry(paraffin):
Synapsin I (AB1543P) representative staining pattern/morphology in rat hippocampal neurons. Tissue was pretreated with Citrate pH 6.0, antigen retrieval. This lot of antibody was diluted to 1:1000, IHC-Select reagents used with HRP-DAB. Immunoreactivity is seen directly associated with terminal end of neuronal cell body.
IHC-Paraffin Staining With Epitope Retrieval:
Rat Hippocampus

Other Notes

Concentration: Please refer to the Certificate of Analysis for the lot-specific concentration.
Replaces: MAB355

Legal Information

CHEMICON is a registered trademark of Merck KGaA, Darmstadt, Germany

Disclaimer

Unless otherwise stated in our catalog or other company documentation accompanying the product(s), our products are intended for research use only and are not to be used for any other purpose, which includes but is not limited to, unauthorized commercial uses, in vitro diagnostic uses, ex vivo or in vivo therapeutic uses or any type of consumption or application to humans or animals.

Not finding the right product?  

Try our Product Selector Tool.

Storage Class

11 - Combustible Solids

wgk_germany

WGK 1


Certificates of Analysis (COA)

Search for Certificates of Analysis (COA) by entering the products Lot/Batch Number. Lot and Batch Numbers can be found on a product’s label following the words ‘Lot’ or ‘Batch’.

Already Own This Product?

Find documentation for the products that you have recently purchased in the Document Library.

Visit the Document Library

M P Cid et al.
Neuroscience, 189, 337-344 (2011-06-04)
We previously found that the glutamate release was decreased in synaptosomes from rat cerebral cortex during the development of experimental autoimmune encephalomyelitis (EAE), the animal model of multiple sclerosis. Various other reports have shown a deficit in the expression of
LRRTMs and neuroligins bind neurexins with a differential code to cooperate in glutamate synapse development.
Siddiqui TJ, Pancaroglu R, Kang Y, Rooyakkers A, Craig AM
The Journal of Neuroscience null
Ling Li et al.
PloS one, 5(7), e11503-e11503 (2010-07-17)
Proper function of the mammalian brain relies on the establishment of highly specific synaptic connections among billions of neurons. To understand how complex neural circuits function, it is crucial to precisely describe neuronal connectivity and the distributions of synapses to
Diffuse and specific tectopulvinar terminals in the tree shrew: synapses, synapsins, and synaptic potentials.
Wei, H; Masterson, SP; Petry, HM; Bickford, ME
Testing null
Eric Wersinger et al.
PloS one, 5(11), e13836-e13836 (2010-11-17)
Outer hair cells are the specialized sensory cells that empower the mammalian hearing organ, the cochlea, with its remarkable sensitivity and frequency selectivity. Sound-evoked receptor potentials in outer hair cells are shaped by both voltage-gated K(+) channels that control the

Our team of scientists has experience in all areas of research including Life Science, Material Science, Chemical Synthesis, Chromatography, Analytical and many others.

Contact Technical Service