Skip to Content
MilliporeSigma

AB152

Sigma-Aldrich

Anti-Tyrosine Hydroxylase Antibody

CHEMICON®, rabbit polyclonal

Synonym(s):

Tyrosine 3-hydroxylase, Tyrosine 3-monooxygenase, tyrosine hydroxylase, TH

Sign Into View Organizational & Contract Pricing

Select a Size


About This Item

UNSPSC Code:
12352203
eCl@ss:
32160702
NACRES:
NA.41
Technical Service
Need help? Our team of experienced scientists is here for you.
Let Us Assist
Technical Service
Need help? Our team of experienced scientists is here for you.
Let Us Assist

Product Name

Anti-Tyrosine Hydroxylase Antibody, Chemicon®, from rabbit

biological source

rabbit

Quality Level

antibody form

affinity isolated antibody

antibody product type

primary antibodies

clone

polyclonal

purified by

affinity chromatography

species reactivity

human, mollusk, feline, ferret, Aplysia (marine mollusc), rat, squid, Drosophila, mouse

manufacturer/tradename

Chemicon®

technique(s)

ELISA: suitable
immunofluorescence: suitable
immunohistochemistry (formalin-fixed, paraffin-embedded sections): suitable
immunoprecipitation (IP): suitable
western blot: suitable

NCBI accession no.

UniProt accession no.

shipped in

dry ice

target post-translational modification

unmodified

Gene Information

human ... TH(7054)
rat ... Th(25085)

General description

62 kDa
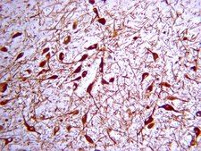
Tyrosine hydroxylase (also know as Tyrosine 3-hydroxylase and Tyrosine 3-monooxygenase) plays an important role in the physiology of adrenergic neurons. It is the first and rate-limiting enzyme involved in the biosynthesis of the catecholamines Dopamine and Norepinephrine from tyrosine. TH is, therefore, a useful marker for dopaminergic and noradrenergic neurons. The enzymatic activity of TH requires ferrous ions as cofactors and is believed to be regulated by phosphorylation. At least four isoforms of human TH have been identified which result from alternative splicing.

Immunogen

Denatured tyrosine hydroxylase from rat pheochromocytoma (denatured by sodium dodecyl sulfate).

Application

Anti-Tyrosine Hydroxylase Antibody detects level of TH and has been published and validated for use in ELISA, IF, IH, IH(P), IP and WB.
Immunohistochemistry:
A previous lot of this antibody was uesd at 1:100-1:1,000 dilution, 4°C, for 1-3 days. Stains both fresh frozen and paraffin embedded tissue samples by indirect immunofluorescence and immunoperoxidase.

Immunofluorescence:
A previous lot of this antibody was used at 1:100-1:1,000 dilution.

Immunoprecipitation:
A previous lot of this antibody was used on Immunoprecipitation.

ELISA:
A previous lot of this antibody was used in ELISA.

Optimal dilutions must be determined by the end user.
Research Category
Neuroscience
Research Sub Category
Neurotransmitters & Receptors

Neuronal & Glial Markers

Biochem/physiol Actions

Anti-Tyrosine Hydroxylase Antibodies react with most mammalian and many non-mammalian species. It has been reported that this antibody does not work on paraffin-embedded human tissue
Tyrosine hydroxylase. By western blot, AB152 selective labels a single band at approximately 62kDa (reduced) corresponding to Tyrosine Hydroxylase. It is expected that the antibody will react with most mammalian and many non-mammalian species. It has been reported that this antibody does not work on paraffin embedded human tissue.

Physical form

Affinity purified
Purified rabbit polyclonal in buffer containing liquid in 10 mM HEPES (pH 7.5), 150 mM NaCl (pH 7.5), 100 ug/mL BSA and 50% glycerol.

Preparation Note

Maintain frozen at -20ºC to -70ºC in undiluted aliquots for up to 6 months after date of receipt. Avoid repeated freeze/thaw cycles. Do not store in a self defrosting freezer.

Analysis Note

Control
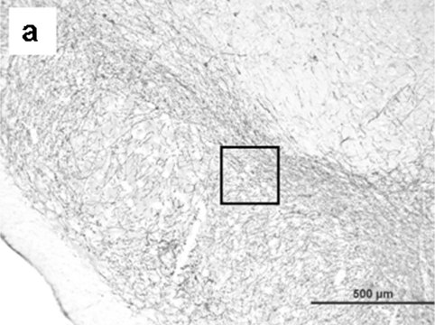
POSITIVE CONTROL: Brain (corpus striatum, sympathetic nerve terminals) and adrenal glands.
NEGATATIVE CONTROL: Liver.
Routinely evaluated by Western Blot on PC12 lysates.

Western Blot Analysis:
1:1000 dilution of this lot detected tyrosine hydroxylase on 10 μg of PC12 lysates.

Legal Information

CHEMICON is a registered trademark of Merck KGaA, Darmstadt, Germany

Disclaimer

Unless otherwise stated in our catalog or other company documentation accompanying the product(s), our products are intended for research use only and are not to be used for any other purpose, which includes but is not limited to, unauthorized commercial uses, in vitro diagnostic uses, ex vivo or in vivo therapeutic uses or any type of consumption or application to humans or animals.

Not finding the right product?  

Try our Product Selector Tool.

Storage Class

10 - Combustible liquids

wgk_germany

WGK 1


Certificates of Analysis (COA)

Search for Certificates of Analysis (COA) by entering the products Lot/Batch Number. Lot and Batch Numbers can be found on a product’s label following the words ‘Lot’ or ‘Batch’.

Already Own This Product?

Find documentation for the products that you have recently purchased in the Document Library.

Visit the Document Library

alpha-synuclein transgenic mice reveal compensatory increases in Parkinson's disease-associated proteins DJ-1 and Parkin and have enhanced alpha-synuclein and PINK1 levels after rotenone treatment.
George S, Mok SS, Nurjono M, Ayton S, Finkelstein DI, Masters CL, Li QX, Culvenor JG
Journal of Molecular Neuroscience null
Androgenic and oestrogenic influences on tyrosine hydroxylase-immunoreactive cells of the prairie vole medial amygdala and bed nucleus of the stria terminalis.
Cavanaugh BL, Lonstein JS
Journal of Neuroendocrinology null
Social novelty increases tyrosine hydroxylase immunoreactivity in the extended olfactory amygdala of female prairie voles.
Cavanaugh BL, Lonstein JS
Physiology & Behavior null
Foxa1 and Foxa2 regulate multiple phases of midbrain dopaminergic neuron development in a dosage-dependent manner.
Ferri, AL; Lin, W; Mavromatakis, YE; Wang, JC; Sasaki, H; Whitsett, JA; Ang, SL
Development null
Axon guidance of mouse olfactory sensory neurons by odorant receptors and the beta2 adrenergic receptor.
Feinstein, P; Bozza, T; Rodriguez, I; Vassalli, A; Mombaerts, P
Cell null

Articles

Human iPSC neural differentiation media and protocols used to generate neural stem cells, neurons and glial cell types.

Antibodies combine with specific antigens to generate an exclusive antibody-antigen complex. Learn about the nature of this bond and its use as a molecular tag for research.

Learn differences in monoclonal vs polyclonal antibodies including how antibodies are generated, clone numbers, and antibody formats.

Immunofluorescence uses antibody-conjugated fluorescent molecules for protein localization, modification confirmation, and protein complex visualization.

See All

Protocols

Tips and troubleshooting for FFPE and frozen tissue immunohistochemistry (IHC) protocols using both brightfield analysis of chromogenic detection and fluorescent microscopy.

Related Content

There’s so much room for experimental variability in traditional immunodetection workflows. For your peace of mind – and ours – we designed the SNAP i.d.® 2.0 system to streamline your Western blot and immunohistochemistry experiments. The concept is simple: a vacuum-driven flow of blocking, antibody, and washing solutions reduces slide and membrane handling. That means a lot less shaking, dipping, pouring and waiting. And now you can process multiple blots and slides in parallel, so it’s easy to apply consistent conditions across experiments.

Find protein research tools to prepare, isolate, and analyze proteins. Organized by how to extract, protect, purify, enrich, modify, and quantify proteins.

Our team of scientists has experience in all areas of research including Life Science, Material Science, Chemical Synthesis, Chromatography, Analytical and many others.

Contact Technical Service