Skip to Content
MilliporeSigma

AB10557

Sigma-Aldrich

Anti-Lhx2 Antibody

from rabbit, purified by affinity chromatography

Synonym(s):

Homeobox protein LH-2, LIM HOX gene 2, LIM homeobox 2, LIM homeobox protein 2

Sign Into View Organizational & Contract Pricing

Select a Size


About This Item

UNSPSC Code:
12352203
eCl@ss:
32160702
NACRES:
NA.41
Technical Service
Need help? Our team of experienced scientists is here for you.
Let Us Assist
Technical Service
Need help? Our team of experienced scientists is here for you.
Let Us Assist

biological source

rabbit

Quality Level

conjugate

unconjugated

antibody form

affinity purified immunoglobulin

antibody product type

primary antibodies

clone

polyclonal

purified by

affinity chromatography

species reactivity

human

species reactivity (predicted by homology)

horse, bovine (93%), dog

technique(s)

immunohistochemistry: suitable

NCBI accession no.

UniProt accession no.

shipped in

wet ice

target post-translational modification

unmodified

Gene Information

human ... LHX2(9355)

General description

Approx. 44 kDa
LIM homeobox 2, also known as LHX2, is a gene that belongs to the LIM homeobox family. These genes seem to play an important role in asymmetric cell division, tissue specification and differentiation of specific cell types. LHX2 is expressed in developing B-cells, the forebrain, liver, during embryonic development when limbs and organs are developing, in the optic stalk, and olfactory epithelia. Studies have shown that under-expression of LHX2 during embryonic development causes hepatic fibrosis.

Immunogen

This antibody is generated from rabbits immunized with a KLH conjugated linear peptide selected from residues of human LHX2.

Application

This Anti-Lhx2 Antibody is validated for use in IH for the detection of Lhx2.

Biochem/physiol Actions

Mouse (80%) homology.
This antibody recognizes LHX2.

Analysis Note

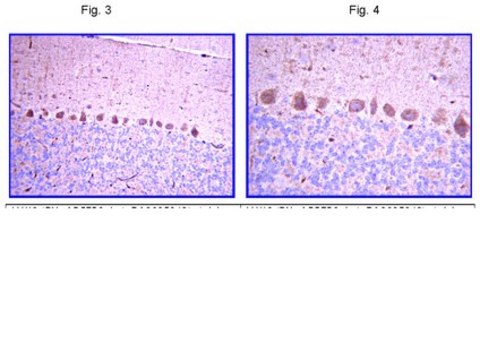
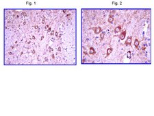
Control
Human hippocampal and mouse cerebellum tissue.
Evaluated by Immunohistochemistry in human hippocampal and mouse cerebellum tissue.
Immunohistochemistry Analysis: 1:100-500 dilution of this lot detected LHX2 in human hippocampal tissue and mouse cerebellum.

Other Notes

Concentration: Please refer to the Certificate of Analysis for the lot-specific concentration.

Not finding the right product?  

Try our Product Selector Tool.

Storage Class

12 - Non Combustible Liquids

wgk_germany

WGK 1

flash_point_f

Not applicable

flash_point_c

Not applicable


Certificates of Analysis (COA)

Search for Certificates of Analysis (COA) by entering the products Lot/Batch Number. Lot and Batch Numbers can be found on a product’s label following the words ‘Lot’ or ‘Batch’.

Already Own This Product?

Find documentation for the products that you have recently purchased in the Document Library.

Visit the Document Library

Development of retinal pigment epithelium from human parthenogenetic embryonic stem cells and microRNA signature.
Li, WB; Zhang, YS; Lu, ZY; Dong, LJ; Wang, FE; Dong, R; Li, XR
Investigative Ophthalmology & Visual Science null
Jin-Chong Xu et al.
Science translational medicine, 8(333), 333ra48-333ra48 (2016-04-08)
Translating neuroprotective treatments from discovery in cell and animal models to the clinic has proven challenging. To reduce the gap between basic studies of neurotoxicity and neuroprotection and clinically relevant therapies, we developed a human cortical neuron culture system from

Our team of scientists has experience in all areas of research including Life Science, Material Science, Chemical Synthesis, Chromatography, Analytical and many others.

Contact Technical Service