Skip to Content
MilliporeSigma

AB1032

Sigma-Aldrich

Anti-Versican Antibody, a.a. 535-598 of mouse versican

Chemicon®, from rabbit

Synonym(s):

GAG alpha Domain

Sign Into View Organizational & Contract Pricing

Select a Size


About This Item

UNSPSC Code:
12352203
eCl@ss:
32160702
NACRES:
NA.41
Technical Service
Need help? Our team of experienced scientists is here for you.
Let Us Assist
Technical Service
Need help? Our team of experienced scientists is here for you.
Let Us Assist

biological source

rabbit

Quality Level

conjugate

unconjugated

antibody form

affinity purified immunoglobulin

antibody product type

primary antibodies

clone

polyclonal

species reactivity

mouse

manufacturer/tradename

Chemicon®

technique(s)

immunohistochemistry: suitable (paraffin)
immunoprecipitation (IP): suitable
western blot: suitable

NCBI accession no.

UniProt accession no.

shipped in

dry ice

target post-translational modification

unmodified

Gene Information

human ... VCAN(1462)

General description

Versican is a large multi-domain chondroitin sulphate proteoglycan, is secreted by fibroblasts and other types of cells. It has a N-terminal hyaluronic acid (HA) binding domain. This domain has homology with the G1 and G2 domains of aggrecan, (G1 is the hyaluronic acid binding region), to cartilage link protein which stabilizes the binding of aggrecan to hyaluronic acid, and, to the hyaluronate receptor CD44. In addition, versican also has a lectin like domain, a C-terminal compliment repeat, and two EGF-like repeats, all of which can be found in aggrecan., Versican has an apparent molecular mass of ca. 1000 kDa, of which the core contributes 400 kDa from the 2409 amino acids, and the 12 -15 covalently attached chondroitin sulphate chains make up the rest.

Immunogen

Epitope: a.a. 535-598 of mouse versican
GST fusion protein containing amino acids 535-598 of mouse versican.

Application

Immunohistochemistry (formalin fixed, paraffin embedded): 10 μg/mL. Tissues must be treated with Chondroitinase before staining {0.5U/mL in 100mM Tris-HCL pH 7.2-7.4, 30 minutes at room temperature} Then block and stain.

Western blotting: 0.5 μg/mL

Immunoprecipitation

Optimal working dilutions must be determined by the end user.
Research Category
Cell Structure
Research Sub Category
ECM Proteins
This Anti-Versican Antibody, a.a. 535-598 of mouse versican is validated for use in IP, WB, IH(P) for the detection of Versican.

Biochem/physiol Actions

Mouse versican GAG alpha domain

Physical form

Format: Purified
Immunoglobulin was purified by affinity chromatography and is presented in PBS with no preservative Anti-GST has not been adsorbed.

Preparation Note

Maintain at -20°C in undiluted aliquots for up to 12 months after date of receipt. Avoid repeated freeze/thaw cycles.

Analysis Note

Control
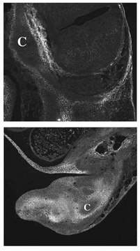
Immunohistochemistry Positive control: surrounding cartilage, neural tube / brainWestern blotting positive control: newborn mouse brain

Other Notes

Concentration: Please refer to the Certificate of Analysis for the lot-specific concentration.

Legal Information

CHEMICON is a registered trademark of Merck KGaA, Darmstadt, Germany

Disclaimer

Unless otherwise stated in our catalog or other company documentation accompanying the product(s), our products are intended for research use only and are not to be used for any other purpose, which includes but is not limited to, unauthorized commercial uses, in vitro diagnostic uses, ex vivo or in vivo therapeutic uses or any type of consumption or application to humans or animals.

Not finding the right product?  

Try our Product Selector Tool.

Storage Class

12 - Non Combustible Liquids

wgk_germany

WGK 2

flash_point_f

Not applicable

flash_point_c

Not applicable


Certificates of Analysis (COA)

Search for Certificates of Analysis (COA) by entering the products Lot/Batch Number. Lot and Batch Numbers can be found on a product’s label following the words ‘Lot’ or ‘Batch’.

Already Own This Product?

Find documentation for the products that you have recently purchased in the Document Library.

Visit the Document Library

Adamts5 deletion blocks murine dermal repair through CD44-mediated aggrecan accumulation and modulation of transforming growth factor ?1 (TGF?1) signaling.
Jennifer Velasco,Jun Li,Luisa DiPietro,Mary Ann Stepp,John D Sandy,Anna Plaas
The Journal of Biological Chemistry null
Murine tendon function is adversely affected by aggrecan accumulation due to the knockout of ADAMTS5.
Vincent M Wang,Rebecca M Bell,Ruchir Thakore,David R Eyre,Jorge O Galante,Jun Li et al.
Journal of Orthopaedic Research : Official Publication of the Orthopaedic Research Society null
Sabrina Hsiung et al.
Scientific reports, 8(1), 7530-7530 (2018-05-16)
The mechanisms responsible for macrovascular complications in diabetes remain to be fully understood. Recent studies have identified impaired vascular repair as a possible cause of plaque vulnerability in diabetes. This notion is supported by observations of a reduced content of
Distribution and processing of a disintegrin and metalloproteinase with thrombospondin motifs-4, aggrecan, versican, and hyaluronan in equine digital laminae.
Pawlak, E; Wang, L; Johnson, PJ; Nuovo, G; Taye, A; Belknap, JK; Alfandari, D; Black, SJ
American Journal of Veterinary Research null
Expression of a novel versican variant in dorsal root ganglia from spared nerve injury rats.
Oliver Bogen et al.
Molecular pain, 15, 1744806919874557-1744806919874557 (2019-08-21)

Our team of scientists has experience in all areas of research including Life Science, Material Science, Chemical Synthesis, Chromatography, Analytical and many others.

Contact Technical Service