71186
YeastBuster Protein Extraction Reagent
Efficient extraction of protein from yeast without mechanical disruption and enzymatic lysis
Synonym(s):
Yeast protein extraction reagent
Select a Size
About This Item
form
liquid
manufacturer/tradename
Novagen®
storage condition
OK to freeze
shipped in
wet ice
Related Categories
General description



Efficient extraction of protein from yeast without mechanical disruption and enzymatic lysis
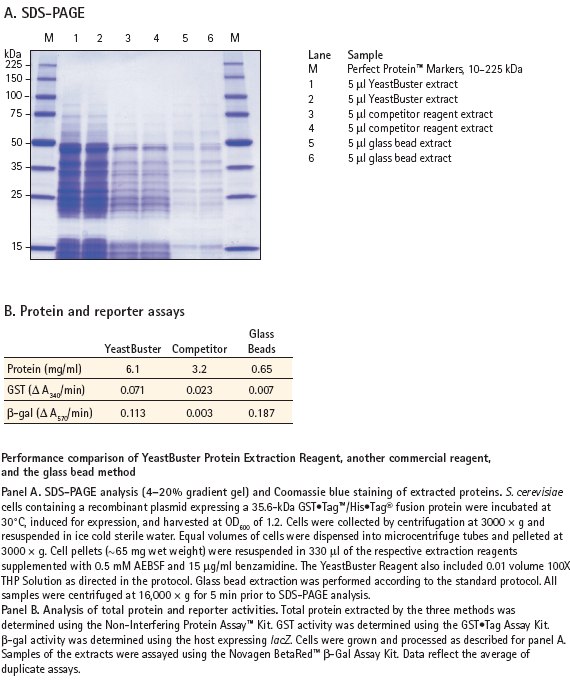
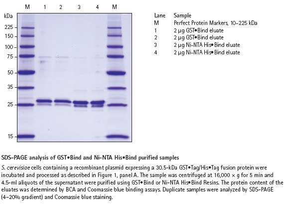
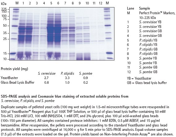
In practice, cells are harvested by centrifugation and suspended in YeastBuster. Following a brief incubation, insoluble cell debris is removed by centrifugation, and the clarified extract is ready to use. In addition to greater total protein yields in crude extracts and recovery of enzymatically active protein, the extracts are fully compatible with GST•Bind<TMSYMBOL></TMSYMBOL> and Ni-NTA HIS-BIND® immobilized metal affinity chromatography (IMAC) purification methods. The reagent is available in 100- and 500-ml sizes.
Features and Benefits
- Gentle, rapid, efficient extraction of proteins from yeast cells
- Eliminates the inconsistencies associated with abrasive grinding, ultrasonication, and pressure disruption of yeast cells
- Higher yield of total and enzymatically active proteins
- Fully compatible with Ni-NTA His•Bind and GST•Bind affinity purification methods
Other Notes
•1 ml or 5 ml100X THP Solution
Legal Information
Disclaimer
signalword
Warning
hcodes
pcodes
Hazard Classifications
STOT RE 2 Oral
target_organs
Kidney
Storage Class
12 - Non Combustible Liquids
wgk_germany
WGK 2
flash_point_c
Not applicable
Certificates of Analysis (COA)
Search for Certificates of Analysis (COA) by entering the products Lot/Batch Number. Lot and Batch Numbers can be found on a product’s label following the words ‘Lot’ or ‘Batch’.
Already Own This Product?
Find documentation for the products that you have recently purchased in the Document Library.
Articles
YeastBuster™ Protein Extraction Reagent for Fast, Efficient Extraction of Proteins from Yeast
Related Content
Cell lysis and protein extraction methods overview various techniques, from detergent solubilization to mechanical disruption, supporting research needs.
Los métodos de lisis celular y extracción de proteínas abarcan varias técnicas, desde la solubilización de detergentes hasta la ruptura mecánica, que respaldan las necesidades de investigación.
Our team of scientists has experience in all areas of research including Life Science, Material Science, Chemical Synthesis, Chromatography, Analytical and many others.
Contact Technical Service