14-452-M
PDK1 Protein, active, 10 µg
Active, N-terminal, His6-tagged, recombinant human PDK1, amino acids 52-end. For use in Kinase Assays.
Select a Size
About This Item
biological source
human
Quality Level
recombinant
expressed in baculovirus infected Sf21 cells
product line
Upstate®
specific activity
(For Specific Activity data, refer to the Certificate of Analysis for individual lots of this enzyme.)
mol wt
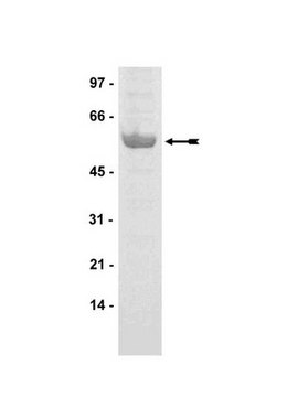
Mw 59 kDa
purified by
(Ni2+/NTA-agarose)
species reactivity
human
manufacturer/tradename
Upstate®
technique(s)
activity assay: suitable (kinase)
accession no.
(FUNCTION: SwissProt: O15530 # Phosphorylates and activates not only PKB/AKT, but also PKA, PKC-zeta, RPS6KA1 and RPS6KB1. May play a general role in signaling processes and in development (By similarity). Isoform 3 is catalytically inactive. )
NM_002613.3
NCBI accession no.
UniProt accession no.
Gene Information
human ... PDPK1(5170)
General description
Biochem/physiol Actions
Packaging
Physical form
Preparation Note
Analysis Note
Other Notes
Legal Information
Disclaimer
signalword
Warning
hcodes
Hazard Classifications
Skin Sens. 1
Storage Class
12 - Non Combustible Liquids
wgk_germany
WGK 1
flash_point_c
Not applicable
Certificates of Analysis (COA)
Search for Certificates of Analysis (COA) by entering the products Lot/Batch Number. Lot and Batch Numbers can be found on a product’s label following the words ‘Lot’ or ‘Batch’.
Already Own This Product?
Find documentation for the products that you have recently purchased in the Document Library.
Our team of scientists has experience in all areas of research including Life Science, Material Science, Chemical Synthesis, Chromatography, Analytical and many others.
Contact Technical Service