Skip to Content
MilliporeSigma

07-353

Sigma-Aldrich

Anti-acetyl-Histone H3 (Lys14) Antibody

serum, Upstate®

Synonym(s):

H3K14Ac, Histone H3 (acetyl K14), H3 histone family, member T, histone 3, H3, histone cluster 3, H3

Sign Into View Organizational & Contract Pricing

Select a Size


About This Item

UNSPSC Code:
12352203
eCl@ss:
32160702
NACRES:
NA.41
Technical Service
Need help? Our team of experienced scientists is here for you.
Let Us Assist
Technical Service
Need help? Our team of experienced scientists is here for you.
Let Us Assist

biological source

rabbit

Quality Level

antibody form

serum

antibody product type

primary antibodies

clone

polyclonal

species reactivity

Saccharomyces cerevisiae, yeast, human

manufacturer/tradename

Upstate®

technique(s)

ChIP: suitable (ChIP-seq)
dot blot: suitable
multiplexing: suitable
western blot: suitable

isotype

IgG

NCBI accession no.

UniProt accession no.

shipped in

dry ice

target post-translational modification

acetylation (Lys14)

Gene Information

human ... H3C1(8350)

General description

17 kDa
Histone H3 is one of the five main histone proteins involved in the structure of chromatin in eukaryotic cells. Featuring a main globular domain and a long N-terminal tail, H3 is involved with the structure of the nucleosomes of the ′beads on a string′ structure. The N-terminal tail of histone H3 protrudes from the globular nucleosome core and can undergo several different types of epigenetic modifications that influence cellular processes. These modifications include the covalent attachment of methyl or acetyl groups to lysine and arginine amino acids and the phosphorylation of serine or threonine. Acetylation of histone H3 occurs at several different lysine positions in the histone tail and is performed by a family of enzymes known as Histone Acetyl Transferases (HATs). Acetylation of lysine14 is commonly seen in genes that are being actively transcribed into RNA.

Immunogen

Epitope: a.a. 9-18
Ovalbumin-conjugated, synthetic peptide (KSTGGAcKAPRK-C) corresponding to amino acids 9-18 of yeast histone H3 acetylated on lysine 14, with a C-terminal cysteine added for conjugation purposes.

Application

Anti-acetyl-Histone H3 (Lys14) Antibody is a rabbit polyclonal antibody for detection of acetyl-Histone H3 (Lys14) also known as H3K14Ac, Histone H3 (acetyl K14) & has been validated in ChIP, WB, ChIP-seq, DB, Mplex.
Chromatin Immunoprecipitation (ChIP):
An independent laboratory has shown this antibody preferentially immunoprecipitates chromatin from wild type yeast and not from yeast strains containing a Lysine substitution to Alanine at residue 14.

Beadlyte Histone-Peptide Specificity Assay:
1:1000-1:5000 dilutions of a previous lot were incubated with histone H3 peptides containing various modifications conjugated to Luminex microspheres. No cross-reactivity with peptides containing acetyl-lysine 9 or acetyl-lysine 27 was detected.
Research Category
Epigenetics & Nuclear Function
Research Sub Category
Histones

Biochem/physiol Actions

Broad species-cross reactivity is expected.
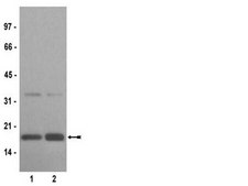
Recognizes acetyl-histone H3 (Lys14), Mr ~17 kDa. An additional unknown protein was detected at Mr ~33 kDa.

Physical form

Antiserum containing 0.05% sodium azide and 30% glycerol.
Unpurified

Preparation Note

Stable for 1 year at -20°C from date of receipt.
For maximum recovery of product, centrifuge the vial prior to removing the cap.

Analysis Note

Control
C6 cell lysate, NIH 3T3 cell lysate, human breast carcinoma and human lung carcinoma.
In acid extracts from sodium butyrate treated HeLa cells.

Western Blot Analysis:
A 1:1000-1:5000 dilution of this lot detected acetyl-Histone H3 (Lys14) in acid extracts from sodium butyrate treated HeLa cells (Catalog # 17-305).

Other Notes

Concentration: Please refer to the Certificate of Analysis for the lot-specific concentration.
Replaces: 04-1044

Legal Information

UPSTATE is a registered trademark of Merck KGaA, Darmstadt, Germany

Disclaimer

Unless otherwise stated in our catalog or other company documentation accompanying the product(s), our products are intended for research use only and are not to be used for any other purpose, which includes but is not limited to, unauthorized commercial uses, in vitro diagnostic uses, ex vivo or in vivo therapeutic uses or any type of consumption or application to humans or animals.

Not finding the right product?  

Try our Product Selector Tool.

Storage Class

12 - Non Combustible Liquids

wgk_germany

WGK 1

flash_point_f

Not applicable

flash_point_c

Not applicable


Certificates of Analysis (COA)

Search for Certificates of Analysis (COA) by entering the products Lot/Batch Number. Lot and Batch Numbers can be found on a product’s label following the words ‘Lot’ or ‘Batch’.

Already Own This Product?

Find documentation for the products that you have recently purchased in the Document Library.

Visit the Document Library

Histone modifications on the adrenergic induction of type II deiodinase in rat pinealocytes.
Chik, CL; Price, DM; Ho, AK
Molecular and cellular endocrinology null
Zhanguo Gao et al.
Biochemical and biophysical research communications, 376(4), 793-796 (2008-10-01)
c-JUN is a major component of heterodimer transcription factor AP-1 (Activator Protein-1) that activates gene transcription in cell proliferation, inflammation and stress responses. SIRT1 (Sirtuin 1) is a histone deacetylase that controls gene transcription through modification of chromatin structure. However
ApoE is required for maintenance of the dentate gyrus neural progenitor pool.
Yang CP, Gilley JA, Zhang G, Kernie SG
Development null
Zoltan Pahi et al.
PloS one, 10(11), e0142226-e0142226 (2015-11-12)
In eukaryotes the TFIID complex is required for preinitiation complex assembly which positions RNA polymerase II around transcription start sites. On the other hand, histone acetyltransferase complexes including SAGA and ATAC, modulate transcription at several steps through modification of specific
Jan Postberg et al.
Epigenetics & chromatin, 1(1), 3-3 (2008-11-19)
In this study we exploit the unique genome organization of ciliates to characterize the biological function of histone modification patterns and chromatin plasticity for the processing of specific DNA sequences during a nuclear differentiation process. Ciliates are single-cell eukaryotes containing

Our team of scientists has experience in all areas of research including Life Science, Material Science, Chemical Synthesis, Chromatography, Analytical and many others.

Contact Technical Service