Skip to Content
MilliporeSigma

07-1614

Sigma-Aldrich

Anti-XRCC2 Antibody

from rabbit, purified by affinity chromatography

Synonym(s):

DNA repair protein XRCC2, X-ray repair complementing defective repair in Chinese hamster cells 2, X-ray repair cross complementing protein 2, X-ray repair cross-complementing protein 2, X-ray repair, complementing defective, repair in Chinese hamster

Sign Into View Organizational & Contract Pricing

Select a Size


About This Item

UNSPSC Code:
12352203
eCl@ss:
32160702
NACRES:
NA.41
Technical Service
Need help? Our team of experienced scientists is here for you.
Let Us Assist
Technical Service
Need help? Our team of experienced scientists is here for you.
Let Us Assist

biological source

rabbit

Quality Level

antibody form

affinity isolated antibody

antibody product type

primary antibodies

clone

polyclonal

purified by

affinity chromatography

species reactivity

human, mouse

technique(s)

immunocytochemistry: suitable
immunohistochemistry: suitable (paraffin)
western blot: suitable

NCBI accession no.

UniProt accession no.

shipped in

wet ice

target post-translational modification

unmodified

Gene Information

human ... XRCC2(7516)

General description

X-ray repair cross-complementing protein (XRCC2) is a member of the RecA family which is essential for DNA repair and maintenance. XRCC2 also belongs to the Rad51 subfamily of proteins involved in double stranded DNA break repair. XRCC2 is thought to encode a member of the RecA/Rad51 related protein family which maintains chromosome stability and repairs DNA damage. XRCC2 and RAD51 interact to form a multimeric ring in the absence of DNA. XRCC2 is thought to load Rad51 onto gapped DNA.
~32 kDa

Immunogen

A synthetic peptide corresponding to amino acids 206-217 of XRCC2.

Application

Immunocytochemistry:
Anti-XRCC2 polyclonal was used in immunocytochemistry to positively stain the nucleus on A431, NIH/3T3 and HeLa cells.

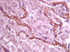
Immunohistochemistry(paraffin): Anti-XRCC2 antibody was used for immunohistochemistry on human lung tissue.
Formalin-fixed and paraffin-embedded Human lung tissue stained with anti-XRCC2 (1:100) with Citrate pH 6.0 (HIER).
Research Category
Epigenetics & Nuclear Function
Research Sub Category
Cell Cycle, DNA Replication & Repair
Use Anti-XRCC2 Antibody (rabbit polyclonal antibody) validated in IHC(P), WB, ICC to detect XRCC2 also known as DNA repair protein XRCC2, X-ray repair complementing defective repair in Chinese hamster cells 2.

Biochem/physiol Actions

This antibody recognizes XRCC2.

Physical form

Affinity purified polyclonal precipitated in ammonium sulfate.
Rabbit polyclonal precipitated antibody in a solution of 50% saturated ammonium sulfate and PBS containing no preservatives

Preparation Note

Stable for 1 year at -20°C from date of receipt.
Handling Recommendations: Upon first thaw, and prior to removing the cap, centrifuge the vial and gently mix the solution. Aliquot into microcentrifuge tubes and store at -20°C. Avoid repeated freeze/thaw cycles, which may damage IgG and affect product performance.

Analysis Note

Control
Jurkat cell lysate, human lung, NIH/3T3, A431, HeLa cells.
Western Blot Analysis:
1:500 dilution of this antibody detected XRCC2 in 10 µg of a Jurkat cell lysate.

Other Notes

Replaces: MABE556

Disclaimer

Unless otherwise stated in our catalog or other company documentation accompanying the product(s), our products are intended for research use only and are not to be used for any other purpose, which includes but is not limited to, unauthorized commercial uses, in vitro diagnostic uses, ex vivo or in vivo therapeutic uses or any type of consumption or application to humans or animals.

Not finding the right product?  

Try our Product Selector Tool.

Storage Class

12 - Non Combustible Liquids

wgk_germany

WGK 2

flash_point_f

Not applicable

flash_point_c

Not applicable


Certificates of Analysis (COA)

Search for Certificates of Analysis (COA) by entering the products Lot/Batch Number. Lot and Batch Numbers can be found on a product’s label following the words ‘Lot’ or ‘Batch’.

Already Own This Product?

Find documentation for the products that you have recently purchased in the Document Library.

Visit the Document Library

Our team of scientists has experience in all areas of research including Life Science, Material Science, Chemical Synthesis, Chromatography, Analytical and many others.

Contact Technical Service