Skip to Content
MilliporeSigma

07-1497

Sigma-Aldrich

Anti-cAMP Antibody

serum, from rabbit

Sign Into View Organizational & Contract Pricing

Select a Size


About This Item

UNSPSC Code:
12352203
eCl@ss:
32160702
NACRES:
NA.41
Technical Service
Need help? Our team of experienced scientists is here for you.
Let Us Assist
Technical Service
Need help? Our team of experienced scientists is here for you.
Let Us Assist

biological source

rabbit

Quality Level

antibody form

serum

antibody product type

primary antibodies

clone

polyclonal

species reactivity

rat

species reactivity (predicted by homology)

all

technique(s)

immunohistochemistry: suitable (paraffin)

shipped in

wet ice

target post-translational modification

unmodified

General description

Cyclic adenosine monophosphate or cAMP is an intracellular by-product of ATP by adenylene cyclase when G-protein Coupled Receptors (GPCR) bind various ligands on the cell surface. Cyclic AMP acts as a second messenger for signal transduction across the cell membrane and is a part of kinase activation. It regulates the effects of glucagon and adrenaline along with the movement of calcium ions through ion channels. Since it is affected directly by GPCR activation, cAMP is studied as a means to monitor GPCR in the discovery of therapeutic drugs.

Immunogen

2′O-succinyl cyclic AMP conjugated to BSA

Application

Anti-cAMP Antibody detects level of cAMP & has been published & validated for use in IH(P).
Research Category
Signaling
Research Sub Category
GPCR, cAMP/cGMP & Calcium Signaling

Biochem/physiol Actions

Specific for cAMP with no cross reaction to other nucleotides at concentrations to 1 mM. Reactive with cAMP fixed in tissues or acetylated cAMP. Not reactive with free, non-acetylated, cAMP in RIA or EIA assays.

Physical form

Diluted serum presented as liquid in PBS containing no preservatives.
Unpurified rabbit serum

Preparation Note

Maintain at -20°C in undiluted aliquots from date of shipment. Avoid repeated freeze/thaw cycles.

Analysis Note

Control
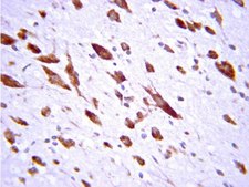
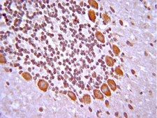
Rat hippocampus and cerebellum tissue
Evaluated by Immunohistochemistry in rat hippocampus and cerebellum tissue.
Immunohistochemistry Analysis: 1:100 dilution of this lot detected cAMP in rat hippocampus and cerebellum tissue.

Other Notes

Replaces: MABN1026

Disclaimer

Unless otherwise stated in our catalog or other company documentation accompanying the product(s), our products are intended for research use only and are not to be used for any other purpose, which includes but is not limited to, unauthorized commercial uses, in vitro diagnostic uses, ex vivo or in vivo therapeutic uses or any type of consumption or application to humans or animals.

Not finding the right product?  

Try our Product Selector Tool.

Storage Class

12 - Non Combustible Liquids

wgk_germany

WGK 2

flash_point_f

Not applicable

flash_point_c

Not applicable


Certificates of Analysis (COA)

Search for Certificates of Analysis (COA) by entering the products Lot/Batch Number. Lot and Batch Numbers can be found on a product’s label following the words ‘Lot’ or ‘Batch’.

Already Own This Product?

Find documentation for the products that you have recently purchased in the Document Library.

Visit the Document Library

Enterotoxigenic Escherichia coli secretes a highly conserved mucin-degrading metalloprotease to effectively engage intestinal epithelial cells.
Luo, Q; Kumar, P; Vickers, TJ; Sheikh, A; Lewis, WG; Rasko, DA; Sistrunk, J; Fleckenstein, JM
Infection and Immunity null
Marie Helene Schernthaner-Reiter et al.
Human molecular genetics, 29(17), 2951-2961 (2020-08-22)
Mutations of the regulatory subunit (PRKAR1A) of the cyclic adenosine monophosphate (cAMP)-dependent protein kinase (PKA), leading to activation of the PKA pathway, are the genetic cause of Carney complex which is frequently accompanied by somatotroph tumors. Aryl hydrocarbon receptor-interacting protein
Beatriz Martínez-Rojas et al.
Cellular and molecular life sciences : CMLS, 79(8), 455-455 (2022-07-30)
Neural progenitor cell (NPC) transplantation represents a promising treatment strategy for spinal cord injury (SCI); however, the underlying therapeutic mechanisms remain incompletely understood. We demonstrate that severe spinal contusion in adult rats causes transcriptional dysregulation, which persists from early subacute
Robbert Havekes et al.
The Journal of neuroscience : the official journal of the Society for Neuroscience, 36(34), 8936-8946 (2016-08-26)
Alterations in cAMP signaling are thought to contribute to neurocognitive and neuropsychiatric disorders. Members of the cAMP-specific phosphodiesterase 4 (PDE4) family, which contains >25 different isoforms, play a key role in determining spatial cAMP degradation so as to orchestrate compartmentalized
Wei Liu et al.
The Journal of experimental medicine, 217(4) (2020-01-10)
Progressive loss of retinal ganglion cells (RGCs) leads to irreversible visual deficits in glaucoma. Here, we found that the level of cyclic AMP and the activity and expression of its mediator Epac1 were increased in retinas of two mouse models

Our team of scientists has experience in all areas of research including Life Science, Material Science, Chemical Synthesis, Chromatography, Analytical and many others.

Contact Technical Service