Skip to Content
MilliporeSigma

07-1437

Sigma-Aldrich

Anti-PDGF-BB Antibody

from rabbit, purified by affinity chromatography

Synonym(s):

Platelet-derived growth factor B chain precursor, Platelet-derived growth factor beta polypeptide, Platelet-derived growth factor, beta polypeptide (oncogene SIS), oncogene SIS, Platelet-derived growth factor, Platelet-derived growth factor beta, Platele

Sign Into View Organizational & Contract Pricing

Select a Size


About This Item

UNSPSC Code:
12352203
eCl@ss:
32160702
NACRES:
NA.41
Technical Service
Need help? Our team of experienced scientists is here for you.
Let Us Assist
Technical Service
Need help? Our team of experienced scientists is here for you.
Let Us Assist

biological source

rabbit

Quality Level

conjugate

unconjugated

antibody form

affinity purified immunoglobulin

antibody product type

primary antibodies

clone

polyclonal

purified by

affinity chromatography

species reactivity

human

technique(s)

ELISA: suitable
neutralization: suitable
western blot: suitable

isotype

IgG

NCBI accession no.

UniProt accession no.

shipped in

dry ice

target post-translational modification

unmodified

Gene Information

human ... PDGFB(5155)

General description

28 kDa
Platelet-Derived Growth Factor (PDGF) is a dimer of A (17 kDa) and B (14 kDa) chains (AA, AB, or BB). Its receptors are transmembrane receptor tyrosine kinases, PDGF Receptors type A and B. The type A PDGF receptor binds all three PDGFs with high affinity, whereas the type B PDGF receptor is selective for PDGF-BB. PDGF signals as a growth and survival factor, as it is a potent activator of the PI3 Kinase pathway. PDGF signaling appears to play an essential role in the development of tumors of glial origin.

Immunogen

Highly purified (>98%) recombinant human PDGF-BB

Application

Anti-PDGF-BB Antibody detects level of PDGF-BB & has been published & validated for use in WB, ELISA, NEUT.
ELISA: 0.5 μg/mL dilution of a previous lot will allow detection (in direct ELISA) of
0.2-0.4 ng/well when human PDGF-BB is used to coat the plate.

Neutralization: To yield ½ maximal inhibition (ND50) of the biological activity of hPDGF-BB (2.5
ng/mL), a concentration of 0.03-0.04 μg/mL of a previous lot of this antibody was required.

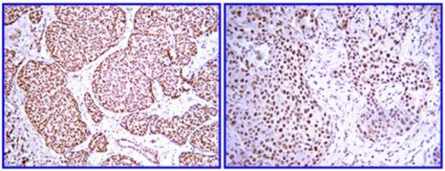
Immunohistochemistry(paraffin): Anti-IGF-1R, representative staining-pattern and morphology on ductal breast carcinoma. Tissue was pretreated with EDTA, pH 8.0 for Epitope retrieval. A previous lot of this antibody was diluted to 1:200 (RT incubation), using IHC-Select Detection with HRP-DAB.

Optimal working dilutions must be determined by the end user.
Research Category
Signaling
Research Sub Category
Growth Factors & Receptors

Biochem/physiol Actions

Reacts with human PDGF-BB.

Physical form

Affinity purified
Purified rabbit polyclonal IgG lyophilized from 0.5X PBS, pH 7.4. Reconstitute with sterile distilled water.

Preparation Note

Maintain lyophilized material desiccated below 0°C. After reconstitution maintain at -20°C in convenient undiluted aliquots for up to 6 months from date of receipt.
Handling Recommendations: Upon first thaw, and prior to removing the cap, centrifuge the vial and gently mix the solution. Aliquot into microcentrifuge tubes and store at -20°C. Avoid repeated freeze/thaw cycles, which may damage IgG and affect product performance.

Analysis Note

Routinely evaluated by Western Blot on Huvec lysates.

Western Blot Analysis:
1:500 dilution of this lot detected PDGF-BB on 10 μg of Huvec lysates.

Other Notes

Replaces: AB1487P

Disclaimer

Unless otherwise stated in our catalog or other company documentation accompanying the product(s), our products are intended for research use only and are not to be used for any other purpose, which includes but is not limited to, unauthorized commercial uses, in vitro diagnostic uses, ex vivo or in vivo therapeutic uses or any type of consumption or application to humans or animals.

Not finding the right product?  

Try our Product Selector Tool.

Storage Class

13 - Non Combustible Solids

wgk_germany

WGK 1

flash_point_f

Not applicable

flash_point_c

Not applicable


Certificates of Analysis (COA)

Search for Certificates of Analysis (COA) by entering the products Lot/Batch Number. Lot and Batch Numbers can be found on a product’s label following the words ‘Lot’ or ‘Batch’.

Already Own This Product?

Find documentation for the products that you have recently purchased in the Document Library.

Visit the Document Library

Gesine Paul et al.
The Journal of clinical investigation, 125(3), 1339-1346 (2015-02-18)
BACKGROUND. Recombinant human PDGF-BB (rhPDGF-BB) reduces Parkinsonian symptoms and increases dopamine transporter (DAT) binding in several animal models of Parkinson's disease (PD). Effects of rhPDGF-BB are the result of proliferation of ventricular wall progenitor cells and reversed by blocking mitosis.
Jin-Woo Lee et al.
Journal of hematology & oncology, 14(1), 148-148 (2021-09-18)
Little is known about endogenous inhibitors of angiogenic growth factors. In this study, we identified a novel endogenous anti-angiogenic factor expressed in pericytes and clarified its underlying mechanism and clinical significance. Herein, we found Kai1 knockout mice showed significantly enhanced

Our team of scientists has experience in all areas of research including Life Science, Material Science, Chemical Synthesis, Chromatography, Analytical and many others.

Contact Technical Service