Sign In to View Organizational & Contract Pricing.
Select a Size
Change View
About This Item
UNSPSC Code:
12352203
NACRES:
NA.43
eCl@ss:
32160702
Conjugate:
unconjugated
Clone:
polyclonal
Application:
ELISA, IHC, Neutral, WB
Citations:
3
biological source
rabbit
Quality Level
conjugate
unconjugated
antibody form
affinity purified immunoglobulin
antibody product type
primary antibodies
clone
polyclonal
purified by
affinity chromatography
species reactivity
human, mouse
technique(s)
ELISA: suitable, immunohistochemistry: suitable (paraffin), neutralization: suitable, western blot: suitable
isotype
IgG
NCBI accession no.
UniProt accession no.
shipped in
dry ice
target post-translational modification
unmodified
Gene Information
human ... PDGFA(5154)
General description
24 kDa detected in Western Blot.
Platelet-Derived Growth Factor (PDGF) is a dimer of A (17 kDa) and B (14 kDa) chains (AA, AB, or BB). Its receptors are transmembrane receptor tyrosine kinases, PDGF Receptors type A and B. The type A PDGF receptor binds all three PDGFs with high affinity, whereas the type B PDGF receptor is selective for PDGF-BB. PDGF signals as a growth and survival factor, as it is a potent activator of the PI3 Kinase pathway. PDGF signaling appears to play an essential role in the development of tumors of glial origin.
Immunogen
Highly pure (>98%) recombinant human PDGF-AA.
Application
Detect PDGF-AA using this Anti-PDGF-AA Antibody validated for use in IH(P), ELISA, WB, NEUT.
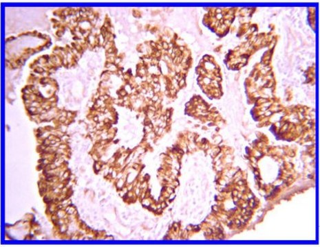
Immunohistochemisty (paraffin): PDGF representative staining pattern/morphology in prostate cancer. Tissue was pretreated with citrate pH 6, antigen retrieval. A previous lot of this antibody was diluted to 1:100, using IHC-Select Detection with HRP-DAB.
ELISA: 0.5 μg/mL dilution of a previous lot allowed detection (in direct ELISA) of 0.2-0.4 ng/well when human PDGF-AA is used to coat the plate.
Neutralization: To yield ½ maiximal inhibition (ND50) of the biological activity of hPDGF-AA (5.0 ng/mL), a concentration of 0.05-0.07 μg/mL of a previous lot of this antibody was required.
Optimal working dilutions must be determined by the end user.
ELISA: 0.5 μg/mL dilution of a previous lot allowed detection (in direct ELISA) of 0.2-0.4 ng/well when human PDGF-AA is used to coat the plate.
Neutralization: To yield ½ maiximal inhibition (ND50) of the biological activity of hPDGF-AA (5.0 ng/mL), a concentration of 0.05-0.07 μg/mL of a previous lot of this antibody was required.
Optimal working dilutions must be determined by the end user.
Research Category
Signaling
Signaling
Research Sub Category
Growth Factors & Receptors
Growth Factors & Receptors
Biochem/physiol Actions
Reacts with PDGF-AA
Physical form
Affinity purified
Purified rabbit polyclonal IgG lyophilized from PBS, pH 7.2.
Preparation Note
The lyophilized antibody is stable at room temperature for at least one month and for up to one year when kept at -20ºC. When reconstituted in sterile water to a concentration of 0.1-1.0 mg/mL, the antibody is stable for at least six weeks at 2-8ºC.
Handling Recommendations: Upon first thaw, and prior to removing the cap, centrifuge the vial and gently mix the solution. Aliquot into microcentrifuge tubes and store at -20°C. Avoid repeated freeze/thaw cycles, which may damage IgG and affect product performance.
Handling Recommendations: Upon first thaw, and prior to removing the cap, centrifuge the vial and gently mix the solution. Aliquot into microcentrifuge tubes and store at -20°C. Avoid repeated freeze/thaw cycles, which may damage IgG and affect product performance.
Analysis Note
Control
C2C12 cell lysate
C2C12 cell lysate
Routinely evaluated by Western Blot on C2C12 lysates.
Western Blot Analysis:
1:500 dilution of this lot detected PDGF-AA on 10 μg of C2C12 lysates.
Western Blot Analysis:
1:500 dilution of this lot detected PDGF-AA on 10 μg of C2C12 lysates.
Other Notes
Replaces: AB1486P
Disclaimer
Unless otherwise stated in our catalog or other company documentation accompanying the product(s), our products are intended for research use only and are not to be used for any other purpose, which includes but is not limited to, unauthorized commercial uses, in vitro diagnostic uses, ex vivo or in vivo therapeutic uses or any type of consumption or application to humans or animals.
Still not finding the right product?
Try our Product Selector Tool to narrow your options
Storage Class
13 - Non Combustible Solids
wgk
WGK 3
flash_point_f
Not applicable
flash_point_c
Not applicable
Certificates of Analysis (COA)
Search for Certificates of Analysis (COA) by entering the products Lot/Batch Number. Lot and Batch Numbers can be found on a product’s label following the words ‘Lot’ or ‘Batch’.
Already Own This Product?
Find documentation for the products that you have recently purchased in the Document Library.
Activation of unfolded protein response in transgenic mouse lenses.
Reneker, LW; Chen, H; Overbeek, PA
Investigative Ophthalmology & Visual Science null
Fibroblast-Derived STC-1 Modulates Tumor-Associated Macrophages and Lung Adenocarcinoma Development.
Tamihiro Kamata et al.
Cell reports, 31(12), 107802-107802 (2020-06-25)
The tumor microenvironment (TME) consists of different cell types, including tumor-associated macrophages (TAMs) and tumor-associated fibroblasts (TAFs). How these cells interact and contribute to lung carcinogenesis remains elusive. Using G12DKRAS- and V600EBRAF-driven mouse lung models, we identify the pleiotropic glycoprotein
Global Trade Item Number
| SKU | GTIN |
|---|---|
| 07-1436 | 04053252328589 |