Skip to Content
MilliporeSigma

07-1232

Sigma-Aldrich

Anti-Notch 1 Antibody, NT

serum, from rabbit

Synonym(s):

Neurogenic locus notch homolog protein 1 precursor, Notch (Drosophila) homolog 1 (translocation-associated), Notch 1, Notch homolog 1, translocation-associated (Drosophila), Translocation-associated notch protein TAN-1, Neurogenic locus notch homolog pro

Sign Into View Organizational & Contract Pricing

Select a Size


About This Item

UNSPSC Code:
12352203
eCl@ss:
32160702
NACRES:
NA.41
Technical Service
Need help? Our team of experienced scientists is here for you.
Let Us Assist
Technical Service
Need help? Our team of experienced scientists is here for you.
Let Us Assist

biological source

rabbit

Quality Level

conjugate

unconjugated

antibody form

serum

antibody product type

primary antibodies

clone

polyclonal

species reactivity

human, mouse

species reactivity (predicted by homology)

rat (immunogen homology)

technique(s)

ELISA: suitable
immunohistochemistry: suitable (paraffin)
western blot: suitable

isotype

IgG

NCBI accession no.

UniProt accession no.

shipped in

wet ice

target post-translational modification

unmodified

Gene Information

human ... NOTCH1(4851)

General description

Notch is a family of single-pass transmembrane receptor proteins that are synthesized in the endoplasmic reticulum as an inactive form and are proteolytically cleaved on an extracellular site by a furin-like convertase (S1 cleavage) in the trans-golgi network after the recognition of the RQRR sequence before it reaches the plasma membrane as heterodimers to yield an active, ligand-accessible form. The Notch family is comprised of 4 members (1-4) whose ligands include the Delta and Jagged family of ligands. These ligands cause proteolysis of Notch to liberate the intracellular domain. Cleavage results in a C-terminal fragment N(TN) and a N-terminal fragment N(EC). Following ligand binding, it is cleaved (S2 cleavage) by TNF-alpha converting enzyme (TACE) to yield a membrane-associated intermediate fragment called Notch extracellular truncation (NEXT). This fragment is then cleaved by presenilin-dependent gamma-secretase between gly1743 and val1744 (S3 cleavage) to release the intracellular domain (NICD) from the membrane. That domain translocates to the nucleus and initiates transcription events by binding the DNA binding protein CSL. The notch family members are involved cell differentiation and development.
~80 kDa

Immunogen

Epitope: Cleaved N-Terminus
Synthetic peptide from the N-terminal sequence of the cleaved N intracellular domain (NICD) human Notch 1.

Application

Anti-Notch 1 Antibody, N-Terminus is a Rabbit Polyclonal Antibody for detection of Notch 1 also known as Neurogenic locus notch homolog protein 1 precursor & has been validated in ELISA, WB, IHC(P).
ELISA:
A previous lot of this antibody was diluted to 1:20,000-1:60,000 and used in a standard sandwich ELISA assay against the peptide immunogen.

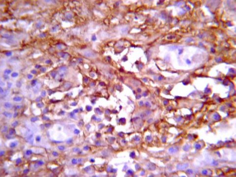
Immunohistochemistry(paraffin):
Representative testing from a previous lot.
Optimal Staining of Notch-1 With Citrate pH 6.0 Epitope Retrieval: Uterine Cancer

ELISA: A previous lot of this antibody was diluted to 1:20,000-1:60,000 and used in a standard sandwich ELISA assay against the peptide immunogen.
Research Category
Epigenetics & Nuclear Function
Research Sub Category
Transcription Factors

Biochem/physiol Actions

Notch 1, cleaved N terminal. Only the cleaved intracellular (activated) form is detected. No reactivity is detected against mouse N2, N3 or N4. This epitope is exposed only after gamma secretase cleavage and is not accessible in the uncleaved form.
Other species have not been tested.

Physical form

Rabbit polyclonal IgG serum in buffer containing 0.02 M Potassium Phosphate, 0.15 M NaCl, pH 7.2, containing 0.1% sodium azide.

Preparation Note

Stable for 6 months at -20°C in undiluted aliquots from date of receipt. Avoid repeated freeze/thaw cycles.
Handling Recommendations: Upon first thaw, and prior to removing the cap, centrifuge the vial and gently mix the solution. Aliquot into microcentrifuge tubes and store at -20°C. Avoid repeated freeze/thaw cycles, which may damage IgG and affect product performance.

Analysis Note

Control
Jurkate Cell Lysates. In fetal tissues, use spleen, brain stem and lung. In adult tissues use mainly lymphoid tissues.
Routinely evaluated by Western Blot on Jurkat lysates.

Western Blot Analysis: 1:500 dilution of this lot detected cleaved NOTCH1 on 10 μg of Jurkat lysates.

Other Notes

Replaces: 04-1046

Disclaimer

Unless otherwise stated in our catalog or other company documentation accompanying the product(s), our products are intended for research use only and are not to be used for any other purpose, which includes but is not limited to, unauthorized commercial uses, in vitro diagnostic uses, ex vivo or in vivo therapeutic uses or any type of consumption or application to humans or animals.

Not finding the right product?  

Try our Product Selector Tool.

Storage Class

12 - Non Combustible Liquids

wgk_germany

WGK 2

flash_point_f

Not applicable

flash_point_c

Not applicable


Certificates of Analysis (COA)

Search for Certificates of Analysis (COA) by entering the products Lot/Batch Number. Lot and Batch Numbers can be found on a product’s label following the words ‘Lot’ or ‘Batch’.

Already Own This Product?

Find documentation for the products that you have recently purchased in the Document Library.

Visit the Document Library

Dongyang Jiang et al.
Journal of the American Heart Association, 6(7) (2017-07-13)
Vascular smooth muscle cell proliferation, migration, and dedifferentiation are critical for vascular diseases. Recently, it was demonstrated that Notch receptors have opposing effects on intima formation after vessel injury. Therefore, it is important to investigate the specific regulatory pathways that
Activation of Notch signaling by short-term treatment with Jagged-1 enhances store-operated Ca(2+) entry in human pulmonary arterial smooth muscle cells.
Yamamura, H; Yamamura, A; Ko, EA; Pohl, NM; Smith, KA; Zeifman, A; Powell et al.
American Journal of Physiology. Cell Physiology null
Regulation of notch1 signaling by nrf2: implications for tissue regeneration.
Nobunao Wakabayashi,Soona Shin,Stephen L Slocum,Elin S Agoston,Junko Wakabayashi et al.
Science Signaling null
Weihai Liu et al.
Cell death & disease, 9(3), 343-343 (2018-03-03)
Osteosarcoma is the most common primary bone tumor in children and adolescents. Many patients with osteosarcoma always develop drug resistance to current chemotherapy regimens, which induces a poor prognosis. And cancer stem cells (CSCs) have been reported to possess the
Ye Zhao et al.
BMC cell biology, 17(1), 21-21 (2016-05-01)
Endothelial-mesenchymal transition (EndoMT) is a major source of myofibroblast formation in kidney fibrosis. Our previous study showed a profibrotic role for matrix metalloproteinase 9 (MMP-9) in kidney fibrosis via induction of epithelial-mesenchymal transition (EMT). Inhibition of MMP-9 activity reduced kidney

Our team of scientists has experience in all areas of research including Life Science, Material Science, Chemical Synthesis, Chromatography, Analytical and many others.

Contact Technical Service