Skip to Content
MilliporeSigma

07-1208

Sigma-Aldrich

Anti-Gβ5 Antibody

Upstate®, from rabbit

Sign Into View Organizational & Contract Pricing

Select a Size


About This Item

UNSPSC Code:
12352203
eCl@ss:
32160702
NACRES:
NA.41
Technical Service
Need help? Our team of experienced scientists is here for you.
Let Us Assist
Technical Service
Need help? Our team of experienced scientists is here for you.
Let Us Assist

biological source

rabbit

Quality Level

conjugate

unconjugated

antibody form

purified immunoglobulin

antibody product type

primary antibodies

clone

polyclonal

species reactivity

mouse, rat, human

manufacturer/tradename

Upstate®

technique(s)

western blot: suitable

isotype

IgG

NCBI accession no.

UniProt accession no.

shipped in

wet ice

target post-translational modification

unmodified

Gene Information

human ... GNB5(10681)
mouse ... Gnb5(14697)
rat ... Gnb5(83579)

General description

The Gβ5 (GNB5 guanine nucleotide binding protein (G protein), beta 5) is a G protein subunit present predominantly in the central nervous system. This protein appears to be expressed in two forms, one found in the brain of 39 kDa and one found in the retina of 44 kDa. It has also been found that Gβ5 associates tightly with RGS7, a member of the superfamily of negative regulators of G protein signaling. These complexes have been localized to most regions of the brain, whereas G1-4 exhibit no observable colocalization with RGS7, despite their widespread codistribution throughout similar neuronal networks. This antibody is specific for a peptide sequence within the D1 blade which is not found in Gβ1-4.
This protein appears to be expressed in two forms, one found in the brain of 39 kDa and one found in the retina of 44 kDa

Immunogen

Epitope: D1
Unique peptide sequence derived from the D1 blade of the Gβ5 protein.

Application

Optimal working dilutions must be determined by end user.
Research Category
Signaling
Research Sub Category
GPCR, cAMP/cGMP & Calcium Signaling
This Anti-Gβ5 Antibody is validated for use in WB for the detection of Gβ5.

Biochem/physiol Actions

Recognizes D1 area of Gβ5.

Physical form

Format: Purified
Purified
Purified rabbit polyclonal IgG in phosphate buffered saline with 0.08% sodium azide.

Preparation Note

Maintain at -20°C in undiluted aliquots for up to 12 months from date of receipt.
Handling Recommendations: Upon first thaw, and prior to removing the cap, centrifuge the vial and gently mix the solution. Aliquot into microcentrifuge tubes and store at -20°C. Avoid repeated freeze/thaw cycles, which may damage IgG and affect product performance.

Analysis Note

Control
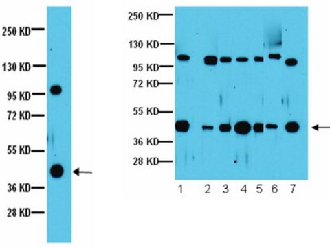
L6 Cell Lysate, plasma membranes from rat cerebrum.
Routinely evaluated by Western Blot on L6 lysates.

Western Blot Analysis: 1:500 dilution of this lot detected G protein Gbeta5 on 10 μg of L6 lysates.

Other Notes

Concentration: Please refer to the Certificate of Analysis for the lot-specific concentration.
Replaces: AB4068

Legal Information

UPSTATE is a registered trademark of Merck KGaA, Darmstadt, Germany

Disclaimer

Unless otherwise stated in our catalog or other company documentation accompanying the product(s), our products are intended for research use only and are not to be used for any other purpose, which includes but is not limited to, unauthorized commercial uses, in vitro diagnostic uses, ex vivo or in vivo therapeutic uses or any type of consumption or application to humans or animals.

Not finding the right product?  

Try our Product Selector Tool.

Storage Class

10 - Combustible liquids

wgk_germany

WGK 2

flash_point_f

Not applicable

flash_point_c

Not applicable


Certificates of Analysis (COA)

Search for Certificates of Analysis (COA) by entering the products Lot/Batch Number. Lot and Batch Numbers can be found on a product’s label following the words ‘Lot’ or ‘Batch’.

Already Own This Product?

Find documentation for the products that you have recently purchased in the Document Library.

Visit the Document Library

Our team of scientists has experience in all areas of research including Life Science, Material Science, Chemical Synthesis, Chromatography, Analytical and many others.

Contact Technical Service