Skip to Content
MilliporeSigma

06-755

Sigma-Aldrich

Anti-Histone H3.1t (H3-4) Antibody

UPSTATE®, rabbit polyclonal

Synonym(s):

Histone H3.1t, H3/t, H3t, H3/g

Sign Into View Organizational & Contract Pricing

Select a Size


About This Item

UNSPSC Code:
12352203
eCl@ss:
32160702
NACRES:
NA.41
Technical Service
Need help? Our team of experienced scientists is here for you.
Let Us Assist
Technical Service
Need help? Our team of experienced scientists is here for you.
Let Us Assist

Product Name

Anti-Histone H3 Antibody, 0.5 mg/mL, Upstate®

biological source

rabbit

Quality Level

antibody form

affinity isolated antibody

antibody product type

primary antibodies

clone

polyclonal

purified by

affinity chromatography

species reactivity

rat, mouse, human

manufacturer/tradename

Upstate®

concentration

0.5 mg/mL

technique(s)

ChIP: suitable
immunocytochemistry: suitable
immunoprecipitation (IP): suitable
western blot: suitable

NCBI accession no.

UniProt accession no.

shipped in

wet ice

target post-translational modification

unmodified

Gene Information

human ... H3C1(8350)
mouse ... H3C1(360198)
rat ... H3C1(679994)

General description

Histone H3, also known as Histone H3.1t, H3/t, H3t, or H3/g, and encoded by the gene HIST3H3/H3Ft, is one of the core components of the nucleosome. The nucleosome is a histone octamer containing two molecules each of H2A, H2B, H3 and H4 assembled in one H3-H4 heterotetramer and two H2A-H2B heterodimers. Nucleosomes wrap and compact DNA into chromatin, limiting DNA accessibility to the cellular machineries which require DNA as a template. Histones thereby play a central role in transcription regulation, DNA repair, DNA replication and chromosomal stability. DNA accessibility is regulated via a complex set of post-translational modifications of histones, also called histone code, and nucleosome remodeling. The octamer wraps approximately 147 bp of DNA. A classic nuclear marker, new expression is seen during S phase of the cell cycle. Histone H3 is often acetylated and or methylated multiple times. Changes in methylation or acetylation state of histone H3 together with similar modification on the sister histones is one key aspect of epigenetic gene expression and regulation.
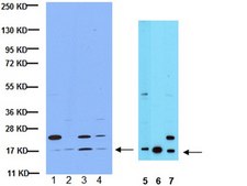
~17 kDa observed

Immunogen

Epitope: N-terminus
KLH-conjugated linear peptide corresponding to the N-terminus of human Histone H3.

Application

Anti-Histone H3 Antibody is a Rabbit Polyclonal Antibody for detection of Histone H3 also known as histone 3-H3 & has been validated in ChIP, ICC & WB.
Immunocytochemistry Analysis: A 1:500 dilution from a representative lot detected Histone H3 in HeLa cells.

Immunoprecipitation Analysis: 10 µg from a representative lot immunoprecipitated Histone H3 from 500 µg of HeLa acid extract. Immunoprecipitated sample was then subjected to Western Blotting using 0.5 µg/mL of the same antibody.

Chromatin Immunoprecipitaton: A representative lot from an independent laboratory immunoprecipitated Histone H3 from plant chromatin (Ng, D. W., et al. (2006). Plant Cell. 18(1):119-132.).
Research Category
Epigenetics & Nuclear Function
Research Sub Category
Histones

Biochem/physiol Actions

Broad species cross-reactivity is expected based on sequence similarity.
This antibody recognizes Histone H3 at the N-terminus.

Physical form

Affinity purified
Purified rabbit polyclonal in buffer containing 0.1 M Tris-Glycine (pH 7.4), 150 mM NaCl with 0.05% sodium azide.

Preparation Note

Stable for 1 year at 2-8°C from date of receipt.

Analysis Note

Control
HeLa acid extract
Evaluated by Western Blotting in HeLa acid extract.

Western Blotting Analysis: 0.5 µg/mL of this antibody detected Histone H3 in 10 µg of HeLa acid extract.

Legal Information

UPSTATE is a registered trademark of Merck KGaA, Darmstadt, Germany

Disclaimer

Unless otherwise stated in our catalog or other company documentation accompanying the product(s), our products are intended for research use only and are not to be used for any other purpose, which includes but is not limited to, unauthorized commercial uses, in vitro diagnostic uses, ex vivo or in vivo therapeutic uses or any type of consumption or application to humans or animals.

Not finding the right product?  

Try our Product Selector Tool.

Storage Class

12 - Non Combustible Liquids

wgk_germany

WGK 1

flash_point_f

Not applicable

flash_point_c

Not applicable


Certificates of Analysis (COA)

Search for Certificates of Analysis (COA) by entering the products Lot/Batch Number. Lot and Batch Numbers can be found on a product’s label following the words ‘Lot’ or ‘Batch’.

Already Own This Product?

Find documentation for the products that you have recently purchased in the Document Library.

Visit the Document Library

Downregulation of Cdc6 and pre-replication complexes in response to methionine stress in breast cancer cells.
Booher, K; Lin, DW; Borrego, SL; Kaiser, P
Cell Cycle null
Pygo2 regulates histone gene expression and H3 K56 acetylation in human mammary epithelial cells.
Gu, B; Watanabe, K; Dai, X
Cell Cycle null
Hui Nian et al.
Carcinogenesis, 30(8), 1416-1423 (2009-06-17)
Methylselenocysteine (MSC) and selenomethionine (SM) are two organoselenium compounds receiving interest for their potential anticancer properties. These compounds can be converted to beta-methylselenopyruvate (MSP) and alpha-keto-gamma-methylselenobutyrate (KMSB), alpha-keto acid metabolites that share structural features with the histone deacetylase (HDAC) inhibitor
The many faces of histone lysine methylation.
Lachner, Monika and Jenuwein, Thomas
Current Opinion in Cell Biology, 14, 286-298 (2002)
SDG714, a histone H3K9 methyltransferase, is involved in Tos17 DNA methylation and transposition in rice.
Ding, Y; Wang, X; Su, L; Zhai, J; Cao, S; Zhang, D; Liu, C; Bi, Y; Qian, Q; Cheng, Z; Chu, C; Cao, X
Plant Cell null

Our team of scientists has experience in all areas of research including Life Science, Material Science, Chemical Synthesis, Chromatography, Analytical and many others.

Contact Technical Service