Skip to Content
MilliporeSigma

06-284

Sigma-Aldrich

Anti-Nitrotyrosine Antibody

Upstate®, from rabbit

Synonym(s):

Anti-Nitrotyrosine, Detection Antibody, Nitrotyrosine Detection Antibody

Sign Into View Organizational & Contract Pricing

Select a Size


About This Item

UNSPSC Code:
12352203
eCl@ss:
32160702
NACRES:
NA.41
Technical Service
Need help? Our team of experienced scientists is here for you.
Let Us Assist
Technical Service
Need help? Our team of experienced scientists is here for you.
Let Us Assist

biological source

rabbit

Quality Level

antibody form

affinity purified immunoglobulin

antibody product type

primary antibodies

clone

polyclonal

species reactivity (predicted by homology)

all

manufacturer/tradename

Upstate®

technique(s)

immunocytochemistry: suitable
immunohistochemistry: suitable
immunoprecipitation (IP): suitable
western blot: suitable

isotype

IgG

shipped in

dry ice

target post-translational modification

unmodified

Gene Information

human ... NOS1(4842)

General description

Nitrotyrosine has been identified as an indicator of cell damage and inflammation, as well as of the production of NO. It is believed that measuring the concentration of nitrotyrosine will serve as a marker for damage caused by NO in the cell. Previous studies have shown that nitrotyrosine has been found in inflammatory conditions such as atherosclerotic plaques and rheumatoid arthritis, among others.
Predicted MW for nitrated-BSA: 85 kDa

Immunogen

Nitrated KLH

Application

  • Immunocytochemistry Analysis: A 1:200 dilution from a representative lot detected in fixed and permeabilized A-431 cells treated with 5mM peroxynitrite for 15 minutes.
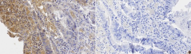
  • Immunohistochemistry Applications: A representative lot detected Nitrotyrosine in human colon cancer, human Alzheimer′s brain and human diabetic kidney tissue sections.
  • Note: Actual optimal working dilutions must be determined by end user as specimens, and experimental conditions may vary with the end user
Research Sub Category
Neurotransmitters & Receptors

Neurodegenerative Diseases
This rabbit polyclonal Anti-Nitrotyrosine, Cat. No. 06-284 is tested for use in Western Blotting, Immunohistochemistry and Immunocytochemistry, for the detection of Nitrotyrosine.

Biochem/physiol Actions

Recognizes proteins which are nitrated.

Physical form

Format: Purified
ImmunoAffinity Purified
Purified Rabbit IgG in buffer containing 0.1M Tris-Glycine, 0.15M NaCl, pH 7.4, 0.05% sodium azide, and 10 mg/mL BSA

Preparation Note

Maintain for 1 year at -20°C from date of shipment. Aliquot to avoid repeated freezing and thawing. For maximum recovery of product, centrifuge the original vial after thawing and prior to removing the cap.

Analysis Note

routinely evaluated by immunoblot on nitrotyrosine immunoblotting controls (Catalog #12-354)

Legal Information

UPSTATE is a registered trademark of Merck KGaA, Darmstadt, Germany

Disclaimer

Unless otherwise stated in our catalog or other company documentation accompanying the product(s), our products are intended for research use only and are not to be used for any other purpose, which includes but is not limited to, unauthorized commercial uses, in vitro diagnostic uses, ex vivo or in vivo therapeutic uses or any type of consumption or application to humans or animals.

Not finding the right product?  

Try our Product Selector Tool.

Storage Class

12 - Non Combustible Liquids

wgk_germany

WGK 2

flash_point_f

Not applicable

flash_point_c

Not applicable


Certificates of Analysis (COA)

Search for Certificates of Analysis (COA) by entering the products Lot/Batch Number. Lot and Batch Numbers can be found on a product’s label following the words ‘Lot’ or ‘Batch’.

Already Own This Product?

Find documentation for the products that you have recently purchased in the Document Library.

Visit the Document Library

A Perner et al.
Gut, 49(3), 387-394 (2001-08-21)
Luminal nitric oxide (NO) is greatly increased in the colon of patients with collagenous and ulcerative colitis. To define the source and consequence of enhanced NO production we have studied expression of NO synthase (NOS) isoforms and nitrotyrosine in mucosal
Reactive nitrogen species contribute to blood-labyrinth barrier disruption in suppurative labyrinthitis complicating experimental pneumococcal meningitis in the rat
Kastenbauer, S., et al
Brain Research, 904, 208-217 (2001)
Free 3-nitrotyrosine causes striatal neurodegeneration in vivo
Mihm, M. J., et al
The Journal of Neuroscience, 21, RC149-RC149 (2001)
T Akaike et al.
FASEB journal : official publication of the Federation of American Societies for Experimental Biology, 14(10), 1447-1454 (2000-07-06)
Nitric oxide (NO), superoxide (O(2)(-)), and their reaction product peroxynitrite (ONOO(-)) are generated in excess during a host's response against viral infection, and contribute to viral pathogenesis by promoting oxidative stress and tissue injury. Here we demonstrate that NO and
Pharmacological inhibition of diabetic retinopathy: aminoguanidine and aspirin.
Kern, T S and Engerman, R L
Diabetes, 50, 1636-1642 (2001)

Our team of scientists has experience in all areas of research including Life Science, Material Science, Chemical Synthesis, Chromatography, Analytical and many others.

Contact Technical Service