Skip to Content
MilliporeSigma

06-1115

Sigma-Aldrich

Anti-Interleukin-18 (IL-18) Antibody

from rabbit, purified by affinity chromatography

Synonym(s):

interleukin 18 (interferon-gamma-inducing factor), IL-1 gamma, IFN-gamma-inducing factor, iboctadekin, interleukin-18, Interleukin-1 gamma, Iboctadekin, Interferon gamma-inducing factor

Sign Into View Organizational & Contract Pricing

Select a Size


About This Item

UNSPSC Code:
12352203
eCl@ss:
32160702
NACRES:
NA.41
Technical Service
Need help? Our team of experienced scientists is here for you.
Let Us Assist
Technical Service
Need help? Our team of experienced scientists is here for you.
Let Us Assist

biological source

rabbit

Quality Level

conjugate

unconjugated

antibody form

affinity isolated antibody

antibody product type

primary antibodies

clone

polyclonal

purified by

affinity chromatography

species reactivity

human

species reactivity (predicted by homology)

rhesus macaque (based on 100% sequence homology), chimpanzee (based on 100% sequence homology), primate (based on 100% sequence homology)

technique(s)

immunohistochemistry: suitable (paraffin)
western blot: suitable

NCBI accession no.

UniProt accession no.

shipped in

wet ice

target post-translational modification

unmodified

Gene Information

human ... IL18(3606)

General description

IL-18 has been shown to be a pro-inflammatory cytokine that induces interferon-gamma. IL-18 has also been found to have the ability to activate nuclear factor-kappaB (NFkB), express Fas ligand, induce CC and CXC chemokines, and also has been found to increase the production of viable human immunodeficiency virus. IL-18 has been linked to syndromes displaying symptoms of chronic low-levels of inflammation. IL-18 also seems to have some control over homeostasis and behavior in the central nervous system as well as neuroinflammatory activity.
~22 kDa observed

Immunogen

KLH-conjugated linear peptide corresponding to human Interleukin-18.

Application

Research Category
Inflammation & Immunology
Research Sub Category
Cytokines & Cytokine Receptors
This Anti-Interleukin-18 (IL-18) Antibody is validated for use in WB, IH(P) for the detection of Interleukin-18 (IL-18).
Western Blot (Snap i.d.) Analysis: 5 µg/mL from a previous lot detected IL-18 in 10 µg of human tonsil tissue lysate.

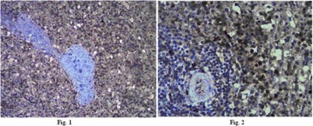
Immunohistochemistry Analysis: A 1:600 dilution from a previous lot detected IL-18 in normal human spleen tissue.

Physical form

Affinity purified
Purified rabbit polyclonal in buffer containing 0.1 M Tris-Glycine (pH 7.4), 150 mM NaCl with 0.05% sodium azide.

Preparation Note

Stable for 1 year at 2-8°C from date of receipt.

Analysis Note

Control
Human tonsil tissue lysate
Evaluated by Western Blot in human tonsil tissue lysate.

Western Blot Analysis: 0.5 µg/mL of this antibody detected IL-18 in 10 µg of human tonsil tissue lysate.

Other Notes

Concentration: Please refer to the Certificate of Analysis for the lot-specific concentration.

Disclaimer

Unless otherwise stated in our catalog or other company documentation accompanying the product(s), our products are intended for research use only and are not to be used for any other purpose, which includes but is not limited to, unauthorized commercial uses, in vitro diagnostic uses, ex vivo or in vivo therapeutic uses or any type of consumption or application to humans or animals.

Not finding the right product?  

Try our Product Selector Tool.

Storage Class

12 - Non Combustible Liquids

wgk_germany

WGK 1

flash_point_f

Not applicable

flash_point_c

Not applicable


Certificates of Analysis (COA)

Search for Certificates of Analysis (COA) by entering the products Lot/Batch Number. Lot and Batch Numbers can be found on a product’s label following the words ‘Lot’ or ‘Batch’.

Already Own This Product?

Find documentation for the products that you have recently purchased in the Document Library.

Visit the Document Library

C Baldini et al.
Journal of internal medicine, 274(5), 480-489 (2013-08-03)
Innate and adaptive immunity may contribute to gland dysfunction in patients with primary Sjögren's syndrome (pSS). The P2X7 receptor (P2X7 R)-NLRP3 inflammasome complex modulates the release of the inflammatory cytokines IL-1β and IL-18. The presence of P2X7 R in salivary

Our team of scientists has experience in all areas of research including Life Science, Material Science, Chemical Synthesis, Chromatography, Analytical and many others.

Contact Technical Service