Skip to Content
MilliporeSigma

06-1063

Sigma-Aldrich

Anti-Frizzled-7 Antibody

from rabbit, purified by affinity chromatography

Synonym(s):

frizzled homolog 7, Frizzled, homolog of, 7, frizzled-7, frizzled homolog 7

Sign Into View Organizational & Contract Pricing

Select a Size


About This Item

UNSPSC Code:
12352203
eCl@ss:
32160702
NACRES:
NA.41
Technical Service
Need help? Our team of experienced scientists is here for you.
Let Us Assist
Technical Service
Need help? Our team of experienced scientists is here for you.
Let Us Assist

biological source

rabbit

Quality Level

conjugate

unconjugated

antibody form

affinity isolated antibody

antibody product type

primary antibodies

clone

polyclonal

purified by

affinity chromatography

species reactivity

rat, human, mouse

technique(s)

immunocytochemistry: suitable
immunohistochemistry: suitable
western blot: suitable

NCBI accession no.

UniProt accession no.

shipped in

wet ice

target post-translational modification

unmodified

Gene Information

human ... FZD7(8324)

General description

Frizzled 7 is a multi-pass membrane protein belonging to the G-protein coupled receptor Fz/Smo family. It is a receptor for Wnt signaling, predominantly Wnt11, a crucial factor in the regulation of cellular migration and polarization during vertebrate gastrulation. Highest reported expression is in fetal kidney tissue and adult heart tissue. Lower levels have been observed in brain, placenta, adult heart, fetal lung, and squamous cell esophageal carcinomas.
The calculated molecular weight is 64 kDa Observed at ~83 kDa, most likely due to multiple glycosolation sites.

Immunogen

Epitope: Unknown
KLH-conjugated linear peptide corresponding to human Frizzled-7.

Application

Research Category
Signaling
Research Sub Category
Developmental Signaling
This Anti-Frizzled-7 Antibody is validated for use in WB, IH, IC for the detection of Frizzled-7.
Western Blot Analysis: A previous lot detected Frizzled-7 on 10 µg of HEK293 cell lysate and rat brain microsomal fraction tissue lysate.

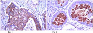
Immunohistochemistry Analysis: 1:300 dilution from a previous lot detected Frizzled-7 in human ductal in situ and GI tract tissue.

Immunocytochemistry Analysis: 1:500 dilution from a previous lot detected Frizzled-7 in A431 cells.

Biochem/physiol Actions

Recognizes Frizzled-7

Physical form

Affinity purified
Purified rabbit polyclonal in buffer containing 0.1 M Tris-Glycine (pH 7.4, 150 mM NaCl) with 0.05% sodium azide.

Preparation Note

Stable for 1 year at 2-8°C from date of receipt.

Analysis Note

Control
Mouse brain microsomal fraction tissue lysate
Evaluated by Western Blot in mouse brain microsomal fraction tissue lysate.

Western Blot Analysis: 1 µg/mL of this antibody detected Frizzled-7 on 10 µg of mouse brain microsomal fraction tissue lysate.

Other Notes

Concentration: Please refer to the Certificate of Analysis for the lot-specific concentration.

Disclaimer

Unless otherwise stated in our catalog or other company documentation accompanying the product(s), our products are intended for research use only and are not to be used for any other purpose, which includes but is not limited to, unauthorized commercial uses, in vitro diagnostic uses, ex vivo or in vivo therapeutic uses or any type of consumption or application to humans or animals.

Not finding the right product?  

Try our Product Selector Tool.

Storage Class

12 - Non Combustible Liquids

wgk_germany

WGK 1

flash_point_f

Not applicable

flash_point_c

Not applicable


Certificates of Analysis (COA)

Search for Certificates of Analysis (COA) by entering the products Lot/Batch Number. Lot and Batch Numbers can be found on a product’s label following the words ‘Lot’ or ‘Batch’.

Already Own This Product?

Find documentation for the products that you have recently purchased in the Document Library.

Visit the Document Library

Taybor W Parker et al.
Scientific reports, 10(1), 2957-2957 (2020-02-23)
Wnt/β-catenin signaling is essential for intestinal homeostasis and is aberrantly activated in most colorectal cancers (CRC) through mutation of the tumor suppressor Adenomatous Polyposis Coli (APC). APC is an essential component of a cytoplasmic protein complex that targets β-catenin for
Bovine induced pluripotent stem cells are more resistant to apoptosis than testicular cells in response to mono-(2-ethylhexyl) phthalate.
Lin, YC; Kuo, KK; Wuputra, K; Lin, SH; Ku, CC; Yang, YH; Wang, SW; Wang, SW; Wu, DC; Wu et al.
International Journal of Molecular Sciences null
María E Ferrari et al.
Journal of cell science, 131(13) (2018-06-15)
The formation of complex dendritic arbors is crucial for the assembly of functional networks as abnormal dendrite formation underlies several neurodevelopmental and psychiatric disorders. Many extracellular factors have been postulated as regulators of dendritic growth. Wnt proteins play a critical

Our team of scientists has experience in all areas of research including Life Science, Material Science, Chemical Synthesis, Chromatography, Analytical and many others.

Contact Technical Service