Skip to Content
MilliporeSigma

05-1427

Sigma-Aldrich

Anti-ARF1 Antibody, clone 3F1

clone 3F1, from mouse

Synonym(s):

ADP-ribosylation factor 1

Sign Into View Organizational & Contract Pricing

Select a Size


About This Item

UNSPSC Code:
12352203
eCl@ss:
32160702
NACRES:
NA.41
Technical Service
Need help? Our team of experienced scientists is here for you.
Let Us Assist
Technical Service
Need help? Our team of experienced scientists is here for you.
Let Us Assist

biological source

mouse

Quality Level

conjugate

unconjugated

antibody form

purified immunoglobulin

antibody product type

primary antibodies

clone

3F1, monoclonal

species reactivity

rat, human, mouse

technique(s)

ELISA: suitable
immunohistochemistry: suitable (paraffin)
western blot: suitable

isotype

IgG2a

NCBI accession no.

UniProt accession no.

shipped in

wet ice

target post-translational modification

unmodified

Gene Information

human ... ARF1(375)
mouse ... Arf1(11840)

General description

ARF1 is a member of the ARF family of small G proteins and is a component of Golgi-derived non-clathrin coated vesicles. This antibody is class 1 ARF specific.
~21 kDa

Immunogen

Synthetic peptide corresponding to the C-terminal amino acid sequence of human ARF1.

Application

Anti-ARF1 Antibody, clone 3F1 detects level of ARF1 & has been published & validated for use in WB, ELISA, IH(P).
ELISA: A previous lot of this antibody was used in ELISA.
Optimal working dilutions must be determined by end user.

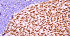
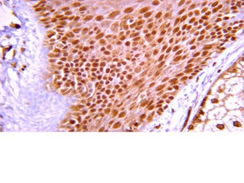
Immunohistochemistry(paraffin): Representative testing from a previous lot.
Optimal Staining of ARF1 Monoclonal Antibody: Skin & Breast Cancer

Biochem/physiol Actions

Recognizes human ARF1

Physical form

Format: Purified
Purified mouse monoclonal IgG2a in 0.02 M phosphate buffer, 0.25 M NaCl, pH 7.6, with 0.1% sodium azide

Analysis Note

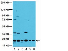
Routinely evaluated by Western Blot on HeLa lysates.

Western Blot Analysis: 1:500 dilution of this lot detected ARF1 on 10 μg of HeLa lysates.

Other Notes

Replaces: MAB3779

Not finding the right product?  

Try our Product Selector Tool.

Storage Class

12 - Non Combustible Liquids

wgk_germany

WGK 2

flash_point_f

Not applicable

flash_point_c

Not applicable


Certificates of Analysis (COA)

Search for Certificates of Analysis (COA) by entering the products Lot/Batch Number. Lot and Batch Numbers can be found on a product’s label following the words ‘Lot’ or ‘Batch’.

Already Own This Product?

Find documentation for the products that you have recently purchased in the Document Library.

Visit the Document Library

Our team of scientists has experience in all areas of research including Life Science, Material Science, Chemical Synthesis, Chromatography, Analytical and many others.

Contact Technical Service