Skip to Content
MilliporeSigma

05-1417

Sigma-Aldrich

Anti-PTP-PEST Antibody, clone AG25

ascites fluid, clone AG25, from mouse

Synonym(s):

Protein-tyrosine phosphatase G1, Tyrosine-protein phosphatase non-receptor type12, Protein tyrosine phosphatase, non-receptor type 12

Sign Into View Organizational & Contract Pricing

Select a Size


About This Item

UNSPSC Code:
12352203
eCl@ss:
32160702
NACRES:
NA.41
Technical Service
Need help? Our team of experienced scientists is here for you.
Let Us Assist
Technical Service
Need help? Our team of experienced scientists is here for you.
Let Us Assist

biological source

mouse

Quality Level

conjugate

unconjugated

antibody form

ascites fluid

antibody product type

primary antibodies

clone

AG25, monoclonal

species reactivity

human, mouse, rat

technique(s)

immunocytochemistry: suitable
immunoprecipitation (IP): suitable
western blot: suitable

isotype

IgG1

NCBI accession no.

UniProt accession no.

shipped in

wet ice

target post-translational modification

unmodified

Gene Information

human ... PTPN12(5782)

General description

The protein tyrosine phosphatase PTP-PEST is an cytosolic protein tyrosine phosphatase that is ubiquitously expressed in mammalian tissues. PTP-PEST associates with multiple cytoskeleton and cell adhesion molecules suggesting a regulatory role in controlling cell shape and motility.
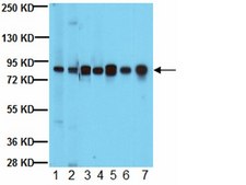
~88 kDa

Immunogen

Baculovirus expressed purified human PTP-PEST

Application

Anti-PTP-PEST Antibody, clone AG25 detects level of PTP-PEST & has been published & validated for use in WB, IP & IC.
Immunoprecipitation: Recommended.

Immunocytochemistry: Recommended.

Biochem/physiol Actions

Recognizes human PTP-PEST.

Physical form

Mouse monoclonal IgG1 ascites containing no preservatives.

Preparation Note

Maintain at -20°C in undiluted aliquots for up to 1 year from date of receipt.
Handling Recommendations: Upon first thaw, and prior to removing the cap, centrifuge the vial and gently mix the solution. Aliquot into microcentrifuge tubes and store at -20°C. Avoid repeated freeze/thaw cycles, which may damage IgG and affect product performance.

Analysis Note

Routinely evaluated by Western Blot on HeLa lysates.

Western Blot Analysis: 1:500 dilution of this lot detected PTP-PEST on 10 μg of HeLa lysates.

Other Notes

Replaces: MAB3739

Not finding the right product?  

Try our Product Selector Tool.

Storage Class

10 - Combustible liquids

wgk_germany

WGK 1

flash_point_f

Not applicable

flash_point_c

Not applicable


Certificates of Analysis (COA)

Search for Certificates of Analysis (COA) by entering the products Lot/Batch Number. Lot and Batch Numbers can be found on a product’s label following the words ‘Lot’ or ‘Batch’.

Already Own This Product?

Find documentation for the products that you have recently purchased in the Document Library.

Visit the Document Library

Our team of scientists has experience in all areas of research including Life Science, Material Science, Chemical Synthesis, Chromatography, Analytical and many others.

Contact Technical Service