Skip to Content
MilliporeSigma

05-1416

Sigma-Aldrich

Anti-CD45 Antibody, clone IBL-5/25

clone IBL-5/25, from rat

Synonym(s):

CD45 associated protein, CD45-associated protein, Lymphocyte phosphatase-associated phosphoprotein, PTPRC-associated protein, protein tyrosine phosphatase, receptor type, C-associated protein, protein tyrosine phosphatase, receptor type, c

polyp

Sign Into View Organizational & Contract Pricing

Select a Size


About This Item

UNSPSC Code:
12352203
eCl@ss:
32160702
NACRES:
NA.41
Technical Service
Need help? Our team of experienced scientists is here for you.
Let Us Assist
Technical Service
Need help? Our team of experienced scientists is here for you.
Let Us Assist

biological source

rat

Quality Level

conjugate

unconjugated

antibody form

purified immunoglobulin

antibody product type

primary antibodies

clone

IBL-5/25, monoclonal

species reactivity

mouse

technique(s)

flow cytometry: suitable
immunohistochemistry: suitable

isotype

IgG

NCBI accession no.

UniProt accession no.

shipped in

wet ice

target post-translational modification

unmodified

Gene Information

mouse ... Ptprc(19264)

Related Categories

General description

CD45 is a receptor-tyrosine phosphatase required for antigen-induced signaling in T-cells and B-cells; its substrates are unknown. Interestingly, it associates with several Src-family tyrosine kinases, which are inhibited by tyrosine phosphorylation in their c-termini, suggesting a mechanism for signaling by CD45.
Approx. 147 kDa

Immunogen

Mouse lymph node cells.

Application

Anti-CD45 Antibody, clone IBL-5/25 is an antibody against CD45 for use in FC, IH.
Flow Cytometry Analysis: A previous lot detected CD45, clone IBL-5/25 in mouse peripheral blood lymphocytes

Biochem/physiol Actions

Reactivity with other species has not been determined.
This antibody reacts with all isoforms of mouse CD45 which is expressed on all haematopoietic cells except erythrocytes.
FUSION PARTNER: SP2/0 myeloma cell line

Physical form

Format: Purified
Purified rat monoclonal IgG in phosphate buffered saline containing 10 mM sodium azide.

Preparation Note

Store at 2-8°C for 12 months from date of receipt.

Analysis Note

Control
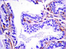
Mouse colon tissue
Evaluated by Immunohistochemistry in mouse colon tissue.
Immunohistochemistry Analysis: 1:100 dilution of this antibody detected CD45 in mouse colon tissue.

Other Notes

Concentration: Please refer to the Certificate of Analysis for the lot-specific concentration.
Replaces: CBL1326

Not finding the right product?  

Try our Product Selector Tool.

Storage Class

10 - Combustible liquids

wgk_germany

WGK 2

flash_point_f

Not applicable

flash_point_c

Not applicable


Certificates of Analysis (COA)

Search for Certificates of Analysis (COA) by entering the products Lot/Batch Number. Lot and Batch Numbers can be found on a product’s label following the words ‘Lot’ or ‘Batch’.

Already Own This Product?

Find documentation for the products that you have recently purchased in the Document Library.

Visit the Document Library

Oxidative stress, inflammation, and autophagic stress as the key mechanisms of premature age-related hearing loss in SAMP8 mouse Cochlea.
Menardo, Julien, et al.
Antioxidants & Redox Signaling, 16, 263-274 (2012)
Aleksandra Vukojicic et al.
Cell reports, 29(10), 3087-3100 (2019-12-05)
Movement is an essential behavior requiring the assembly and refinement of spinal motor circuits. However, the mechanisms responsible for circuit refinement and synapse maintenance are poorly understood. Similarly, the molecular mechanisms by which gene mutations cause dysfunction and elimination of
Jorge Santini-González et al.
Frontiers in endocrinology, 13, 989815-989815 (2022-12-13)
There is a critical need for therapeutic approaches that combine renewable sources of replacement beta cells with localized immunomodulation to counter recurrence of autoimmunity in type 1 diabetes (T1D). However, there are few examples of animal models to study such
Merkel Cell Polyomavirus Small T Antigen Induces Cancer and Embryonic Merkel Cell Proliferation in a Transgenic Mouse Model.
Shuda, M; Guastafierro, A; Geng, X; Shuda, Y; Ostrowski, SM; Lukianov, S; Jenkins et al.
Testing null
Kristel Martínez-Lagunas et al.
Cell death and differentiation, 27(4), 1398-1414 (2019-10-02)
Despite the great progress on the cell biology of programmed cell death (PCD), its incidence and exact time course during embryonic and particular heart development are still unclear. This is also due to the lack of models enabling to directly

Our team of scientists has experience in all areas of research including Life Science, Material Science, Chemical Synthesis, Chromatography, Analytical and many others.

Contact Technical Service