Skip to Content
MilliporeSigma

05-1308

Sigma-Aldrich

Anti-Ubiquitin Antibody, Lys63-Specific, clone Apu3, rabbit monoclonal

clone Apu3, from rabbit

Synonym(s):

Anti-Ubiquitin, Clone Apu3 Anti-Ubiquitin, Lys63-Specific Ubiquitin Antibody

Sign Into View Organizational & Contract Pricing

Select a Size


About This Item

UNSPSC Code:
12352203
eCl@ss:
32160702
NACRES:
NA.41
Technical Service
Need help? Our team of experienced scientists is here for you.
Let Us Assist
Technical Service
Need help? Our team of experienced scientists is here for you.
Let Us Assist

biological source

rabbit

Quality Level

conjugate

unconjugated

antibody form

purified antibody

antibody product type

primary antibodies

clone

Apu3, monoclonal

species reactivity

rat, human, mouse, rabbit

technique(s)

cell based assay: suitable
immunocytochemistry: suitable
immunohistochemistry: suitable
immunoprecipitation (IP): suitable
western blot: suitable

isotype

IgG

UniProt accession no.

shipped in

wet ice

target post-translational modification

unmodified

Gene Information

human ... UBAP2(55833)

General description

DI-UBIQUITIN PROTEIN AVAILABLE!
Di-Ubiquitin (Lys63-linked) Recombinant Protein (17-10388)
Polyubiquitin chains linked through the Lys63 residue of ubiquitin (Ub) are associated with nonproteolytic functions such as signal transduction. Lys63-linked polyUb chains connect components of NFκB signaling in a highly regulated manner, and genetic evidence indicates the involvement of Lys63-linked Ub chains in stress response and DNA repair. Research in yeast has suggested Lys63-linked Ub chains stimulate endocytosis.

In contrast, polyubiquitin chains linked through the Lys48 residue of ubiquitin are most commonly associated with proteins targeted for proteosomal degradation.
varies

Immunogen

Epitope: Lys63 ubiquitination site
Immunogen used was human di-ubiquitin linked at Lys63.

Application

Immmunoprecipitation:
Rabbit monoclonal anti-ubiquitin (Lys-63-specific), clone Apu3, precipitated ubiquitin-containing proteins from HeLa cell lysates

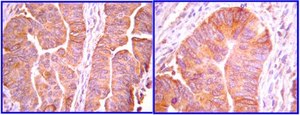
Immunohistochemistry:
Ubiquitin (Lys63-specific) staining of colorectal cancer tissue sections is restricted to tumor cells.

Flow cytometry:
Flow cytometry analysis of Jurkat cells using Anti-ubiquitin Lys63-specific (#05-1308) (blue) and rabbit IgG control (red).

Inhibition Assay:
Preincubation of anti-ubiquitin, Lys63-specific, with K63-multiubiquitin chains inhibited binding to HeLa cell lysate in Western blots.

Immunocytochemistry:
Ubiquitin (Lys63-specific) staining of colorectal cancer tissue sections is restricted to tumor cells. Positive staining was also detected in mouse, rat, and rabbit brain sections.
Anti-Ubiquitin Antibody, Lys63-Specific, clone Apu3 is a high quality Rabbit Monoclonal Antibody for the detection of Ubiquitin and has been validated in Inhibition Assay (PIA), Immunocytochemistry (ICC), Immunoprecipitation (IP), Immunohistochemistry (IHC) and Western Blotting (WB).
Research Category
Signaling
Research Sub Category
Ubiquitin & Ubiquitin Metabolism

Biochem/physiol Actions

Based on sequence homology, broad species cross-reactivity is expected.
Recognizes ubiquitin linked at Lys63. Does not recognize ubiquitin linked at Lys48 or free ubiquitin.

Physical form

Format: Purified
Protein A purified
Protein A purified recombinant rabbit monoclonal antibody that consists of a humanized fAb fragment fused to a rabbit Fc tail produced in a CHO recombinant antibody system. Supplied in 0.1M Tris-Glycine (pH7.4) 150 mM NaCl, 0.05% sodium azide.

Preparation Note

Stable for 1 year at 2-8°C from date of receipt.
For maximum recovery of product, centrifuge the vial prior to removing the cap.

Analysis Note

Western Blot Analysis:
A 1:1000 dilution of this antibody detected Lys-63 ubiquitin chains by Western blotting, but did not detect free ubiquitin or Lys48 polyubiquitin chains.
Control
Lys63 polyubiquitin chains.

Disclaimer

Unless otherwise stated in our catalog or other company documentation accompanying the product(s), our products are intended for research use only and are not to be used for any other purpose, which includes but is not limited to, unauthorized commercial uses, in vitro diagnostic uses, ex vivo or in vivo therapeutic uses or any type of consumption or application to humans or animals.

Not finding the right product?  

Try our Product Selector Tool.

Storage Class

12 - Non Combustible Liquids

wgk_germany

WGK 1

flash_point_f

Not applicable

flash_point_c

Not applicable


Certificates of Analysis (COA)

Search for Certificates of Analysis (COA) by entering the products Lot/Batch Number. Lot and Batch Numbers can be found on a product’s label following the words ‘Lot’ or ‘Batch’.

Already Own This Product?

Find documentation for the products that you have recently purchased in the Document Library.

Visit the Document Library

CARMA1 controls Th2 cell-specific cytokine expression through regulating JunB and GATA3 transcription factors.
Blonska, M; Joo, D; Zweidler-McKay, PA; Zhao, Q; Lin, X
Journal of immunology (Baltimore, Md. : 1950) (1950)
Unique insights into maternal mitochondrial inheritance in mice.
Luo, SM; Ge, ZJ; Wang, ZW; Jiang, ZZ; Wang, ZB; Ouyang, YC; Hou, Y; Schatten, H; Sun, QY
Proceedings of the National Academy of Sciences of the USA null
Kate E Keller et al.
Molecular vision, 19, 1639-1655 (2013-08-01)
Ankyrin repeat and suppressor of cytokine signaling (SOCS) box containing protein-10 (ASB10) was recently identified as a gene that causes primary open-angle glaucoma. Here, we investigated endogenous ASB10 protein expression in human trabecular meshwork (HTM) cells to provide the first
Bifunctional apoptosis regulator (BAR), an endoplasmic reticulum (ER)-associated E3 ubiquitin ligase, modulates BI-1 protein stability and function in ER Stress.
Rong, J; Chen, L; Toth, JI; Tcherpakov, M; Petroski, MD; Reed, JC
The Journal of Biological Chemistry null
Cellular inhibitor of apoptosis (cIAP)-mediated ubiquitination of phosphofurin acidic cluster sorting protein 2 (PACS-2) negatively regulates tumor necrosis factor-related apoptosis-inducing ligand (TRAIL) cytotoxicity.
Guicciardi, ME; Werneburg, NW; Bronk, SF; Franke, A; Yagita, H; Thomas, G; Gores, GJ
Testing null

Our team of scientists has experience in all areas of research including Life Science, Material Science, Chemical Synthesis, Chromatography, Analytical and many others.

Contact Technical Service