Skip to Content
MilliporeSigma

04-791

Sigma-Aldrich

Anti-mono/di/trimethyl-Histone H3 (Lys4) Antibody, clone AW304, rabbit monoclonal

culture supernatant, clone AW304, Upstate®

Synonym(s):

H3K4me, Histone H3 (methyl K4)

Sign Into View Organizational & Contract Pricing

Select a Size


About This Item

UNSPSC Code:
12352203
eCl@ss:
32160702
NACRES:
NA.41
Technical Service
Need help? Our team of experienced scientists is here for you.
Let Us Assist
Technical Service
Need help? Our team of experienced scientists is here for you.
Let Us Assist

biological source

rabbit

Quality Level

antibody form

culture supernatant

antibody product type

primary antibodies

clone

AW304, monoclonal

species reactivity

vertebrates, human

manufacturer/tradename

Upstate®

technique(s)

ChIP: suitable
inhibition assay: suitable (peptide)
multiplexing: suitable
western blot: suitable

isotype

IgG

NCBI accession no.

UniProt accession no.

shipped in

dry ice

target post-translational modification

monomethylation (Lys4)

Gene Information

human ... H3C1(8350)

General description

Histones are highly conserved proteins that serve as the structural scaffold for the organization of nuclear DNA into chromatin. The four core histones, H2A, H2B, H3, and H4, assemble into an octamer (2 molecules of each). Subsequently, 146 base pairs of DNA are wrapped around the octamer, forming a nucleosome, the basic subunit of chromatin. Histones are modified post-translationally by the actions of enzymes in both the nucleus and cytoplasm. These modifications regulate DNA transcription, repair, recombination, and replication. The most commonly studied modifications are acetylation, phosphorylation, methylation, and ubiquitination. These modifications can alter local chromatin architecture, or recruit trans-acting factors that recognize specific histone modifications (the "histone code" hypothesis). The modifications occur predominantly on the N-terminal and C-terminal tails that extend beyond the nucleosome core particle. Histone methylation is primarily associated with heterochromatin and gene silencing.
~17 kDa

Immunogen

Epitope: Lys4 of Histone H3
KLH-conjugated, synthetic peptide containing …Tme2KQT… in which me2K corresponds to dimethyl-lysine at residue 4 of human histone H3.

Application

Chromatin Immunoprecipitation:
The antibody was reported by an independent laboratory as suitable for ChIP.

Immunoblot Analysis:
A previous lot detected methylated Histone H3 in acid-extracted proteins from HeLa cells. The antibody did not detect unmethylated recombinant histone H3 (Catalog # 14-494).

Peptide Inhibition Analysis:
2 μM of a histone H3 peptide containing monomethyl-lysine 4, dimethyl lysine 4, and trimethyl-lysine 4 abolished detection of histone H3 by this lot in immunoblot analysis of HeLa acid extracts. Some signal reduction was observed with histone H3 peptides containing dimethyl-lysine 9 or 27.

Beadlyte Histone-Peptide Specificity Assay: 1:1,000-1:2,000 dilutions of this lot were incubated with histone H3 peptides containing various modifications conjugated to Luminex microspheres. Specificity for mono, di, and trimethyl-lysine 4 was demonstrated.
Research Category
Epigenetics & Nuclear Function
Research Sub Category
Histones
Use Anti-mono/di/trimethyl-Histone H3 (Lys4) Antibody, clone AW304 (rabbit monoclonal antibody) validated in ChIP, WB, PIA, Mplex to detect mono/di/trimethyl-Histone H3 (Lys4) also known as H3K4me, Histone H3 (methyl K4).

Biochem/physiol Actions

Monomethyl, dimethyl, and trimethyl histone H3 (Lys4). Additional unidentified bands above 50 kDa are detected in some samples
The immunizing sequence is conserved from Tetrahymena to human, so broad cross-reactivity is expected.

Physical form

Cultured supernantant in 0.05% sodium azide

Preparation Note

Stable for 1 year at 2-8°C from date of receipt.
For maximum recovery of product, centrifuge the vial prior to removing the cap. Avoid repeated freeze/thaw cycles, which may damage IgG and affect product performance.

Analysis Note

Control
HeLa cell nuclear or acid extracts.
Routinely evaluated by immunoblot on nuclear extract from HeLa cells.

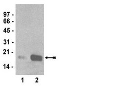
Immunoblot Analysis: A 1:500 (lane 1) and 1:1000 (lane 2) dilution of this lot detected methylated Histone H3 in HeLa nuclear extracts.

Other Notes

Replaces: 05-791

Legal Information

UPSTATE is a registered trademark of Merck KGaA, Darmstadt, Germany

Disclaimer

Unless otherwise stated in our catalog or other company documentation accompanying the product(s), our products are intended for research use only and are not to be used for any other purpose, which includes but is not limited to, unauthorized commercial uses, in vitro diagnostic uses, ex vivo or in vivo therapeutic uses or any type of consumption or application to humans or animals.

Not finding the right product?  

Try our Product Selector Tool.

Storage Class

12 - Non Combustible Liquids

wgk_germany

WGK 1

flash_point_f

Not applicable

flash_point_c

Not applicable


Certificates of Analysis (COA)

Search for Certificates of Analysis (COA) by entering the products Lot/Batch Number. Lot and Batch Numbers can be found on a product’s label following the words ‘Lot’ or ‘Batch’.

Already Own This Product?

Find documentation for the products that you have recently purchased in the Document Library.

Visit the Document Library

Quantitative analysis of the chromatin proteome in disease reveals remodeling principles and identifies high mobility group protein B2 as a regulator of hypertrophic growth.
Franklin, S; Chen, H; Mitchell-Jordan, S; Ren, S; Wang, Y; Vondriska, TM
Molecular and Cellular Proteomics null
Progressive histone alterations and proinflammatory gene activation: consequences of heme protein/iron-mediated proximal tubule injury.
Zager RA, Johnson AC
American Journal of Physiology: Renal Physiology null
Anastasia Kougioumtzi et al.
PloS one, 9(6), e98404-e98404 (2014-06-05)
Despite the pleiotropic effects of the progesterone receptor in breast cancer, the molecular mechanisms in play remain largely unknown. To gain a global view of the PR-orchestrated networks, we used next-generation sequencing to determine the progestin-regulated transcriptome in T47D breast
Takayuki Satoh et al.
European journal of immunology, 42(9), 2329-2342 (2012-06-08)
The plasticity of T lymphocytes induced by epigenetic modifications of gene promoters may play a pivotal role in controlling their effector functions, which are sometimes causally associated with immune disorders. IL -17-producing T cells, which induce type 17 immune responses
Youichi Teratake et al.
Scientific reports, 6, 26244-26244 (2016-05-20)
The Nczf gene has been identified as one of Ncx target genes and encodes a novel KRAB zinc-finger protein, which functions as a sequence specific transcriptional repressor. In order to elucidate Nczf functions, we generated Nczf knockout (Nczf-/-) mice. Nczf-/-

Our team of scientists has experience in all areas of research including Life Science, Material Science, Chemical Synthesis, Chromatography, Analytical and many others.

Contact Technical Service