Skip to Content
MilliporeSigma

04-736

Sigma-Aldrich

Anti-phospho-Akt1/PKBα (Ser473) Antibody, clone SK703, rabbit monoclonal

culture supernatant, clone SK703, Upstate®

Synonym(s):

AKT1 kinase, Protein kinase B, RAC-alpha serine/threonine-protein kinase, rac protein kinase alpha, v-akt murine thymoma viral oncogene homolog 1

Sign Into View Organizational & Contract Pricing

Select a Size


About This Item

UNSPSC Code:
12352203
eCl@ss:
32160702
NACRES:
NA.41
Technical Service
Need help? Our team of experienced scientists is here for you.
Let Us Assist
Technical Service
Need help? Our team of experienced scientists is here for you.
Let Us Assist

biological source

rabbit

Quality Level

antibody form

culture supernatant

antibody product type

primary antibodies

clone

SK703, monoclonal

species reactivity

mouse, human

manufacturer/tradename

Upstate®

technique(s)

western blot: suitable

isotype

IgG

NCBI accession no.

UniProt accession no.

shipped in

dry ice

target post-translational modification

phosphorylation (pSer473)

Gene Information

human ... AKT1(207)

General description

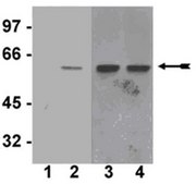
60kDa
The serine/threonine kinase Akt family contains several members, including Akt1 (also designated PKBα or RacPK), Akt2 (also designated PKB-β or RacPK-β) and Akt3 (also designated PKB-γ or thyoma viral proto-oncogene 3). Akt1 and Akt2 are activated by PDGF stimulation. This activation is dependent on PDGFR-β tyrosine residues 740 and 751, which bind the 85 kDa subunit of the phosphatidylinositol 3-kinase (PI 3-kinase) complex. Activation of Akt1 by insulin or insulin-growth factor-1 (IGF-1) results in phosphorylation of both Thr 308 and Ser 473. Phosphorylation of both residues is important to generate a high level of Akt1 activity, and the phosphorylation of Thr 308 is not dependent on phosphorylation of Ser 473 in vivo. Thus, Akt proteins become phosphorylated and activated in insulin/IGF-1- stimulated cells by an upstream kinase(s). The activation of Akt1 and Akt2 is inhibited by the PI kinase inhibitor wortmannin. Taken together, this data strongly suggests that the protein signals downstream of the PI kinases.

Immunogen

Epitope: Phosphorylated Ser473
Peptide containing a pSer that corresponds to amino acid position 473 of human Akt1/PKBa

Application

Anti-Akt1 Antibody, clone SK703 detects level of phospho-Akt1/PKBα (Ser473) & has been published & validated for use in WB.
Research Category
Signaling
Research Sub Category
PI3K, Akt, & mTOR Signaling

Biochem/physiol Actions

Predicted cross-reactivity with rat, bovine, chicken, and Xenopus based on immunogen sequence homology.
Recognizes phosphorylated Akt1/PKBα, Mr 60 kDa. Cross-reactivity to phosphorylated Akt2 and Akt3 likely based on sequence homology.

Physical form

Cultured supernantant in 0.05% sodium azide

Preparation Note

Stable for 1 year at -20°C from date of receipt. Handling Recommendations: Upon receipt, and prior to removing the cap, centrifuge the vial and gently mix the solution. Aliquot into microcentrifuge tubes and store at -20°C. Avoid repeated freeze/thaw cycles, which may damage IgG and affect product performance.

Analysis Note

Control
Untreated and PDGF treated NIH-3T3 fibroblasts.
routinely evaluated by immunoblot on lysates from mouse NIH-3T3 fibroblasts treated with PDGF

Other Notes

Replaces: 05-736

Legal Information

UPSTATE is a registered trademark of Merck KGaA, Darmstadt, Germany

Disclaimer

Unless otherwise stated in our catalog or other company documentation accompanying the product(s), our products are intended for research use only and are not to be used for any other purpose, which includes but is not limited to, unauthorized commercial uses, in vitro diagnostic uses, ex vivo or in vivo therapeutic uses or any type of consumption or application to humans or animals.

Not finding the right product?  

Try our Product Selector Tool.

Storage Class

12 - Non Combustible Liquids

wgk_germany

WGK 1

flash_point_f

Not applicable

flash_point_c

Not applicable


Certificates of Analysis (COA)

Search for Certificates of Analysis (COA) by entering the products Lot/Batch Number. Lot and Batch Numbers can be found on a product’s label following the words ‘Lot’ or ‘Batch’.

Already Own This Product?

Find documentation for the products that you have recently purchased in the Document Library.

Visit the Document Library

Meiwan Cao et al.
Journal of immunology (Baltimore, Md. : 1950), 198(5), 1887-1899 (2017-01-29)
In myelodysplastic syndromes (MDS), functional defects of neutrophils result in high mortality because of infections; however, the molecular basis remains unclear. We recently found that miR-34a and miR-155 were significantly increased in MDS neutrophils. To clarify the effects of the
Heidi Hynynen et al.
Physiological reports, 8(13), e14474-e14474 (2020-07-10)
Dietary fats are essential for cardiac function. The metabolites of fats known as fatty acids provide most of the energy for cardiac tissue, serve as building blocks for membranes and regulate important signaling cascades. Despite their importance, excess fat intake
Jingjing Wu et al.
Molecular medicine reports, 20(4), 3233-3239 (2019-08-23)
Homoharringtonine (HHT) and imatinib have a synergistic effect in the clinical treatment of chronic myeloid leukemia (CML). The purpose of the present study was to explore the underlying mechanisms by which HHT enhanced imatinib sensitivity. K562 CML cells were treated

Our team of scientists has experience in all areas of research including Life Science, Material Science, Chemical Synthesis, Chromatography, Analytical and many others.

Contact Technical Service