Skip to Content
Merck

ZRB2694

Anti-CDK9 Antibody, clone 1F9 ZooMAb® Rabbit Monoclonal

greener alternative

recombinant, expressed in HEK 293 cells

Synonym(s):

C-2K, Cell division cycle 2-like protein kinase 4, CDC2L4, Cell division protein kinase 9, EC:2.7.11.22, EC:2.7.11.23, Serine/threonine-protein kinase PITALRE, TAK, Tat-associated kinase complex catalytic subunit

Sign In to View Organizational & Contract Pricing.

Select a Size

Change View

About This Item

UNSPSC Code:
12352203
NACRES:
NA.41
Conjugate:
unconjugated
Clone:
1F9, recombinant monoclonal
Application:
ICC, IHC, WB, affinity binding assay
Citations:
-
Technical Service
Need help? Our team of experienced scientists is here for you.
Let Us Assist


biological source

rabbit

Quality Level

recombinant

expressed in HEK 293 cells

conjugate

unconjugated

antibody form

purified antibody

antibody product type

primary antibodies

clone

1F9, recombinant monoclonal

description

recombinant, expressed in HEK 293 cells

product line

ZooMAb® learn more

form

lyophilized

mol wt

calculated mol wt 43 kDa, observed mol wt ~43 kDa

purified by

using Protein A

species reactivity

human, rat

species reactivity (predicted by homology)

mouse, monkey

packaging

antibody small pack of 25

greener alternative product characteristics

Waste Prevention
Designing Safer Chemicals
Design for Energy Efficiency
Learn more about the Principles of Green Chemistry.

enhanced validation

recombinant expression
Learn more about Antibody Enhanced Validation

sustainability

Greener Alternative Product

technique(s)

affinity binding assay: suitable, immunocytochemistry: suitable, immunohistochemistry: suitable, western blot: suitable

isotype

IgGκ

epitope sequence

Internal

Protein ID accession no.

UniProt accession no.

greener alternative category

shipped in

ambient

storage temp.

2-8°C

Gene Information

human ... CDK9(1025)

General description

Cyclin-dependent kinase 9 (UniProt: P50750; EC:2.7.11.22; EC:2.7.11.23; also known as C-2K, Cell division cycle 2-like protein kinase 4, Cell division protein kinase 9, Serine/threonine-protein kinase PITALRE, Tat-associated kinase complex catalytic subunit) is encoded by the CDK9 (also known as CDC2L4, TAK) gene (Gene ID: 1025) in human. Cyclin-dependent kinase 9 (CDK9) is a member of the cyclin-dependent kinase family, which are critical regulators of cell cycle progression and transcription. CDK9 is a serine/threonine kinase and forms a complex with cyclin T or cyclin K, which are regulatory subunits necessary for its activation. The structure of CDK9 includes a typical kinase domain and a regulatory T-loop that must be phosphorylated for its full activity. The primary function of CDK9 is the regulation of transcription elongation. As part of the positive transcription elongation factor b (P-TEFb), CDK9 phosphorylates the carboxy-terminal domain (CTD) of RNA polymerase II (RNAPII), which allows RNAPII to transition from promoter-proximal pausing to productive elongation. It also phosphorylates negative elongation factors, which relieves their inhibitory effect on transcription elongation. CDK9 is ubiquitously expressed in human tissues. It is essential for the expression of short-lived genes such as those encoding for growth factors and cytokines, which are vital for immediate early responses to cell stimuli. Overexpression or hyperactivation of CDK9 is observed in various cancers, and it is considered a potential target for cancer therapy. CDK9 is involved in the regulation of genes linked to myocardial growth and hypertrophy. Its dysregulation can contribute to pathological cardiac remodeling and heart failure. CDK9 is hijacked by the HIV virus to promote the transcription of its genome. Inhibitors of CDK9 can suppress HIV replication and are investigated as potential therapeutic agents. Given CDK9 s role in the expression of cytokines and growth factors, it can be involved in the pathogenesis of various inflammatory conditions. CDK9 inhibitors are being investigated for their therapeutic potential in these diseases. However, the systemic inhibition of such a key regulatory kinase poses potential side effects, given its widespread role in gene expression.
We are committed to bringing you greener alternative products, which adhere to one or more of the 12 Principles of Green Chemistry. This antibody is preservative-free, produced without the harm or sacrifice of animals and exceptionally stable to allow for ambient shipping and storage if needed, and thus aligns with "Waste Prevention", "Designing Safer Chemicals" and "Design for Energy Efficiency". Click here for more information.
ZooMAb® antibodies represent an entirely new generation of recombinant monoclonal antibodies. Each ZooMAb® antibody is manufactured using our proprietary recombinant expression system, purified to homogeneity, and precisely dispensed to produce robust and highly reproducible lot-to-lot consistency. Only top-performing clones are released for use by researchers. Each antibody is validated for high specificity and affinity across multiple applications, including its most commonly used application. ZooMAb® antibodies are reliably available and ready to ship when you need them.

Immunogen

KLH-conjugated linear peptide corresponding to 25 amino acids from the internal part of human CDK9.

Application

Quality Control Testing

Evaluated by Western Blotting in U-251 MG cell lysate.

Western Blotting Analysis: A 1:1,000 dilution of this antibody detected CDK9 in U-251 MG cell lysate.

Tested Applications

Western Blotting Analysis: A 1:1,000 dilution from a representative lot detected CDK9 in C6 cell lysates.

Immunocytochemistry Analysis: A 1:1,000 dilution from a representative lot detected CDK9 in U-251 MG cells.

Affinity Binding Assay: A representative lot of this antibody bound CDK9 peptide with at least one thousand-fold (1,000X) higher than with non-specific control peptide.

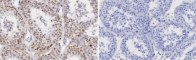
Immunohistochemistry (Paraffin) Analysis: A 1:1,000 dilution from a representative lot detected CDK9 in human testis tissue sections.

Note: Actual optimal working dilutions must be determined by end user as specimens, and experimental conditions may vary with the end user.

Biochem/physiol Actions

Clone 1F9 is a ZooMAb® rabbit recombinant monoclonal antibody that detects CDK9. It targets an epitope within 25 amino acids from the internal part of the protein.

Physical form

Purified recombinant rabbit monoclonal antibody IgG, lyophilized in PBS with 5% Trehalose, normal appearance a coarse or translucent resin. The PBS/trehalose components in the ZooMAb formulation can have the appearance of a semi-solid (bead like gel) after lyophilization. This is a normal phenomenon. Please follow the recommended reconstitution procedure in the data sheet to dissolve the semi-solid, bead-like, gel-appearing material. The resulting antibody solution is completely stable and functional as proven by full functional testing. Contains no biocide or preservatives, such as azide, or any animal by-products. Larger pack sizes provided as multiples of 25 µL.

Preparation Note

Recommend storage of lyophilized product at 2-8°C; Before reconstitution, micro-centrifuge vials briefly to spin down material to bottom of the vial; Reconstitute each vial by adding 25 µL of filtered lab grade water or PBS; Reconstituted antibodies can be stored at 2-8°C, or -20°C for long term storage. Avoid repeated freeze-thaws.
Reconstitute lyophilized antibody pellet with 25μL of ultrapure water or Phosphate Buffered Saline (PBS). Please refer to our reconstitution protocol and the specific application guidance on the suggested starting dilutions and sample type.

Legal Information

ZooMAb is a registered trademark of Merck KGaA, Darmstadt, Germany

Disclaimer

Unless otherwise stated in our catalog or other company documentation accompanying the product(s), our products are intended for research use only and are not to be used for any other purpose, which includes but is not limited to, unauthorized commercial uses, in vitro diagnostic uses, ex vivo or in vivo therapeutic uses or any type of consumption or application to humans or animals.


Still not finding the right product?

Try our Product Selector Tool to narrow your options


Storage Class

11 - Combustible Solids

wgk

WGK 2

flash_point_f

Not applicable

flash_point_c

Not applicable



Choose from one of the most recent versions:

Certificates of Analysis (COA)

Lot/Batch Number

It looks like we've run into a problem, but you can still download Certificates of Analysis from our Documents section.

If you need assistance, please contact Customer Support

Already Own This Product?

Find documentation for the products that you have recently purchased in the Document Library.

Visit the Document Library



Global Trade Item Number

SKUGTIN
ZRB2694-25UL04065271965294
ZRB2694-4X25UL04065271965300