Skip to Content
Merck

ZRB2217

Anti-hCE-1/CES1 Antibody, clone 1D4 ZooMAb® Rabbit Monoclonal

greener alternative

recombinant, expressed in HEK 293 cells

Synonym(s):

ACAT, Acyl-coenzyme A:cholesterol acyltransferase, Brain carboxylesterase hBr1, CE-1, Carboxylesterase 1, Cocaine carboxylesterase, EC: 3.1.1.13, Egasyn, HMSE, Liver carboxylesterase 1, Monocyte/macrophage serine esterase, REH, Retinyl ester hydrolase, Serine esterase 1, TGH, Triacylglycerol hydrolase, hCE-1

Sign In to View Organizational & Contract Pricing.

Select a Size

Change View

About This Item

NACRES:
NA.43
UNSPSC Code:
12352203
Conjugate:
unconjugated
Clone:
1D4, recombinant monoclonal
Application:
ICC, IHC, WB, affinity binding assay
Citations:
-
Technical Service
Need help? Our team of experienced scientists is here for you.
Let Us Assist


biological source

rabbit

Quality Level

recombinant

expressed in HEK 293 cells

conjugate

unconjugated

antibody form

purified antibody

antibody product type

primary antibodies

clone

1D4, recombinant monoclonal

description

recombinant, expressed in HEK 293 cells

product line

ZooMAb® learn more

form

lyophilized

purified by

using Protein A

species reactivity

rat, human, mouse

packaging

antibody small pack of 25 μL

greener alternative product characteristics

Waste Prevention
Designing Safer Chemicals
Design for Energy Efficiency
Learn more about the Principles of Green Chemistry.

enhanced validation

recombinant expression
Learn more about Antibody Enhanced Validation

sustainability

Greener Alternative Product

technique(s)

affinity binding assay: suitable, immunocytochemistry: suitable, immunohistochemistry: suitable, western blot: suitable

isotype

IgG

epitope sequence

C-terminal

Protein ID accession no.

UniProt accession no.

greener alternative category

shipped in

ambient

storage temp.

2-8°C

Gene Information

human ... CES1(1066)

General description

Liver carboxylesterase 1 (UniProt: P23141; also known as EC: 3.1.1.13, Acyl-coenzyme A:cholesterol acyltransferase, ACAT, Brain carboxylesterase hBr1, Carboxylesterase 1, CE-1, hCE-1, Cocaine carboxylesterase, Egasyn, HMSE, Monocyte/macrophage serine esterase, Retinyl ester hydrolase, REH, Serine esterase 1, Triacylglycerol hydrolase, TGH) is encoded by the CES1 (also known as CES2, SES1) gene (Gene ID: 1066) in human. hCE-1/CES1 is a member of the serine hydrolase superfamily that is localized within the lumen of the endoplasmic reticulum in many tissues. It is synthesized with a signal peptide (aa 1-17), which is subsequently cleaved off to produce the mature enzyme. This cleavage can occur at 2 positions, either between Trp-17 and Gly-18 or between Gly-18 and His-19. It is highly expressed in the liver but can be found to a lesser extent in the intestine, macrophages, and other tissues. It catalyzes the ester cleavage of a large number of structurally diverse ester- or amide-containing substrates into the corresponding alcohol and carboxylic acid. It is involved in the detoxification of xenobiotics and in the activation of ester and amide prodrugs.  It also possesses triglyceride and cholesterol ester hydrolase activity and may play an important role in regulating lipid metabolism.  It hydrolyzes cellular cholesteryl esters to free cholesterols and promotes reverse cholesterol transport by facilitating both the initial and final steps in the process. It allows free cholesterol efflux from macrophages to extracellular cholesterol acceptors and then releases free cholesterol from lipoprotein-delivered cholesteryl esters in the liver for bile acid synthesis or direct secretion into the bile. hCE-1/CES1 can exist either in a homotrimeric or a homohexameric form. Three isoforms of hCE-1/CES1 have been described that are produced by alternative splicing. This ZooMAb® recombinant monoclonal antibody, generated by our propriety technology, offers significantly enhanced specificity, Affinity, reproducibility, and stability over conventional monoclonals. (Ref.: Laizure., SC et al., (2013). Pharmacotherapy. 33(2): 210-222; Zhao, B., et al. (2008). J. lipid Res. 49(100; 2212-2217; Zhao, B., et al. (2005). J. Lipid Res. 46(10); 2114-21210.
We are committed to bringing you greener alternative products, which adhere to one or more of The 12 Principles of Green Chemistry.This antibody is Preservative-free, produced without the harm or sacrifice of animals and exceptionally stable to allow for ambient shipping and storage if needed and thus aligns with "Waste Prevention", "Designing Safer Chemicals" and "Design for Energy Efficiency". Click here for more information.
ZooMAb® antibodies represent an entirely new generation of recombinant monoclonal antibodies. Each ZooMAb® antibody is manufactured using our proprietary recombinant expression system, purified to homogeneity, and precisely dispensed to produce robust and highly reproducible lot-to-lot consistency. Only top-performing clones are released for use by researchers. Each antibody is validated for high specificity and affinity across multiple applications, including its most commonly used application. ZooMAb® antibodies are reliably available and ready to ship when you need them.

Immunogen

KLH-conjugated linear peptide corresponding to 14 amino acids from the C-terminal region of human Liver Carboxylesterase 1 (CES1).

Application

Quality Control Testing

Evaluated by Western Blotting in A549 cell lysate.

Western Blotting Analysis: A 1:10,000 dilution of this antibody detected hCE-1/CES1 in A549 cell lysate.

Tested Applications

Western Blotting Analysis: A 1:1,000 dilution from a representative lot detected hCE-1/CES1 in Human liver, Mouse liver, and Rat liver tissue lysates.

Western Blotting Analysis (WB): A 1:1,000 dilution of this antibody detected hCE-1/CES1 in THP-1 lysate from cells, but much reduced expression was observed in lysates from THP-1 cells with hCE-1/CES1 knockout. (Data courtesy of Dr Matthew Ross from Mississippi State University).

.

Affinity Binding Assay:: A representative lot of this antibody bound hCE-1/CES1 peptide with a KD of 1.1 x 10-7 n an affinity binding assay.

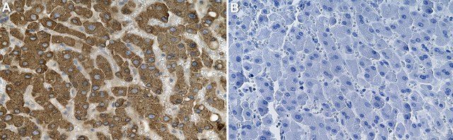
Immunohistochemistry (Paraffin) Analysis: A 1:1,000 dilution from a representative lot detected hCE-1/CES1 in Human liver tissue sections.

Immunocytochemistry Analysis: A 1:100 dilution from a representative lot detected hCE-1/CES1 in A549 cells.

Note: Actual optimal working dilutions must be determined by end user as specimens, and experimental conditions may vary with the end user.

Biochem/physiol Actions

Clone 1D4 is a ZooMAb® rabbit recombinant monoclonal antibody that specifically detects Liver carboxylesterase 1 (CES1). It targets an epitope within 14 amino acids from the C-terminal region.

Physical form

Purified recombinant rabbit monoclonal antibody IgG, lyophilized in PBS, 5% Trehalose, normal appearance a coarse or translucent resin. The PBS/trehalose components in the ZooMAb formulation can have the appearance of a semi-solid (bead like gel) after lyophilization. This is a normal phenomenon. Please follow the recommended reconstitution procedure in the data sheet to dissolve the semi-solid, bead-like, gel-appearing material. The resulting antibody solution is completely stable and functional as proven by full functional testing. Contains no biocide or preservatives, such as azide, or any animal by-products. Larger pack sizes provided as multiples of 25 µL.

Preparation Note

Recommend storage of lyophilized product at 2-8°C; Before reconstitution, micro-centrifuge vials briefly to spin down material to bottom of the vial; Reconstitute each vial by adding 25 µL of filtered lab grade water or PBS; Reconstituted antibodies can be stored at 2-8°C, or -20°C for long term storage. Avoid repeated freeze-thaws.
Reconstitute lyophilized antibody pellet with 25μL of ultrapure water or Phosphate Buffered Saline (PBS). Please refer to our reconstitution protocol and the specific application guidance on the suggested starting dilutions and sample type.

Other Notes

Concentration: Please refer to the Certificate of Analysis for the lot-specific concentration.

Legal Information

Affinity is a trademark of Mine Safety Appliances Co.
ZooMAb is a registered trademark of Merck KGaA, Darmstadt, Germany

Disclaimer

Unless otherwise stated in our catalog or other company documentation accompanying the product(s), our products are intended for research use only and are not to be used for any other purpose, which includes but is not limited to, unauthorized commercial uses, in vitro diagnostic uses, ex vivo or in vivo therapeutic uses or any type of consumption or application to humans or animals.


Still not finding the right product?

Try our Product Selector Tool to narrow your options


Storage Class

11 - Combustible Solids

wgk

WGK 1

flash_point_f

Not applicable

flash_point_c

Not applicable



Choose from one of the most recent versions:

Certificates of Analysis (COA)

Lot/Batch Number

It looks like we've run into a problem, but you can still download Certificates of Analysis from our Documents section.

If you need assistance, please contact Customer Support

Already Own This Product?

Find documentation for the products that you have recently purchased in the Document Library.

Visit the Document Library



Global Trade Item Number

SKUGTIN
ZRB2217-25UL04065270011046
ZRB2217-4X25UL04065270011053