Skip to Content
Merck

ZRB1749

Anti-CXADR/CAR Antibody, clone 1D19 ZooMAb® Rabbit Monoclonal

greener alternative

recombinant, expressed in HEK 293 cells

Sign In to View Organizational & Contract Pricing.

Select a Size

Change View

About This Item

NACRES:
NA.43
UNSPSC Code:
12352203
Conjugate:
unconjugated
Clone:
1D19, recombinant monoclonal
Application:
ICC, IHC (p), WB, affinity binding assay
Citations:
-
Technical Service
Need help? Our team of experienced scientists is here for you.
Let Us Assist


biological source

rabbit

Quality Level

recombinant

expressed in HEK 293 cells

conjugate

unconjugated

antibody form

purified antibody

antibody product type

primary antibodies

clone

1D19, recombinant monoclonal

description

recombinant, expressed in HEK 293 cells

product line

ZooMAb® learn more

form

lyophilized

mol wt

calculated mol wt 40.03 kDa, observed mol wt ~45 kDa

purified by

using Protein A

species reactivity

human

packaging

antibody small pack of 25 μL

greener alternative product characteristics

Waste Prevention
Designing Safer Chemicals
Design for Energy Efficiency
Learn more about the Principles of Green Chemistry.

enhanced validation

recombinant expression
Learn more about Antibody Enhanced Validation

sustainability

Greener Alternative Product

technique(s)

affinity binding assay: suitable, immunocytochemistry: suitable, immunohistochemistry (formalin-fixed, paraffin-embedded sections): suitable, western blot: suitable

isotype

IgG

epitope sequence

N-terminal

Protein ID accession no.

UniProt accession no.

greener alternative category

shipped in

ambient

storage temp.

2-8°C

target post-translational modification

unmodified

Gene Information

human ... CXADR(1525)

General description

Coxsackievirus and adenovirus receptor (UniProt: P78310; also known as CAR, hCAR, CVB3-binding protein, Coxsackievirus B-adenovirus receptor, HCVADR, CXADR) is encoded by the CXADR (also known as CAR) gene (Gene ID: 1525) in human. CXADR is a single-pass type I membrane protein that is synthesized with a signal peptide (aa 1-19), which is subsequently cleaved off to produce the mature form that contains an extracellular domain (aa 20-237), a transmembrane domain (aa 238-258), and a cytoplasmic domain (aa 259-365). It is palmitoylated on Cys 259 that enables its proper localization to the plasma membrane. CXADR is a component of the epithelial apical junction complex that may function as a homophilic cell adhesion molecule and is shown to be essential for tight junction integrity. It is also involved in transepithelial migration of leukocytes through adhesive interactions with JAML. The interaction between both receptors also mediates the activation of T-cells. Upon epithelial CXADR-binding, JAML induces downstream cell signal transduction events in T-cells through PI3-kinase and MAP kinases that results in proliferation and production of cytokines and growth factors by T-cells to stimulate epithelial tissues repair. Loss of CXADR in mice is reported to cause numerous embryonic defects leading to abnormal development of the cardiovascular system and embryonic lethality between E11.5 and E13.5. This ZooMAbZooMAb® recombinant monoclonal antibody, generated by our propriety technology, offers significantly enhanced specificity, affinity, reproducibility, and stability over conventional monoclonals. (Ref.: Outhwaite, JE., et al. (2019). Front. Physiol. 10; 622; Cohen, CJ., et al. (2001). Proc. Natl. Acad. Sci. USA. 98(26); 15191-15196).
We are committed to bringing you greener alternative products, which adhere to one or more of The 12 Principles of Green Chemistry.This antibody is Preservative-free, produced without the harm or sacrifice of animals and exceptionally stable to allow for ambient shipping and storage if needed and thus aligns with "Waste Prevention", "Designing Safer Chemicals" and "Design for Energy Efficiency". Click here for more information.
ZooMAb® antibodies represent an entirely new generation of recombinant monoclonal antibodies.Each ZooMAb® antibody is manufactured using our proprietary recombinant expression system, purified to homogeneity, and precisely dispensed to produce robust and highly reproducible lot-to-lot consistency. Only top-performing clones are released for use by researchers. Each antibody is validated for high specificity and affinity across multiple applications, including its most commonly used application. ZooMAb® antibodies are reliably available and ready to ship when you need them.

Immunogen

KLH-conjugated linear peptide corresponding to 25 amino acids from the N-terminal, extracellular domain of human Coxsackievirus and adenovirus receptor (CAR).

Application

Quality Control Testing

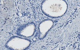
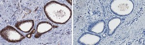
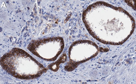
Evaluated by Immunohistochemistry (Paraffin) in human prostate tissue sections.

Immunohistochemistry (Paraffin) Analysis: A 1:100 dilution of this antibody detected CXADR/CAR in human prostate tissue sections.

Tested applications

Immunocytochemistry Analysis: A 1:100 dilution from a representative lot detected CXADR/CAR in HepG2 cells.

Western Blotting Analysis: A 1:10,000 dilution from a representative lot detected CXADR/CAR in HepG2 cell lysate.

Western Blotting Analysis: A 1:10,000 dilution from a representative lot detected His-Tagged recombinant fragment of Human CXADR/CAR.

Affinity Binding Assay: A representative lot of this antibody bound CXADR/CAR) with a KD of 1.3 x 10-8 in an affinity binding assay.

Note: Actual optimal working dilutions must be determined by end user as specimens, and experimental conditions may vary with the end user

Biochem/physiol Actions

Clone 1D19 is a ZooMAb® Rabbit recombinant monoclonal antibody that specifically detects Coxsackievirus and adenovirus receptor (CAR). It targets an epitope within 25 amino acids from the N-terminal, extracellular domain.

Physical form

Purified recombinant rabbit monoclonal antibody IgG, lyophilized in PBS, 5% Trehalose, normal appearance a coarse or translucent resin. The PBS/trehalose components in the ZooMAb formulation can have the appearance of a semi-solid (bead like gel) after lyophilization. This is a normal phenomenon. Please follow the recommended reconstitution procedure in the data sheet to dissolve the semi-solid, bead-like, gel-appearing material. The resulting antibody solution is completely stable and functional as proven by full functional testing. Contains no biocide or preservatives, such as azide, or any animal by-products. Larger pack sizes provided as multiples of 25 μL.

Preparation Note

Recommend storage of lyophilized product at 2-8°C; Before reconstitution, micro-centrifuge vials briefly to spin down material to bottom of the vial; Reconstitute each vial by adding 25 μL of filtered lab grade water or PBS; Reconstituted antibodies can be stored at 2-8°C, or -20°C for long term storage. Avoid repeated freeze-thaws.
Reconstitute lyophilized antibody pellet with 25μL of ultrapure water or Phosphate Buffered Saline (PBS). Please refer to our reconstitution protocol and the specific application guidance on the suggested starting dilutions and sample type.

Legal Information

ZooMAb is a registered trademark of Merck KGaA, Darmstadt, Germany

Disclaimer

Unless otherwise stated in our catalog or other company documentation accompanying the product(s), our products are intended for research use only and are not to be used for any other purpose, which includes but is not limited to, unauthorized commercial uses, in vitro diagnostic uses, ex vivo or in vivo therapeutic uses or any type of consumption or application to humans or animals.


Still not finding the right product?

Try our Product Selector Tool to narrow your options


Storage Class

13 - Non Combustible Solids

wgk

WGK 1

flash_point_f

Not applicable

flash_point_c

Not applicable



Choose from one of the most recent versions:

Certificates of Analysis (COA)

Lot/Batch Number

It looks like we've run into a problem, but you can still download Certificates of Analysis from our Documents section.

If you need assistance, please contact Customer Support

Already Own This Product?

Find documentation for the products that you have recently purchased in the Document Library.

Visit the Document Library



Global Trade Item Number

SKUGTIN
ZRB1749-25UL04065268066102
ZRB1749-4X25UL04065268066119