Skip to Content
Merck

SAB5702182

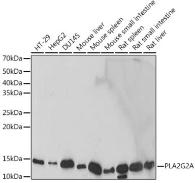
Anti-PLA2G2A Antibody, clone 3X9F5, Rabbit Monoclonal

Synonym(s):

PLA2G2A, MOM1, PLA2, PLA2B, PLA2L, PLA2S, PLAS1, sPLA2, phospholipase A2 group IIA

Sign In to View Organizational & Contract Pricing.

Select a Size

Change View

About This Item

NACRES:
NA.46
UNSPSC Code:
12352203
Conjugate:
unconjugated
Clone:
3X9F5, monoclonal
Application:
WB
Citations:
-
Technical Service
Need help? Our team of experienced scientists is here for you.
Let Us Assist


biological source

rabbit

Quality Level

conjugate

unconjugated

material

colorless

clone

3X9F5, monoclonal

form

liquid

mol wt

15 kDa

species reactivity

human, rat

concentration

1.00 mg/mL

technique(s)

western blot: 1:500 - 1:2000

color

colorless

isotype

IgG

immunogen sequence

VTHDCCYKRLEKRGCGTKFLSYKFSNSGSRITCAKQDSCRSQLCECDKAAATCFARNKTTYNKKYQYYSNKHCRGSTPRC

UniProt accession no.

shipped in

wet ice

storage temp.

−20°C

target post-translational modification

unmodified

Gene Information

human ... PLA2G2A(5320)

General description

The protein encoded by this gene is a member of the phospholipase A2 family (PLA2). PLA2s constitute a diverse family of enzymes with respect to sequence, function, localization, and divalent cation requirements. This gene product belongs to group II, which contains secreted form of PLA2, an extracellular enzyme that has a low molecular mass and requires calcium ions for catalysis. It catalyzes the hydrolysis of the sn-2 fatty acid acyl ester bond of phosphoglycerides, releasing free fatty acids and lysophospholipids, and thought to participate in the regulation of the phospholipid metabolism in biomembranes. Several alternatively spliced transcript variants with different 5′ UTRs have been found for this gene.

Immunogen

A synthetic peptide corresponding to a sequence within amino acids 65-144 of human PLA2G2A (P14555).
PBS with 0.02% sodium azide,0.05% BSA,50% glycerol,pH7.3.

Application

WB


Storage Class

10 - Combustible liquids

wgk

WGK 1



Choose from one of the most recent versions:

Certificates of Analysis (COA)

Lot/Batch Number

It looks like we've run into a problem, but you can still download Certificates of Analysis from our Documents section.

If you need assistance, please contact Customer Support

Already Own This Product?

Find documentation for the products that you have recently purchased in the Document Library.

Visit the Document Library



Global Trade Item Number

SKUGTIN
SAB5702182-100UL04065270698650